耳鸣、听力下降、头晕——这些看似普通的症状,可能是听神经瘤的早期信号。
听神经瘤作为一种常见的颅内良性肿瘤,虽非癌症,但其治疗之路却充满挑战。本期分享的是一位与听神经瘤抗争11年的患者故事,一起来看看为何听神经瘤要慎重选择首次治疗方案、为何要了解不同治疗方式的利弊,以及为什么说定期随访至关重要。
一场持续十一年的拉锯战
达文在2004年5月被确诊为听神经瘤,并接受了第一次开颅手术,然而,这仅仅是开始。
之后,为控制残留肿瘤,他接受了伽玛刀治疗。然而,治疗效果并不理想——两年后,肿瘤再次生长,他不得不接受第二次开颅手术。
随后的日子里,达文坚持每六个月复查一次临床和影像。命运却再次开了一个残酷的玩笑:2014年4月,他的症状加重,检查发现肿瘤再次生长。第三次手术后的病理诊断结果令人意外:恶性周围神经鞘瘤。
达文的右耳听力损失严重,纯音听阈达到58.5分贝。单侧听力丧失让他与家人的沟通变得困难,频繁的头晕让他每日疲惫不堪,在反反复复的治疗中,脾气也在不知不觉中变得急躁。家人感慨道,那个曾经温和耐心的他,仿佛变了个人.....
治疗的波折历程
2004年5月:他接受了第一次手术,术后病理确诊为听神经瘤。

A.2004年4月最初等MR图像,显示右侧桥小脑角(CPA)区肿瘤不均匀强化。
2005年8月:为控制术后残留肿瘤,他接受了伽玛刀治疗。

B.2005年8月,第一次手术后、伽玛刀治疗前的MR图像。
2007年5月:伽玛刀治疗效果未达预期,肿瘤再次生长,他不得已接受了第二次开颅手术。

2007年5月第二次术前MR图像;D.术后1个月图像。
此后,他坚持每六个月复查一次。影像资料(图1 E-J)记录了数年间的随访情况。


2013年底至2014年初:复查显示肿瘤再次开始生长。
2014年4月:症状加重,MR显示肿瘤不均匀强化伴脑干受压,他接受了第三次手术,此次实现了次全切除。

K-L.2014年4月术前MR图像;M-N.术后2个月随访图像

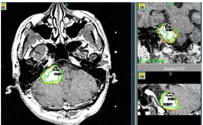
伽玛刀放射外科治疗计划
为何反复治疗仍难控制?
达文的病例揭示了听神经瘤治疗中的一个严峻挑战:即使经过多次手术和放疗,肿瘤仍可能复发甚至恶变。医学研究发现,听神经瘤在伽玛刀放射外科治疗后的恶性变虽极为罕见,但确实是潜在的严重并发症。
一项研究回顾性分析了39例在接受立体定向放疗后出现再生的听神经瘤患者,其中92.3%的患者在放疗后表现出稳定的肿瘤生长。更令人担忧的是,放疗后可能出现耳聋(41%)、头晕(35.9%)、面部麻木(25.6%)等新症状或原有症状加重。
对于放疗后再手术的难度,多数学者认为听神经瘤放疗后再手术比直接手术难度更大,由于神经与肿瘤粘连导致面神经更难分离。放疗还增加了脑神经损伤、脑积水、脑水肿或脑坏死的风险。
听神经瘤手术:第一次就选对至关重要
在过去,听神经瘤手术的首要目标是切除肿瘤、提高生存率,有时难免以牺牲听力和面神经功能为代价。然而,随着显微外科技术、神经电生理监测设备和手术理念的飞速进步,“功能保留”已成为与肿瘤切除同等重要的治疗目标。
首次手术是保留神经功能的最佳时机。此时肿瘤边界相对清晰,神经粘连和损伤可能尚未达到最严重程度。
主刀医生的经验与技术至关重要。一位经验丰富的神经外科医生,能够凭借精湛的显微解剖技术,更清晰地在肿瘤与神经之间寻找安全的分离界面。
此外,接受伽玛刀治疗的患者,需警惕病情进展风险,术后需严格遵循医嘱定期复查,一旦发现肿瘤生长迹象,及时采取规范干预措施,切勿拖延病情。良性肿瘤的治疗,容不得丝毫侥幸,科学选择与规范治疗,才是守护健康的核心前提。
案例来源:Malignant transformation of a vestibular schwannoma to malignant peripheral nerve sheath tumor 10 years after Gamma Knife Surgery:Case report.Interdisciplinary Neurosurgery.2019
- 文章标题:十年来3次手术2次放疗,听神经瘤为何依然卷土重来?
- 更新时间:2026-01-30 11:58:14
400-029-0925




