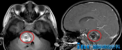
2023年,淼淼的父母发现了孩子的不对劲。嘴角歪斜、流口水、斜眼看人,这些都是儿子从前未曾出现过的表现。在医院的检查下,真相被揭开,原来,淼淼的脑中藏着一个巨大的海绵状血管瘤,如同一个黑洞,吞噬着孩子的健康。 一开始,医生建议淼淼家人立即手术,因为血管瘤已导致脑干出血,再不手...
2023年,淼淼的父母发现了孩子的不对劲。嘴角歪斜、流口水、斜眼看人,这些都是儿子从前未曾出现过的表现。在医院的检查下,真相被揭开,原来,淼淼的脑中藏着一个巨大的海绵状血管瘤,如同一个黑洞,吞噬着孩子的健康。

一开始,医生建议淼淼家人立即手术,因为血管瘤已导致脑干出血,再不手术,极有可能二次出血,到时孩子的各项功能都将受到极大影响,这是手术也无法完全恢复的。
然而,这一次出血就像老天跟淼淼一家人开的玩笑,一个多月后,在没有任何治疗的情况下,淼淼的症状竟都“不治而愈”了。原本急着手术的一家人看到孩子重归健康,也不想在孩子状态良好的时候开颅——如果不再出血,那就等下次再说吧。
令他们没想到的是,这样看似难得一遇的“好运气”却险些成为儿子的“催命符”。仅1年多后,淼淼第二次脑干出血,情况危急,送到医院时差点被下了病危通知书。检查结果显示:中脑及脑桥出现了新的病灶,巨大的海绵状血管瘤不仅未消,反而合并了大出血!
看着儿子以肉眼可见的速度垮了下去,频繁呕吐、无法站立、全身无力,一家人被彻底敲响了警钟——这一次,坚决不能再等了!他们立即联系INC,争取到了珍贵的示范手术机会,也是此时拯救淼淼的唯一机会。

终于得到幸运之神眷顾,淼淼的家人不止一次庆幸当时的决定。在巴教授的主刀下,手术顺利全切病灶,术后当晚,淼淼的运动功能已然恢复如常。
手术结束后不久,还在住院期间的淼淼就已经显示出极强的恢复能力,家人看后不禁感慨:如果第一次脑干出血就能尽早手术,那么淼淼也就不用再多受那一次罪了。
如今,淼淼已经顺利出院,在术后第4个月与第6个月随访时,孩子的状态已与常人无异,他快乐地往返于幼儿园和家之间,平时喜欢打打篮球,活泼可爱的他似乎从曾经的阴霾中走出,去迎接属于他的美好未来……

寥寥数字,足以概括这位5岁男孩身上曾经历过的事情,但中间的焦急、绝望与无助,却始终无法通过语言切身体会。这是属于脑瘤患儿及家庭的感同身受,而淼淼的故事似乎也能为一些家庭提供警醒——对于脑瘤来说,从来没有所谓的“好运气”,以冷静的心态识破它们的伪装,认识到运气下暗藏的危机,才不至于让孩子在险境中白白等待。

更多案例细节
请点击图片

案例来源:2025年巴特朗菲教授于国内手术案例
- 文章标题:5岁男孩脑干出血“不治而愈”,好运气为何却令他深陷险境?
- 更新时间:2025-12-01 11:09:54
-
大家好,我是小峰(化名),在这里给你们拜年了,祝你们新年快乐,龙年大吉,身体健...
2024-04-16 10:18:42
-
脑干作为生命中枢,掌管呼吸、心跳及运动协调,其内部密布神经核团,手术风险极高,...
2025-06-17 16:44:13
-
“我术前症状这么严重,巴教授给我手术做的这么成功。同做为医生的我,和巴教授...
2022-06-01 10:18:23
-
7天前,荣荣还只是偶尔抱怨头晕,陈先生叮嘱了几句注意休息,便又埋头于工作的忙碌...
2026-02-06 09:56:21
-
脑干出血有哪些临床症状?脑干出血一次多为突然头痛、眩晕、呕吐、复视、眼球不同轴...
2022-06-15 20:29:55
-
5年内,她两次脑干出血,整个人从上到下,几乎没有舒服的。我真是被脑干出血害惨了...
2025-08-28 17:35:47
-
脑干海绵状血管瘤案例,花样少女学霸突患脑干肿瘤,INC国际德国巴特朗菲教授成功手术...
2020-12-24 15:03:32
-
指征二:肿瘤内出血及引起神经功能障碍,特别是影像学检查明确有两次及以上出血有出...
2021-02-22 11:59:17
-
脑干海绵状血管瘤就是造成脑出血的主要元凶之一。国际颅底肿瘤手术教授巴特朗菲教授...
2020-12-11 14:28:46
-
脑干出血情况危急! 仅10多天时间 身体麻木、面瘫、吞咽困难 听力下降、无法行走 术后...
2024-01-31 10:07:40
-
最新MR显示,脑干海绵状血管瘤切得很干净,没有明显副作用。2024年初,卢先生接到IN...
2025-10-09 15:58:10
-
近几十年来,随着磁共振成像(MRI)在临床实践中的广泛应用,脑海绵状血管瘤(CCM)的发病...
2020-06-04 15:49:50
-
多多是个7岁的小学女生,第一次出血来的很突然,诊断为中脑海绵状血管瘤之后,父母...
2025-09-24 11:43:49
-
大脑神经细胞可能再生吗?出血受损还能恢复吗? 大脑神经细胞(尤其是神经元)损伤后多数...
2025-07-31 14:42:53
-
凌晨三点的ICU,心电监护仪的滴声是唯一的节奏。黄女士的气管插管连接着呼吸机,每一...
2025-08-26 17:50:12
-
如何让女儿保命?2024年3月,果果的父亲在心中反复盘问自己,最终下定决心,推着轮椅...
2025-11-15 23:07:19
-
轻微脑干出血可以保守治疗吗?非手术治疗组的长期预后可能比手术治疗组(9%)差42%。但...
2021-08-13 15:39:47
-
我觉得我儿子太懂事了,他抱着我说:妈妈你别哭了,妈妈我很勇敢,我没事,我做手术...
2026-01-28 11:14:16
-
脑干出血可能有复杂的症状,并且很难诊断。一个人可能会有眩晕、头晕和严重的不平衡...
2023-03-14 21:36:19
-
感恩上天给予的这个机会,这是我们全家的福分。感谢巴特朗菲教授,我们会更爱身边的...
2025-12-15 14:17:35