女儿小优又一次抱着头蜷缩在沙发上,额头渗出细密的汗珠。母亲将手轻轻搭在孩子太阳穴上,这已经是本月第三次了。
起初以为是感冒引起的头痛,但孩子既不发烧也没有鼻涕。但在进一步的检查后,影像结果却显示小优右侧大脑血管出现异常,一种被称为“烟雾病”的罕见脑血管疾病正悄然侵蚀她的大脑。
小优10岁-烟雾病
头痛背后的隐形危机:
小优今年10岁,从幼时起就反复被头痛困扰。父母带着她多次就医,排查了感冒、外伤等常见原因,既没有发现肢体无力、抽搐,也无视力模煳等伴随症状,医生最初也将其诊断为偏头痛,对症处理后症状时好时坏。
为寻求精准诊疗,小优转诊至INC国际脑血管大咖川岛明次教授所在的医院,一系列细致检查揭开了头痛的真相。

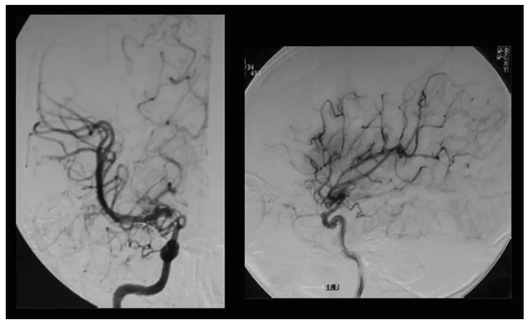
图1,术前右颈动脉血管造影显示IC末端顶部烟雾血管发育,左:前后视图,右:侧视图
血管造影检查显示,小优右侧颈内动脉末端已出现狭窄,颅内长出了细小的“烟雾状血管”,病情处于铃木分期II期(早期),且即将过渡到III期;左侧血管暂时无异常。

图2,术前脑血流检查显示显示静息状态下双侧脑血流无明显差异(a),注射乙酰唑胺后右侧大脑中动脉供血区脑血管反应性为14.8%(b)
而XeCT(氙计算机断层扫描)脑血流检查结果显示,静息状态下她的脑血流量基本正常,服用药物后脑血管反应性略有下降,未出现明显“缺血区”。
简单来说,小优虽只有反复头痛这一个症状,但脑血管的病变已悄然发生,只是尚未发展到严重缺血的程度。这也成了临床诊疗中的两难:脑部手术存在一定风险,这种“无症状缺血”的早期情况,到底要不要手术干预?
小科普
烟雾病是一种进行性闭塞性脑血管病,核心特征为双侧颈内动脉末端分叉处狭窄,伴大脑前、中动脉异常,以及广泛侧支循环血管(烟雾状血管)形成。血管狭窄或闭塞会影响脑部供血,引发短暂性脑缺血或脑梗,症状可能在24小时内缓解,但反复发作可能造成永久性神经功能缺损。
治疗抉择:为何“未严重缺血”仍建议手术?
在烟雾病传统治疗理念中,仅当患者出现明显缺血症状(如短暂肢体麻木、视力骤降、脑梗),或脑血流显着降低时,才推荐实施血管重建手术。而小优处于疾病早期、仅表现为头痛、脑血流基本正常,手术指征一直存在争议。
川岛明次教授团队经过全面评估,最终建议为小优手术,核心依据有三点:
头痛可能是“早期缺血信号”:
虽然脑血流暂时正常,但孩子的脑血管反应性已经下降,头痛很可能是大脑“轻度缺氧”的表现——这一点容易被忽视,却可能是脑梗的“预警”。
烟雾病会“悄悄进展”:
研究显示,25%~58.8%的儿童单侧烟雾病会逐渐发展为双侧病变,且进展后缺血发作的频率会大幅增加;一旦发生脑梗,孩子的日常生活能力、智力水平可能会不可逆下降也有研究发现,烟雾病孩子出现症状后,智商可能会逐渐降低。
“早干预”比“等出事”更稳妥:
医生认为,与其等待缺血症状出现(可能伴随脑损伤),不如在早期通过手术改善脑供血,避免后续风险。
最终,川岛教授团队为小优实施了颞浅动脉-大脑中动脉双吻合术(STA-MCA双吻合术),通过将头皮上的颞浅动脉与颅内大脑中动脉连接,为缺血区域搭建全新的供血通道,恢复脑部血供。

术后右侧颈动脉血管造影显示,通过右侧颈外动脉的搭桥血管向大脑中动脉(MCA)和大脑前动脉(ACA)供血不足区域供血。右侧颈内动脉正位观(a)和侧位观(b);右侧颈外动脉正位观(c)和侧位观(d)
术后康复:头痛消失,脑供血成功“升级”
手术过程十分顺利,小优术后恢复平稳,未出现任何并发症,更让全家欣慰的是,困扰她多年的反复头痛彻底消失了。
术后7个月的复查结果进一步验证了手术效果:血管造影清晰显示,新搭建的搭桥血管通畅良好,颈外动脉的血流通过搭桥血管,持续稳定地供应到右侧大脑中动脉及大脑前动脉供血不足区域,从根本上改善了脑组织血液灌注,成功阻断了病情进展。
烟雾病手术的核心是“防患于未然”。通过早期血管重建手术改善脑供血,能有效规避后续脑梗、智力损伤等严重后果,为儿童脑健康筑牢防线。
烟雾病虽罕见,但对儿童的危害不容小觑。对于儿童脑血管病,“早发现、早评估、早干预”永远是守护孩子健康成长的黄金准则。
INC国际神经外科专家团-川岛明次教授

INC国际神经外科医生集团旗下世界神经外科专家团(WNEG)成员、世界脑血管搭桥手术大咖、圣路加国际医院神经外科主任川岛明次(Akitsugu Kawashima)教授,擅长脑卒中、烟雾病、颅底肿瘤、面部痉挛/三叉神经痛、颅内血肿、巨大脑动脉瘤、脑动静脉畸形等疾病的治疗,尤其擅长脑血管搭桥、颈内动脉内膜切除术。
神经外科经验:
烟雾病脑血管搭桥手术:1300例
脑动脉瘤夹闭手术:1000例
脑血管畸形切除术:500例
颈内动脉内膜切除术:450例
开颅脑瘤切除术:280例
颅后窝搭桥术、High-flow Bypass技术等
- 文章标题:10岁女童突发脑梗,竟因脑血管“烟雾”作祟!
- 更新时间:2026-01-25 14:08:11
400-029-0925


