
疑难位置脑膜瘤:枕骨大孔区脑膜瘤手术成功率高吗?本文回顾性分析了2002年1月至2015年12月的8例枕骨大孔脑膜瘤的临床资料、手术结果、组织学发现和预后...

枕骨大孔脑膜瘤(FMM)继续挑战神经外科医生,因为这些病变与不能牺牲或缩回的神经和血管结构密切接触。尽管显微外科手术和颅底外科手术有了很大的发展,但FMM的治疗仍然引起了关...

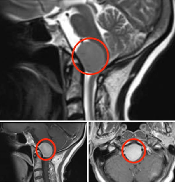
怀孕期间诊断出枕骨大孔区脑膜瘤怎么办?一位34岁的女性患者,在她的妊娠中期确诊脑膜瘤,经原外侧入路成功切除。...

一直以来,枕骨大孔脑膜瘤(FMM)是具有挑战性的病变,关于其较佳治疗方法仍存在争议。巴特朗菲教授研究团队考虑将枕骨大孔脑膜瘤归类为一个分类系统和一个复杂度评分,以便为...

和其他脑膜瘤相似,枕骨大孔区脑膜瘤(FMM)常见于女性,儿童少见。更重要的是,大多数FMMs起源于齿状韧带的前面,在舌下神经管的外侧,在颈静脉孔的下方。单纯起源于枕骨大孔前...

脑膜瘤可以在怀孕期间出现,而且枕骨大孔脑膜瘤少见,本文报告了一个成功治疗期间怀孕的案例...

枕骨大孔区脑膜瘤怎么选择合适的手术入路?远外侧入路中的“远"和“外”是相对于枕下后正中入路或旁正中入路而言,即采用更靠下和靠外的皮肤切口和骨窗,通过切除枕骨大孔侧...

位于颅底深部的脑膜瘤治疗难点在于难以切除干净,较易复发,其中尤以颅底、枕骨大孔区、海绵窦区、岩斜、桥小脑角等疑难位置脑膜瘤完整切除较为困难。枕大孔区肿瘤由于病变位...