Rutka教授五月底来华,聚焦小儿神外前沿治疗策略
医学无国界、交流共提升,INC 2025年国际神外大咖来华学术交流项目持续进行中。
5月下旬,我们有幸邀请到INC国际神经外科医生集团旗下世界神经外科顾问团(WANG)成员、世界神经外科联合会(WFNS)现任执行委员会&顾问委员会成员James T. Rutka教授来华进行学术交流。
为了使交流成果惠及更多疑难神外疾病患儿及家庭,此次学术沙龙特别推出Rutka教授「专访答疑」环节!在孩子的治疗之路上,广大家长一定会遇到一些共同的难题或疑问:DIPG前沿的治疗手段是什么?孩子得了恶性脑瘤,怎样治疗才能活得更久……
在了解到Rutka教授目前的研究进展和擅长领域后,更多人在好奇:教授针对DIPG的临床试验是否有望在中国开展?如何报名参加?有哪些筛选标准……这些家长关心的问题,我们都能帮你问!
【参与方式】:文末留言或私信,我们将统一筛选并整理出点赞较高或提问人数较多的问题,在专访中交由Rutka教授进行专业详细地解答,并在第一时间整理发布,敬请关注!
注:如需针对个人病情进行具体咨询,请后台私信我们。在INC工作人员的协调下,还可参与面对面/远程咨询,Rutka教授将针对患儿情况进行专业评估。
Rutka教授介绍

擅长领域
Rutka教授是一位在小儿神经外科享有盛誉的国际大咖,在临床上的研究方向以颅内肿瘤和癫外科为主,对胶质瘤、室管膜瘤等疾病具有多年的临床经验,其所在的医院多伦多SickKids医院是国际知名的儿童医院之一。
前沿成果
在Rutka教授的带领下,其实验室与 Sunnybrook 健康科学中心和多伦多大学生物材料和生物医学工程研究所积极合作,正在开展MRgFUS“磁波刀"治疗 DIPG 的临床试验,并已成功治疗了多位患儿。此外,Rutka教授极为擅长激光间质热疗(LITT)技术,并将该技术广泛应用于儿童恶性脑瘤和癫痫的治疗,积攒了多年成功经验。
专业著作
Rutka教授在儿科外科手术、脑瘤分子生物学、癫痫手术和外科手术教育杂志上发表了逾500篇文章。他还与神经外科知名专家合著以及修订教材级别书籍,对神经外科领域的发展做出重大的贡献。自2013年起,教授担任国际神经外科知名杂志《Journal of Neurosurgery》主编,对神经外科医生的研究具有指导性作用。

学术交流
教授定期访问中国,积极参与神经外科领域的学术交流会议,贡献他的专业见解和经验。2024年,Rutka教授就曾受邀来到INC上海开展学术沙龙讲座,并在“第四届世界神经外科顾问团云端峰会”中发表精彩演讲。交流期间,多名罹患疑难神外疾病的患儿及其家长慕名而来,面对面咨询这位儿童脑瘤手术大咖,在促进中外神外交流的同时为疑难神外疾病患者答疑解惑。

既往咨询案例(部分)
1. 胶质瘤开颅术后下一步是什么?
患儿因头痛和轻微癫痫(失神)发作诊断为右侧额颞岛叶占位性病变,考虑胶质瘤。行部分切除术后,医生建议继续进行放化疗。但患儿术后右眼睑下垂,仍有术前的失神发作。下一步该如何治疗?

Rutka教授:要等到孩子到达医院,所有不同科室的医生联合问诊后再确定治疗方案,但是一旦治疗开始后,放射治疗是需要每天进行的。我们会讨论化疗,但是可能治疗开始将会是放疗。应进行仔细的分子基因学病变分析,并提供较好的靶向治疗。经过这样的治疗,目前的症状应该会好转。
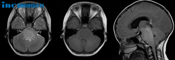
2. 脑干占位性病变,手术还是观察?
患儿因腺样体肥大面容提示右侧中脑和桥脑占位性病变。当地医生建议保守观察三个月,无需特殊治疗。究竟该保守观察还是尽早手术治疗?

Rutka教授:目前不要考虑手术,因为现在手术的风险大于获益。我们在加拿大会做一种被称为循环肿瘤细胞DNA测序分析的检查, 来明确脑脊液内是否存在相关的肿瘤标记物。我可以询问一下,看是否有可能将标本送到多伦多,或了解一下在中国是否可以进行,另一个值得做的是进行整个脊髓的MRI扫描。
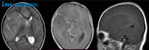
3. 肿瘤恶化快,要先手术吗?
9岁女孩被诊断为脑干病变和梗阻性脑积水。弥漫性脑干病变累及延髓、脑桥和中脑下部,第四脑室受到压迫,导致幕上脑积水。立体定向活检结果显示为儿童弥漫性中线胶质瘤,H3K27改变,WHO4 级。鉴于其30%的高Ki67指数,肿瘤生长速度相当快。

Rutka教授:根据所提供的信息,患儿的肿瘤属于弥漫性内生型脑桥胶质瘤(DIPG),不建议进一步手术切除肿瘤,这也是无法做到的。这个阶段需要进行放射治疗。两种较好选择是传统的三维适形体外放射治疗和质子束治疗。
4. 脑干胶质瘤患儿还能二次开颅吗?

患儿在发现脑干延髓胶质瘤后进行开颅手术,手术切除率50%,病理报告提示为毛细胞型星形细胞瘤,基因检测结果为BRAF阳性。残余肿瘤还有再次手术的机会吗?
Rutka教授:没有再次手术的指征。肿瘤位于脑干的一个重要区域,所有重要的后组颅神经都起源于该区域,因此再次手术对患儿没有帮助,按计划进行化疗可能是目前更好的选择。
后记
INC国际神经外科医生集团作为一个国际性的学术交流平台,自成立以来经常组织旗下世界神经外科顾问团的世界大咖来华参加国内大型学术会议、举办专场沙龙,旨在与国内同仁共享世界神经外科领域的前沿技术成就,实现各国神经外科无国界的交流。
后期我们也将持续分享神外大咖来华学术交流及示范手术等相关行程,敬请期待!
- 文章标题:孩子治疗遇难题?我们帮你问!儿童脑瘤大咖Rutka教授5月底即将来华
- 更新时间:2025-06-17 17:05:44
400-029-0925




