
2023年9月INC巴特朗菲教授即将来华开启秋季中国行学术交流,消息发布后大批疑难脑瘤患者致电INC,除了询问巴教授来华情况,他们关心的就是巴教授能否为自己的疑难神外疾病进行手术,后续该如何治疗?
手术,还是不手术?治疗过程中难免遇到两难选择。
脑干、丘脑、基底节等复杂位置一度被称为“手术禁区”,对于这些位置的疑难脑瘤患者来说,如何顺利全切肿瘤获得良好预后,如何合适规避很大水平上可能发生的严重开颅手术并发症(偏瘫、失明、面瘫等神经功能损伤),一直是治疗成功的关键所在。在这条艰难的求医路上,一部分患者在了解到治疗的较大风险后选择了退却;还另一部分患者认为国际这么大,总会有希望的。对于这些患者来说,时间更加宝贵,如果不能尽快找出合适的方案,那么很可能就会在犹豫中耽误病情,或者做出不适合患者的选择,可能造成难以挽回的伤害。
此时一次关键的、明确的、的、可靠的咨询意见,可能会让患者豁然开朗,明确下一步的路究竟该怎么走。从思考决策到准备必要的影像检查、INC巴教授远程评估这些都需要时间。而时间对于治疗关键,是因为无论是手术、还是其他治疗方式,都需要求患者具备的身体条件做基础,如果时间不再,患者由于病情进展,身体条件恶化失去了治疗的机会,那会是遗憾的事情。因此,每一位患者都应手握看病主动权,在还有机会去选择的时候,可以选择较好的。
INC团队这几年来接触了许多的疑难神外患者,他们中有巴教授咨询后建议保守治疗的,有直接建议放化疗的;也有不少地方医院医生不建议手术而后经INC巴教授国内成功示范手术的……本文特选五个近期经巴教授远程咨询的疑难脑瘤患者,看看他们都得到了怎样的评估。
手术难度高、风险大,就只能保守治疗吗?
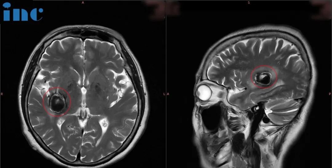
01、68岁罹患基底节海绵状血管瘤,手术会导致瘫痪失语吗?
病史摘要:“我们是从北京过来的,”巴教授6月中国行期间,一位68岁右侧基底节占位-海绵状血管瘤的柯女士通过INC咨询来到巴教授苏州独墅湖医院咨询室。“症状主要还是从头部、胳膊到后背,腿一直到脚底麻的感觉,偶尔脸部也会麻木……复查时发现病灶变大了,原来是18*19mm,现在是24*19mm;而且还多次出血。”因症状加重,病灶增大,问诊多名神经外科医生,两个专家团队医生给出了截然不同的意见:不赞成手术治疗,理由是年龄大,手术导致瘫痪失语的风险大。另外一个医生团队的意见是现在可以马上手术,但效果不确定。因此柯女士至今尚未进行治疗。

柯女士详细描述着自己的病情,自从确诊后就一直关注INC巴教授。“我相信巴教授,我的想法就是听教授的,教授让我做,我就做。”对于这一次的咨询,柯女士希望可以得到巴教授的治疗意见。
INC巴教授远程评估意见:
“血管畸形有可能会变大,也有可能会变小!如果血管畸形变大出血多,内囊的区域主管我们手脚的运动,患者就可能出现偏瘫。经过影像的对比,75%支持手术,25%支持可以再观察。如果症状加重,就需要治疗。要是真的等到偏瘫了再手术,那偏瘫恢复的机率要比现在要小很多。当然这个血管畸形是可以很好的切除的。”

但是由于害怕手术,还是选择了保守治疗,等待巴教授下次来华。得知巴教授9月下旬来华的消息后,柯女士再次请巴教授为她远程评估。巴教授表示:对比2023年6月和2022年7月影像发现,现在的血肿仍然比去年大。我仍然认为从长远来看,手术对病人来说是更好的选择,但我不能说手术是需的,我可以完全(全切)切除出血性病灶。我早在20年前就公布了此类手术的技术和结果,并在此后为各种年龄段的病人成功实施了无数次手术。因此,她不应该对此感到害怕。因此,当我为这名患者进行手术时,她不会出现长期性偏瘫!在较坏的情况下,她的左侧可能会有轻微的无力感,但如果真的出现这种情况,也会在接下来的几周内恢复正常。
02、10年听神经瘤病史,手术真的会导致面瘫、失聪吗?
病史摘要:46岁的吴女士,近三,四年以来,只要中午不午休或疲劳,就会出现头痛欲裂的感觉,较度疲劳时也会呕吐。本以为只是缺乏休息,没想到都是有迹可循。2013年7月一开始出现耳鸣、失声,持续1月左右。2016年,又出现上眼皮下垂,左侧颈部处有不适感,去医院问诊,医生说没什么事,就未做检查。2023年1月,出现左侧嘴角发麻,控制不住流口水,左眼有异物感,未进行检查。
近3个月以来,吴女士症状愈发严重,左侧头皮、脸颊、太阳穴、舌头、嘴角发麻,左侧颈部有沉重感、耳朵疼痛等等。然后前往医院检查才发现左侧前庭神经鞘瘤,而这个肿瘤13年就已存在,且10年时间不断进展。医生告知这个位置手术难度高,稍有不慎就可能导致面瘫及失聪。但是不手术,这个肿瘤已经严重影响到吴女士的生活。“下一步如何治疗?真的无法顺利全切肿瘤吗?……”正当一筹莫展之时,吴女士家属通过网络搜索了解到INC国际神经外科医生集团的巴教授,可以在国内进行示范教学手术,抱着试试的态度联系到INC的高级医学顾问。


在医学顾问的协助下,吴女士及家属“足不出户”顺利与巴教授进行了远程咨询。得到了巴教授详细的评估,从肿瘤生长情况、手术时机、手术切除率、手术风险和并发症、术后辅助治疗、预后等等……远程视频的高效也为吴女士的治疗赢得了更多的时间。
INC巴教授远程评估意见:
1.关于肿瘤目前生长情况:
左侧患有典型的前庭神经鞘瘤,轻微的脑干受压。患者的病史如此之长(自2013年以来),并且已经出现面部和三叉神经受累的迹象(左嘴角刺痛等)以及听力障碍,这对患者来说是不利的。
2.关于手术时机:
有明确的手术指征,我可以为她提供手术治疗
3.关于切除率、手术风险和并发症:
切除率将一如既往地达到99-全切;只有在面神经(与肿瘤)严重粘连的情况下,才会在面神经表面留下少量肿瘤(但不超过1-2%),以保持面神经的完整性。手术风险包括长期性面瘫(在这种中等大小的肿瘤手术中我没有遇到过),理论上的风险为1%。在这种情况下,保留面神经的概率为95%,保留听力的概率为70%。
由于病史较长,且之前出现过相应的症状,该患者术后很可能会出现(暂时性)面瘫,但会在术后3个月内(大约)消退。但如果神经与肿瘤粘连严重,则可能会出现轻微的、非致残性面瘫。
4.关于术后辅助治疗:
不,术后可能不需要任何辅助治疗。
5.关于预后:
这是一种良性肿瘤,不会影响患者的生存期,总体预后良好!
03、延髓占位性病变手术风险较大,只能保守治疗吗?
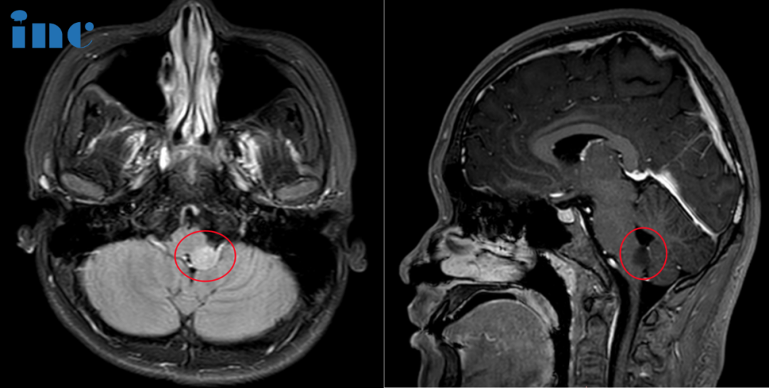
病史摘要:15岁男孩浩宇一家也有着吴女士类似的焦虑。浩宇2023年3月中旬以来持续头痛、嗜睡等症状。行颅脑磁共振平扫和增强检查,提示延髓背侧偏左、左侧小脑扁桃体前见结节样异常信号,怀疑胶质瘤。但医生表示头痛症状和延髓占位病变关系不大。有的医生建议手术治疗,但手术风险高,需慎重考虑。有的医生又建议保守观察,三个月或一年后复查。后就诊于北京其他医院,医生表示头痛症状和延髓占位有直接关系,但手术风险较大,术后效果很不理想,手术无实际价值和意义。不同医院、不同医生,评估结果均不一样,但浩宇一家知道的是,这个延髓位置的肿瘤手术风险较大。

究竟该如何治疗?对未来的治疗方向更是迷茫,通过INC“远程咨询”巴教授。
INC巴教授远程评估意见:
“这位年轻的病人在延髓左背外侧有一个边界清楚的、质地均匀的、外向生长的肿瘤,有可能是一个低级别的胶质瘤。”这样的回复对于浩宇一家无疑是一个好消息。当一家人问到下一步是否可以保守治疗时,巴教授明确表示:“‘保守治疗’?是什么治疗?这是观察,但这并不算治疗,不会解决肿瘤的问题。除了手术切除,我不知道还会有什么其他治疗方案,支持早期手术……”
对于为什么要手术,巴教授也进行了具体的分析:
1)肿瘤现在相对小,而且容易达到;
2)延髓尚未被深入的浸润(如果不行任何治疗的话,在将来会发生的),肿瘤没有恶性特征表现(但随着时间的推移可能会转化为恶性);
3)巴教授对这种类型的肿瘤手术有丰富的经验。
4)术后预后是好的,术后的生存期和生活质量-根据目前的信息-也是好的。
1.对这样的病,国际上除了手术治疗,是否还有别的办法?
非特异性针对肿瘤的盲目放疗或某些化疗可能没有任何帮助,反而可能会给病人造成损伤。再加上,如果现在行盲目放疗,肿瘤将来仍然发生恶性转化的话,那么将来就不能再次行放疗了。因此,我不能建议这样的方案。
2.许多医院的专家认为,延髓肿瘤手术的风险较大,并发症多,手术效果难预料,很不乐观。请问根据您的经验是否有特别技术在手术过程中保护这部分组织的神经功能?
您也很清楚我对脑干手术的专长和我以前在于类似肿瘤的病人得到了如何的成果。我提供做手术是因为我知道我可以通过手术切除这个肿瘤,而且不会增加新的、长期性的神经功能障碍。我的不同手术技术是众所周知的,我在汉诺威和中国的许多病人身上已经使用过很多次。在我手中,切除率至少为90%,但在多数的类似案例,我达到了更高的切除率,像95-大概率。
在我的手中,手术风险很低。病人在术后可能会出现轻微的感觉障碍,可能有吞咽困难和轻微的平衡失调,但是这些症状将迅速地好转,并在术后的几周内完全恢复正常。但在我的手中,总风险低于5%
像这样的案例有很多,自“远程咨询”开展以来,巴教授已经为上千位肿瘤患者进行了远程答疑,回答患者问题,并给出前期初步治疗建议,为接下去线下咨询奠定了基础。对于很多患者来说,咨询巴教授是为了评估是否可以咨询他的手术。但是还有一部分患者,对于他们而言,选择远程咨询或者咨询巴教授有着不同的意义。获取国际教授神经外科专家的咨询意见,寻求国际上更佳更匹配自己的手术方案,或许能让自己获得长期生存和良好预后的可能性更大。
为什么这些患者巴教授不建议手术?
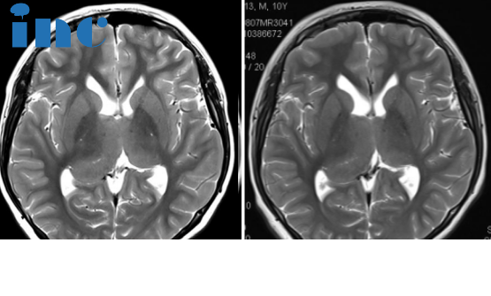
04、10岁男孩,双侧丘脑占位-胶质瘤需要手术吗?
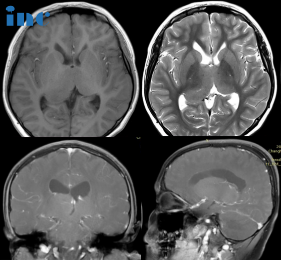
病史摘要:2022年4月1日,涛涛因头部受伤进行头颅CT检查,结果是头部有钙化灶。7月15日,父母带涛涛到医院查头颅MRI平扫+增强,诊断结果是双侧丘脑胶质瘤可能。7月26日,再次到医院查头颅MR波谱成像(MRS),诊断结果是右侧丘脑恶性肿瘤。随后又到北京某医院问诊说可以手术,但是无法全切,且手术风险很大。涛涛目前还没有明显的症状,只是偶尔在走路的时候会突然绊一下。如果手术后,孩子变得比现在状态更差,涛涛父母犹豫了。手术还是不手术,他们多方打听之下,决定咨询国际颅底脑干手术教授巴特朗菲教授,想要听听他的意见。

INC巴教授远程评估意见:
对比2022年和的影像,我监测不到肿瘤有任何生长,很明显这是一个钙化的低级别胶质瘤。CT扫描很好地显示了右侧肿瘤内的强化的钙化。
在这种情况下,特别是考虑到这个男孩的临床状况良好,我们可以通过反复的核磁共振成像检查对他的病例进行跟踪,因此,如果出现任何变化,我们都可以很容易地发现。

不过,这种肿瘤很有可能在多年内保持稳定,而且,在接下来的几年里,当男孩继续生长时,肿瘤甚至可能出现退化(肿瘤体积可以在不治疗的情况下缩小)。当然,这只是一种可能性,我们当然不能确定这种有利的发展过程是否真的会发生,但至少有很大的机会出现这种有利的情况。
至于体重增加,也许是因为下丘脑也受累了,因为下丘脑与丘脑紧密相连,也许也含有小部分肿瘤。因此,男孩需接受儿科肿瘤专家的诊治,检查全部(下丘脑相关的)激素,并根据具体情况替代激素。不过,要阻止下丘脑肿瘤引起的体重增加并不容易,因为目前还没有合适的药物。

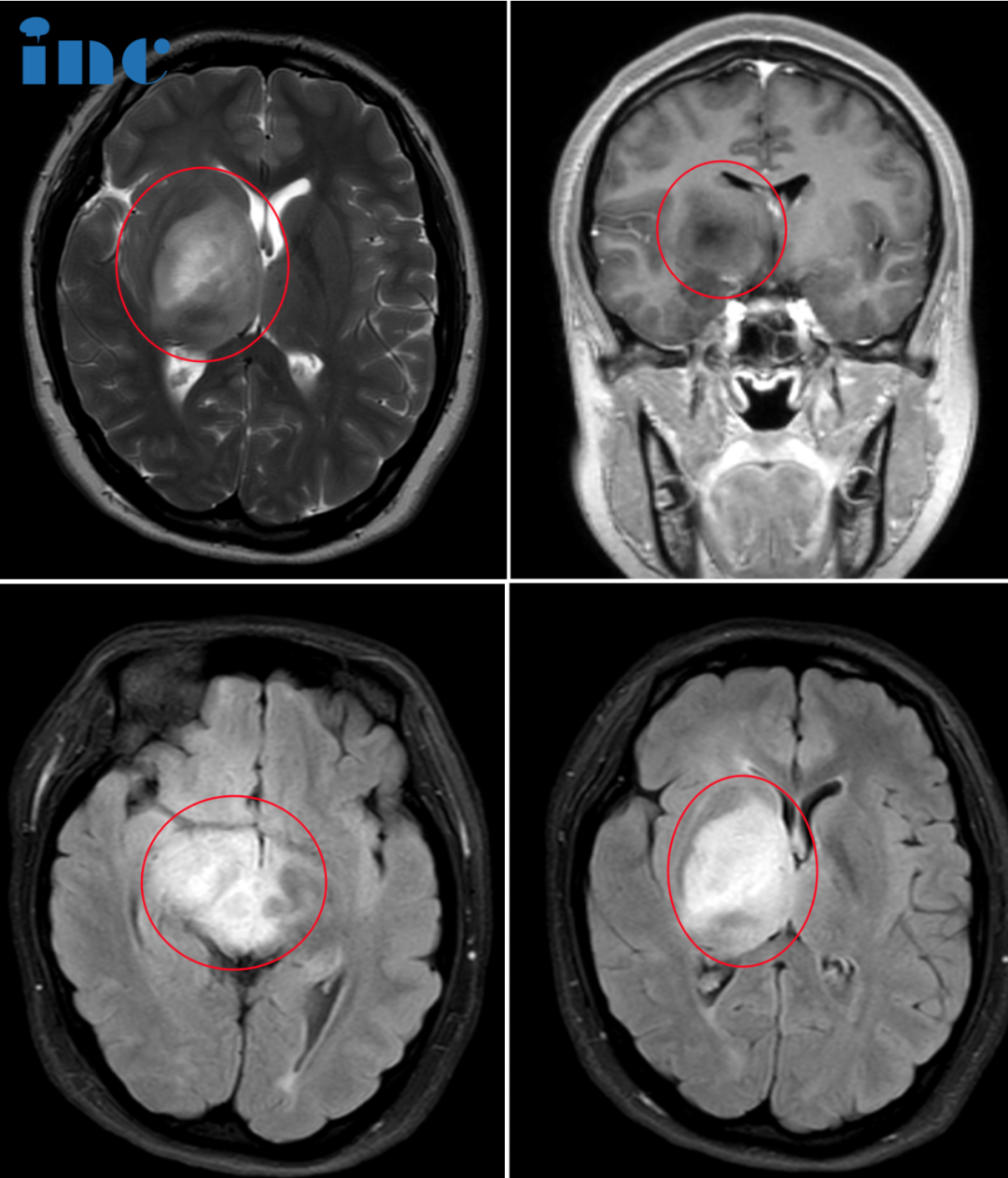
05、17岁女孩,右侧基底节,双侧丘脑及大脑脚,中脑弥漫病变,可以手术吗?
病史摘要:杨先生没想到,17岁的女儿媛媛竟然会得这样的重病。他恨老天的不公,2023年7月底,媛媛出现无明显诱因的头晕呕吐,检查结果正常。到了8月中旬,媛媛母亲观察发现患者左下肢有无力现象,左上肢也有无力现象,此情况至目前已持续时间约15~25天。2023年8月在当地多家医院进行MR脑部检查,均诊断发现脑部右侧基底节区出现占位灶累及中脑,右侧大脑脚。考虑肿瘤性病变,生殖细胞瘤或胶质瘤可能。杨先生起初准备让女儿进行穿刺活检,但听医生说因为肿瘤位置深,穿刺风险也很大。他犹豫了,担心穿刺活检会让女儿情况加重。因为孩子目前除了左上肢无力,左脚走路拖地以及轻微的左侧面瘫症状外,其他都还正常。在得知巴教授9月来华的消息后,他希望能够请他为孩子手术切除肿瘤。


INC巴教授远程评估意见:
这是一个很复杂的病例,因为病灶位于并延伸到基底神经节内。MRI显示病变有占位效应,但没有增强对比,也没有清晰的特征来帮助我们了解这是哪种病变。我不能确定患者是否有肿瘤,因为病变确实也可能对应于局部炎症(不管是什么原因),可能是淋巴瘤或其他。
所以,在这种情况下,我不能提供手术,因为(病灶)位置深,即使活检似乎也很危险,至少对于开颅来说。可能会导致严重的运动障碍,甚至可能导致更多的神经问题。
下一步的治疗可以分两步进行:
1)从短时间(几天)的高剂量类固醇药物开始,然后进行MRI复查(在一些炎症或淋巴瘤中,MRI已经可以看到效果);
2)可能得话进行立体定向活检,这比开放式手术活检在该案例中更有指示性。

巴教授远程咨询报道部分截取
对于和以上这些疑难脑肿瘤患者一样就医遇阻、想要寻求来自国际神外教授的患者,不少人都不知道如何开始,怎么能咨询巴教授?咨询可以自己提问吗等问题,INC远程咨询都有规范和标准的流程,具体流程如下,大家可作参考:
- 文章标题:INC国际神经外科巴教授9月示范手术…
- 更新时间:2024-11-07 17:13:14
400-029-0925




