脑干延髓肿瘤患者家属自白
1、“脑干、延髓、胶质瘤”脑子里一直在重复这三个关键词,对不起爸爸,还是没能救得了你。
我们当时做了加强核磁共振,看的很清楚,肿瘤位置不好,在延髓,真的是随时会心跳和呼吸骤停。父亲从发现到去世,只有二十天不到的时间。很多医生拒绝给我们做手术。还是因为长在延髓,呼吸和心跳骤停了……
2、今天是ICU二次允许探视,而今天也是妈妈插管的15天,气管切开的7天,在iICU的30天了。
目前感染肺炎,一直难以脱掉呼吸机。医生说给她脱机会是一个缓慢的过程,昨晚一次尝试还引发了癫痫。我们像陷入一个坏循环一样,如果肺部治疗无法起作用,妈妈就无法进行脑部肿瘤治疗,而延髓处的肿瘤又时时刻刻在影响着她的免疫系统,吞咽,心跳和呼吸,让她比其他人的恢复都更加困难。我们现在没有解决方案了,问了很多医生,都说手术不能做。化疗没什么效果。放疗可以在病人好点后试试,但放疗的剂量上不去,可能效果也有限……
3、我的妹妹也是延髓位置的室管膜瘤,做了手术,现在无吞咽功能,呼吸受损,肺部反复感染,切了气管,今天检查肺部堆积感染。真的是一个死循环。怎么办呀,医生说要洗肺,可是洗过了就不会再感染了吗?
4、某医疗纪实节目中曾详细报导了这样一个延髓肿瘤患者的真实故事
一个长在“生命禁区”脑干延髓的肿瘤,医生告诉家属,孩子能成功下手术台的概率可能不到20%。仅仅2个小时的手术却喊停5次、出现呼吸暂停。从手术台上下来后,他直接被送入ICU。手术后五天,患儿还是插着管子,躺在ICU病房里。与此同时,手术后的并发症也很严重。因为延髓出现了严重的水肿,影响了呼吸中枢功能,导致孩子出现了低通气综合征。这是一个致死率高的术后并发症……
在医学领域,脑干肿瘤和颅底肿瘤疾病一直被称为“手术禁区”。能闯进这个“禁区”,并不断挑战一个个险峰的医生,不仅要艺高胆大,更要有非凡的勇气和毅力。
多少脑干延髓肿瘤、血管畸形的危重病人在他的手术台上获得新生,有多少病情复杂的颅底肿瘤患者,被他从死神手里硬生生拽了回来。有患者随访时说:“原来我活着了,并且这个事情完全结束了” “手术后有这么的效果,跟正常人没有区别,我做梦都想像不到” “本来都很灰心了,后来找到巴特朗菲教授才看到希望……对手术治疗结果很满意,现在已经完全跟正常人一样的生活”……
作为国际脑干肿瘤教授,巴特朗菲教授在脑干肿瘤和颅底肿瘤的显微外科治疗研究方面,已经取得了众多提出性的成就。巴教授单纯脑干海绵状血管瘤手术病例就高达400多例,脑干胶质瘤手术病例800多例,这些成功案例是他40多年来、一步一个脚印,不断创造“禁区奇迹”得来的。
INC巴特朗菲教授脑干-延髓肿瘤案例精选
延髓胶质瘤患者精选
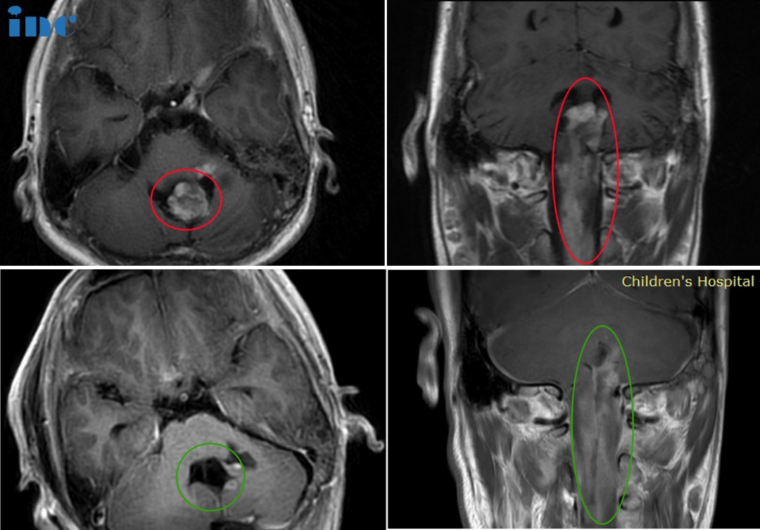
1、33岁女性-脑干颈髓室管膜留


◉手术日期: 2022年11月巴教授疑难示范手术期间
◉患者情况:33岁的郑女士2016年因晨起颈部疼痛和自感右上肢无力,行核磁检查,提示颈椎椎管占位性病变,室管膜瘤可能。然而,医生考虑手术风险过大,有可能瘫痪,因此未做进一步治疗。2年后郑女士怀孕,虽然孕后期出现下肢轻微麻木,为了腹中胎儿的健康,期间一直未行任何治疗。然而1年前患者感到症状加重,右臂没什么力气并伴有手麻症状,左臂温度感觉异常,右腿也没什么力气,左腿麻木。2022年 8 月行核磁复查,提示颈椎椎管内占位病变,室管膜瘤可能,病变较2017 年范围明显增大。为了治好自己的病,更好的陪伴着孩子的成长,郑女士决定寻求国际教授的治疗……
◉治疗过程:2022年11月23日,这台长达12个小时的高难度手术在苏州独墅湖医院顺利完成,手术时长相当于两台手术——延髓和脊随髓内。巴教授全程站立手术,参与了全场手术的国内医生无不惊叹教授无与伦比的手术技术,感叹哪怕在国际范围内,这样大的一个手术也是少见。
◉术后情况:术后一天ICU查房,郑女士意识清楚,呼吸吞咽等功能也正常,也没有出现四肢瘫痪的情况。术后12天查房,郑女士已经可以正常下地站立,肢体活动正常,除了右手稍微无力,教授鼓励她相信自己可以恢复的。
术后3个月,在郑女士传来的康复视频里,她如今已经可以正常行走,术后无力的右手已经也可以正常抓握小物体、手部运动正常。虽然动作还略显笨拙,但是对于曾经不幸罹患脑干-延髓室管膜瘤病变累及范围达15cm,曾被告知手术十有九瘫的她来说,这份笨拙就如一次新生,像孩子重学走路一般,充满着希望和勇气。
2、14岁男孩-脑干神经节细胞胶质瘤

◉手术日期: 2022年11月巴教授疑难示范手术期间
◉患者情况:14岁的睿睿2016年底偶发左手抓握力弱,2017年初查出神经节细胞瘤;医生表示肿瘤生长缓慢,无法全切,还会复发,故保守观察。后两年病灶缓慢增大,运动能力减弱。2021年底,双侧肢体无力加重,左侧更明显。2022年睿睿再次就医检查,MRI显示桥脑+左侧小脑+颈3以上不规则信号,然而由于肿瘤位于脑干延申至脊髓,肿瘤占位大小33*42*94mm。在国内某医院做了一开始开颅手术,虽仍有不少残留,但手术取得完整病理,肿瘤导致的病情有适当好转,为后续手术提供了清晰的思路、争取了时间……
◉治疗经过:2022年巴教授中国疑难示范手术期间,睿睿父母咨询巴教授能否为孩子顺利手术,“我之前找的主刀医生也都......但教授明确的告诉你最大的风险在于四肢瘫痪,同时他明确的告知全瘫痪的风险是1%。“ ,2022年11月16日,在苏州大学附属儿童医院,巴教授为睿睿进行了手术,全程呼吸、心跳平稳,手术顺利,无新发后遗症。术后2天顺利转出ICU。
◉术后情况:术后11天,巴教授查房时,睿睿已经可以在父母的搀扶下站起来。当教授询问睿睿,“吞咽怎么样?”时,睿睿也能够亲自回答“可以……”!看到孩子睿睿的这么好,巴教授不由得竖起大拇指点赞“Very Good!”

由于睿睿的病程很长,爸爸为了更好的照顾孩子,一直学习护理。苏附儿医生都说睿睿爸爸的护理水平超过很多护士
2、34岁男性-脑干延髓-颈髓室管膜瘤WHO2级

◉手术日期:2023年6月巴教授疑难示范手术期间
◉患者情况:今年4月,林先生由于偶尔头痛去医院进行头颅MRI检查,发现延髓及颈髓交接区病变。后续又进行强化MR检查,提示:延髓及颈髓交接区病变,结合病史,考虑脱髓鞘病变,大小约0.5*0.3*0.6cm。咨询各医院专家后,一致建议:目前肿瘤无占位效应,短期内复查,未给予任何治疗。虽然占位很小,但是林先生每天偶尔会有头晕、头痛,位置还不固定。5月进行复查MRI平扫+增强提示病变增大了。术后是可能插管过一生,还是现在止步于此?林先生不甘人生就这样了,多方咨询之后找到INC巴特朗菲教授。通过INC,林先生对身处德国的巴教授进行了邮件咨询,在巴教授的准确回复,让林先生瞬间充满信心。
◉治疗经过:林先生果断咨询了巴教授示范手术名额,手术成功,巴教授为这名高难度延髓肿瘤患者顺利全切,术后无任何新发神经损伤,术后一天意识清醒,四肢活动正常、言语呼吸吞咽功能正常。

◉术后情况:术后一天,巴教授团队偶遇前往术后核磁的林先生一家,对林先生进行了问候。术后一个多月,患者行走自如已基本恢复正常生活。

4、24岁男性-脑干延髓低级别胶质瘤

◉手术日期:2023年6月巴教授疑难示范手术期间
◉患者情况:24岁的川川于 2019 年中出现无明显诱因的左侧上肢无力,随后伴有头晕头痛症状。进行头颅核磁检查提示:延髓后方结节性病灶。医生建议随诊复查,未做不同治疗。随后症状自行缓解。2023 年以来,小海出现了左侧下肢无力,大约两周后自行缓解。随后出现一过性拖地行走,双眼视力下降,偶有复视。近半年,患者偶有呼吸频率改变,一过性呼气吸气变浅,舌尖麻木。4 月份后,患者自感左脚及双侧脸颊麻木、舌尖麻木。
◉治疗经过:巴特朗菲教授带领国内神经外科手术团队经过紧张奋战,尽最大的努力切除肿瘤,完全保护延髓神经血管,无任何新发神经功能损伤。
◉术后情况:术后当天ICU巴教授查房,意识清醒、状态良好,对答如流,可以咳嗽、吞咽功能都正常,术前双手麻木仍存在。术后一天普通病房查房:手指麻木好转,结果都好。川川对巴教授说:"So hungry!"并询问巴教授是否有饮食禁忌。巴教授表示:什么都可以吃,只要你想。术后二天查房:已经下床四处走走。目前距离手术过去2个月,川川状态良好,已经逐渐恢复了正常的工作和学习。
6岁男孩-延髓毛细胞星形细胞瘤

◉手术日期:2022年11月巴教授疑难示范手术期间
◉简要病史:患者于 2020 年 3 月到 4 月偶有吃饭时呕吐现象,未特别重视。2020年7月因外伤摔倒就诊当地医院,检查发现颅脑信号异常,进一步行磁共振检查,提示脑干占位性病变。2020年8月行导航引导下后颅窝占位切除术,术后医生表明肿瘤被全切。术后病理提示毛细胞型星形细胞瘤,KIAA1549-BRAF 融合基因阳性,WHOI级。术后无需辅助治疗,之后磁共振定期复查。2022年8月,磁共振复查提示肿瘤进展。9月磁共振复查较上次变化不大,但建议卡铂+长春新碱化疗,如果化疗效果不好再手术。父母考虑化疗对患儿副作用,暂时未行化疗。
◉治疗过程:2022年11月23日,在苏州大学附属儿童医院,巴教授顺利近全切天天的脑干-延髓毛细胞星形细胞瘤。
◉术后情况:术后三天查房交流清晰、肢体抓握能力正常、术后呼吸吞咽正常,食欲正常,可正常吃饭进食。

术后两个多月,孩子正常回归学校。

5岁女孩脊髓-脑干毛细胞星形细胞瘤
◉手术日期:2022年11月巴教授疑难示范手术期间
◉术前情况:5岁琦琦,右侧肢体无力伴有吞咽困难2月,伴有呕吐、头痛。无其他病史,北上多家医院辗转求诊。为了减轻脑积水,于某医院行右侧脑室腹腔内分流术,行MR提示脑干胶质瘤、脊髓胶质瘤,但是症状不见明显好转,加重趋势明显。如不手术,孩子将有生命危险。
◉治疗过程:此时正值INC巴特朗菲教授来华开展示范手术交流期间,琦琦一家得知巴特朗菲教授对于此类复杂疑难位置肿瘤有丰富的成功手术经验,于是选择咨询教授,教授回复至少可以切除95%以上的肿瘤,于是巴教授主刀在国内合作医院苏州大学附属儿童医院手术团队的配合下,肿瘤次全切(95%以上), 手术顺利,手术历时8小时。

INC巴特朗菲教授为琦琦手术中
◉术后情况:术后ICU留观1天,神志清楚,完全自主呼吸,拔除插管,生命体征平稳,转入普通病房。患儿右侧肢体活动度、肌力较术前明显好转。术后1周,患者下地自行行走,无手术并发症出现。术后3周出院,术后2月可如同龄患儿生活。他们一家人对INC以及巴特朗菲教授更是充满了感激,曾多次微信致谢。术后3年,琦琦可以像正常孩子一样玩耍。


延髓海绵状血管瘤患者精选
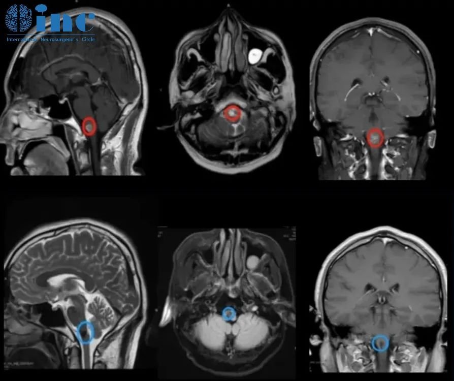
1、19岁男孩-延髓海绵状血管瘤

◉手术时间:2022年11月巴教授疑难示范手术期间
◉患者情况:2022 年 9 月 8 日19岁的阿朔出现无明显诱因的头痛和晕胀感,从颞侧到枕后。10 月 10 日于苏州独墅湖医院行颅脑核磁提示延髓异常信号,考虑海绵状血管瘤。
◉治疗过程:在2022中德学术交流-INC巴特朗菲教授示范国际疑难脑瘤手术直播,INC旗下的国际神经外科教授德国巴特朗菲教授受邀围绕“脑干海绵状血管瘤的手术”做课程演讲,并进行线上线下延髓手术示范直播。手术顺利全切阿朔延髓海绵状血管瘤,直播观看人次达7000多,除了神经外科医生观看外,还有即将接受教授手术的患者家属共同观看。
◉术后情况:术后1天巴教授ICU查房,阿朔意识清楚、对答如流、四肢活动灵活;术后5天,可正常站立、行走;术后8天,阿朔状态很好,正逐步回归正常生活。术后一个月,阿朔回到大学校园,回归正常的学习和生活。术后3个月,阿朔还接受了INC专访,交流自己的治疗经历,希望能够帮到更多的人。
2、32岁男性-延髓海绵状血管瘤

手术时间:2022年11月巴教授疑难示范手术期间
◉患者情况:2021年,三十多岁正处于事业上升期的冯先生因为偶发的手麻就医检查,未曾想到这一查竟是可怕的脑干海绵状血管瘤,且位置位于及其凶险的延髓部位。医生都不建议手术,建议伽马刀治疗”。冯先生不甘心年轻的自己就这样整日受到病魔的威胁。
◉治疗过程:2022巴教授示范手术中成功手术,“没有任何不舒服”,冯先生怎么也想不到困扰自己一年,让自己吃不好睡不好的“脑干肿瘤”就这样顺利全切了,且无新发功能损伤。
◉术后情况:术后一天,巴教授查房时,冯先生状态良好,“没有不舒服的地方”。术后两个月,冯先生已经完全恢复了正常的生活,和家人一起回归到健康安稳的幸福生活之中。得到巴教授顺利手术的他,如今是病友圈里的焦点人物,他也热心帮助了很多和他一样的脑干海绵状血管瘤患者,希望他们也一样得到救治。

3、30岁女性-延髓-颈髓海绵状血管瘤

手术时间:2021巴教授中国疑难示范手术期间
◉患者情况:30多岁的王女士,2008年的时候因头晕、呕吐,被送到当地医院就诊,检查提示脑干出血,住院治疗后恢复正常。2016年时头痛爆发,辗转上海、北京和湖南的多家医院进行治疗,确诊为颅内多发海绵状血管瘤,保守治疗效果不佳。检查结果提示患者的小脑有再次出血的危险。
◉治疗过程:2021年巴教授国内示范手术期间,巴教授在国内无锡二人民医院为王女士进行了手术,手术顺利结束,术中患者生命体征平稳。
◉术后情况:术后二天,患者即出ICU,无新的神经功能损伤,且可下地走路。术后两周,王女士顺利出院,术前症状大为好转,恢复状态良好。

术后5天,王女士可下床活动,和巴教授开心合影
4、50岁女性-延髓海绵状血管瘤

手术时间:2020年赴德寻求巴教授手术
◉患者情况:年将近50岁的严女士不幸罹患高位颈髓海绵状血管瘤,前后三次出血,已造成部分脑干组织受损,然后一次出血后患者基本以全休为主,不敢有任何大的活动,不能激动,随时都需要提心吊胆。一旦出血量较大,即会造成周围神经及脑组织的压迫,严重时可能导致呼吸控制、大小便失禁甚高位截瘫、生活不能自理等结果。
◉治疗过程:2020年严女士赴德国INI寻求巴教授手术治疗,教授使用其提出的神经外科最难手术入路之一“远外侧入路”为其全切肿瘤。
◉术后情况:术后当晚即拔出气管插管、完全自主呼吸,术后2天迁出ICU,能自行独自行走,且无任何神经功能损伤。2021年巴教授来华期间,已经恢复了正常工作和生活的严女士来到INC上海办公室,特意拜访感谢巴教授,对巴教授的手术结果她感到满意。
5、48岁男性-延髓海绵状血管瘤

手术时间:2019年巴教授中国疑难示范手术
◉患者情况:48岁的宋先生,突发头痛,路也走不稳,双手双脚麻木长达12个多小时,眼睛看东西有重影。就医诊断为:脑干桥脑下部及延髓区占位,脑海绵状血管瘤伴出血。保守治疗仅过了一个月更严重的症状又来了,头晕无力,看东西模糊,走不了几步就歪倒……医生说这一次脑干出血量大,病情危急,不及时手术切除可能都撑不过1个月。
◉治疗过程:2019年巴教授中国疑难示范手术期间,在苏州大学附属一医院国内神经外科医生的协同配合下,为宋先生进行了手术。手术过程顺利,巴教授成功为宋先生全切海绵状血管瘤。
◉术后情况:术后二天患者就出了ICU,术前症状有所好转,无新发神经功能损伤。术后12天,宋先生就转去康复医院进行后续的康复治疗。2021年巴教授来华期间,术后2年的宋先生已经恢复了正常的工作喝生活,他专程来到INC上海办公室感谢巴教授,并且接受INC专访。
400-029-0925




