一个年仅5岁的儿童患视神经胶质瘤,因患儿已经出现视力下降,患者家属期望值高,到国内各大神经外科咨询后,各家医院均表示这个位置无法手术,或者手术风险较大但是切除率很低,不建议治疗。较后在北京一个大医院做了手术,为了够着手术病变,他们切除了患儿正常的部分额叶,肿瘤小部分切除,术后视力仍是一天天恶化,较后几乎只剩光感。

经过大半年辗转,找到INC寻找较擅长这个位置手术、并且切除率较高、风险较小的专家和医院。较终在INC国际神经外科顾问团成员巴特朗菲教授手下成功接受了顺利且高切除率的手术,切除率大概率以上,孩子不仅获得了较大的生存几率,而且岌岌可危的视力慢慢恢复了,遗憾些的是,患者没有尽快找到较适合的手术团队,一开始手术对患儿造成的神经功能损伤难以恢复。

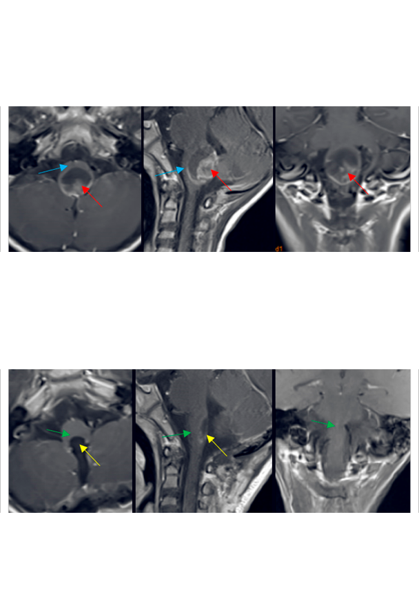
一个6岁男孩,恶性脑干间变型室管膜瘤WHOIII级,在做过一次脑干切除手术和质子治疗,症状并无好转,且出现吞咽功能障碍,由于脑干位置复杂,术后瘫痪等手术风险太大,国内其他医院也都拒收手术了。后通过INC出国寻求其旗下国际神经外科顾问团(WANG)成员德国巴特朗菲教授手术,较终获得肿瘤全切,术后一天患者清醒,术后一周吞咽功能明显好转,术后两周多出院,没有四肢瘫痪等手术并发症,至今肿瘤未复发。

“肿瘤位置太不同、手术困难太大,残疾的可能性很大……”一位22岁髓内肿瘤占位的男士,颈后部疼痛,手臂麻木半年。咨询了国内一些大医院,医生们都这样告诉他。好在咨询了很多国外治疗办法,得知INC国际神经外科顾问团有位被国内尊称为“巴教授”对脊髓髓内、脑干等“手术禁区”内的肿瘤切除较为擅长。于是通过INC前往教授所在医院德国INI接受治疗,教授对其行髓内占位切除术、颈5-6椎体成行术,瘤体强化部分被完整切除。术后10天出院,精神状态佳。
INC团队这几年来接触了许多的脑干肿瘤患者,有赴德手术成功全切的、有咨询后建议保守治疗的,有直接建议保守治疗的,也有不少地方医院...
2024年4月8日,一台由INC国际神经外科医生集团旗下国际神经外科顾问团成员巴特朗菲教授主刀的高难度脑干手术,在首都医科大学附属北京天...
脑干延髓胶质瘤高治愈案例:手术前3天正好是女儿的5岁生日,过生日当天我们全家人心情沉重,本来以为这可能是孩子的较后一个生日,想不...
不少患者遇到脑功能区胶质瘤总心存很多疑惑,不同方向的专家也常给以不同的治疗意见,那什么是功能区脑胶质瘤?脑功能区定位有什么新...
胶质瘤早期手术必要性的8大要点 1.影像学提示低级别胶质瘤且伴有明显临床症状(如头痛,肢体活动、语言、视觉异常,癫痫发作等)的患者...
简要病史 15岁女孩艺文(化名),因癫痫反复发作、肢体无力就医,检查出大脑左顶叶深部占位性病变。由于癫痫发作频繁,正在上学的孩子...
患者情况:25岁,研究生,女性,反复头痛、呕吐伴复视、右手拇食指麻木1月,就医MRI示:脑干、左侧丘脑、基底节区、侧脑室旁信号异常,...
胶质瘤是起源于神经胶质细胞的肿瘤,可以发生于大脑及脊髓的任何部位,而侵犯颅内脑干同时延伸累及颈髓甚至胸髓,这样病变范围广的胶...
脑胶质瘤是常见的颅内恶性肿瘤,约占中枢神经系统原发恶性肿瘤的81%,同时也是致痫性强的脑瘤种之一。胶质瘤相关癫痫(glioma-related epil...
复发率极高的儿童高级别胶质瘤,为何第一步手术仍然那么重要? 高级别胶质瘤患儿的治疗是一场长期战役,手术作为首战,在整个治疗过程中...
中脑胶质瘤手术是治疗该疾病的常见方式之一,但手术风险较大,主刀医生的技术水平至关重要。中脑胶质瘤手术风...
胶质瘤不手术还有什么治疗方法? 根据细胞动力学和药物对细胞周期的特异性,使用几种药物来提高胶质瘤的化学治...
人到中老年,出现头晕嗜睡的症状,往往以为是高血压所致,因此常常放松警惕。2022年,60岁的宗先生就出现嗜睡、...
脑干胶质瘤能完全切除吗?能活多久?脑干胶质瘤是一种发生在大脑脑干区域的肿瘤,脑干是连接大脑和脊髓的重要部位...
儿童脑桥胶质瘤是一种恶性肿瘤,治愈率受到多种因素的影响,包括肿瘤的病理类型、分级、位置、大小、是否伴有...
顶盖胶质瘤是否有治愈的可能? 脑干神经胶质瘤主要发生在儿童中,占儿童人口全部脑肿瘤的10%25%。中脑神经胶质瘤...
浸润性胶质瘤能完全治愈吗?多少钱?目前,对于浸润性胶质瘤的完全治愈仍然存在挑战。由于该病具有侵袭性和高...
脑桥胶质瘤建议手术吗?怎么做?脑桥胶质瘤的手术治疗具有挑战性,但在适当的条件下,手术切除可以改善患者的生存...
脑干胶质瘤手术后还是头痛 脑干胶质瘤手术后头痛是比较常见的症状。 胶质瘤患者手术后,根据肿瘤的不同生长部位...
为什么脑干胶质瘤,医院大多都不敢做手术?是害怕风险太大吗?在问答社区知乎上,这条关于脑干胶质瘤的热门提...
弥漫性胶质瘤是一种恶性程度较高的脑瘤,虽然无法完全治愈,但通过综合治疗可以好转症状并提高患者的生活质量...
4级脊髓胶质瘤可以治愈吗?脊髓胶质瘤是一种中枢神经系统的肿瘤,起源于神经胶质细胞。根据国际卫生组织(WHO)...
浸润性胶质瘤是一种恶性的脑肿瘤,通常具有高度浸润性和侵袭性,因此通常无法完全治愈。尽管有不同的治疗方法...
脑干胶质瘤手术后复发症状?脑干胶质瘤是一种少见但高度恶性的肿瘤,其位于脑干这一重要部位。手术是治疗脑干...
脑桥胶质瘤治愈率高吗?是多少?脑桥胶质瘤是一种在脑干胶质细胞中发生的肿瘤。治愈脑桥胶质瘤的过程复杂且具...
低级胶质瘤可以不做手术吗?手术切除被认为是治疗低度恶性胶质瘤的一步。与观察相比,手术切除肿瘤可以提高低...
脑干胶质瘤有治愈的可能么 脑干胶质瘤有治愈的可能,如果是一级胶质瘤,是有治愈的希望。 脑干胶质瘤整体治愈率...
枕叶胶质瘤手术难度高吗?枕叶胶质瘤手术的难度通常取决于肿瘤的位置、大小、浸润性和周围重要脑结构的接近程...
神经胶质瘤的早期症状表现是什么?早期可以完全治愈吗?神经胶质瘤是一种具有很高致死率的脑内肿瘤,在早期阶...
恶性脑干胶质瘤手术成功?恶性脑干胶质瘤手术成功与否取决于多种因素,包括肿瘤的大小、位置、生长方式、与周...
脊髓2级胶质瘤可治愈吗?脊髓2级胶质瘤相对于更高级别的恶性胶质瘤来说,预后相对较好,但通常不能被定义为完全...
中脑胶质瘤手术多少钱费用?没动手术能上学吗?中脑胶质瘤手术费用因多个因素而异,如瘤体属性、手术难度和所...
近乎全部的高级别脑胶质瘤会出现复发。大部分低级别胶质瘤也可出现复发。诊断复发胶质瘤需从以下3个方面进行综...
视交叉胶质瘤手术费用?视交叉胶质瘤的手术费用因医院、地区和手术方式的不同而有所差异。下面将为您介绍一般...
婴儿胶质瘤是良性能先不手术吗?婴儿胶质瘤,即使是良性的,是否可以先不手术,这是一个复杂且需要综合考虑多方...
治疗脑干胶质瘤多少钱 治疗脑干胶质瘤多少钱的影响因素是患者病情和治疗方法还有收费标准。 对于胶质瘤患者的整...
左侧额顶叶胶质瘤开颅手术后可能出现一系列的遗症。常见的遗症包括感觉和运动障碍、言语和认知障碍、视觉和听...
神经胶质瘤是具有与神经细胞即神经胶质细胞相似性质的肿瘤的总称。胶质细胞是与神经元(神经元)一起构成大脑...
弥漫性胶质瘤是一种恶性脑瘤,手术治疗是其中一种可能的治疗方式,但无法完全治愈。 弥漫性胶质瘤是一种恶性程...
儿童视神经胶质瘤症状明显吗?要开颅吗?儿童视神经胶质瘤,一个位于视觉系统核心部位的特殊肿瘤,其症状的显现与...
中脑胶质瘤手术的成功率因多种因素而异,如肿瘤的性质和位置,手术的复杂性以及患者的整体健康状况。中脑胶质...
儿童脑干胶质瘤手术风险?儿童脑干胶质瘤手术风险较高,因为脑干是人体重要的器官之一,包含许多关键的生命维...
脑干胶质瘤做不做手术 脑干胶质瘤做不做手术需要根据患者的病情来决定,具体的治疗方法需要咨询主治医生。 首先...
桥臂胶质瘤是一种发生在脑桥臂区域的肿瘤,手术切除是主要的治疗方案之一。桥臂胶质瘤能手术吗,由于脑桥臂区...
二级胶质瘤手术后一般能够活多久? 二级胶质瘤手术后一般可生存5年以上,但由于患者病情严重程度不同,二级胶质...
右颞岛叶胶质瘤手术后生存期?警惕这6点!右颞岛叶胶质瘤是一种较为严重的脑部肿瘤。这种类型的肿瘤通常需要手...
对于中脑病变的胶质瘤,手术是一种常用的治疗方法。手术的可行性取决于病变的性质、位置和大小,以及周围组织...
脑干胶质瘤有治愈的吗 脑干胶质瘤还没有治愈的,脑干胶质瘤虽然无法根治,但积较的治疗还是可以。 如果有脑干胶...
颅脑手术是神经外科常见的手术类型,具有复杂程度高、风险系数大的特点。随着微创技术的发展,颅脑外科手术进...
中脑顶盖胶质瘤的手术治疗成功率依赖于许多因素,包括肿瘤的大小、位置、与周围结构的关系以及手术团队的经验...
脑干胶质瘤是一种恶性肿瘤,更好较低。由于脑干是身体控制和调节各项生理功能的重要中枢,而且位置不同、解剖...
脑干胶质瘤有成功治愈 脑干胶质瘤有成功治愈的几率很小,很难治好。 大部分脑干胶质瘤位于桥脑,往往是弥漫性脑...
岛叶毗邻重要功能区和血管,顺利切除岛叶胶质瘤充满挑战。在过去20年,通过神经外科医生、麻醉师、神经科学家和...
丘脑胶质瘤手术 丘脑胶质瘤的委屈来源于元位肿瘤软少,多见于胶质瘤,多为低级。由于丘脑在神经轴中只占体积的...
脑干胶质瘤1cm严重吗?能手术吗?脑干胶质瘤1cm的情况较为严重,这主要是因为胶质瘤属于不同肿瘤,当其直径达到1c...
低级别胶质瘤多大就需手术...
丘脑恶性胶质瘤生存期 丘脑恶性胶质瘤生存期在两年左右,是一种恶性脑肿瘤。 丘脑恶性胶质瘤主要包括国际卫生组...
得了脑干胶质瘤要不要治疗 得了脑干胶质瘤通常是需要治疗。 脑干胶质瘤是全部中枢系统胶质瘤中较难治疗的肿瘤。...
胶质瘤是一种在脊髓和大脑中发展的肿瘤,胶质瘤的类型包括星形细胞瘤、室管膜瘤和少突胶质细胞瘤。当人们出现...
神经胶质瘤的治疗原则是多学科综合治疗,包括手术切除、放疗和化疗等。根据肿瘤的类型、分级和位置,以及患者...