经鼻内镜手术:垂体瘤的主流术式
垂体腺瘤约占所有颅内肿瘤的15%,是常见的颅内病变。垂体腺瘤——在最新分类中已更名为垂体神经内分泌肿瘤(PitNETs)——通常为良性肿瘤,但具有广泛的生物学和病理学特征谱。除目前主要采用多巴胺激动剂治疗的大多数泌乳素腺瘤外,手术是大多数垂体腺瘤的一线治疗方案。
经蝶入路是垂体手术的标准术式,而开颅仅作为二线选择,适用于经严格筛选的、肿瘤向前延伸至额下区、向侧方延伸至颞窝或包绕血管的罕见病例。显微手术技术最初由Cushing开创,随后经Dott、Guiot和Hardy等学者不断发展完善,但在20世纪90年代末期,随着内镜技术的发展,该技术已在大多数医疗中心逐渐被取代。如今,内镜经鼻蝶入路因其在视野质量、肿瘤切除、内分泌结局、鼻窦并发症及住院时间等方面具有优势,已成为全球许多中心的主流术式。

INC福洛里希教授演讲截图:经鼻内镜示意图
垂体瘤手术虽已进入微创时代,但颅底重建仍是决定成败的关键一环。一项3,015例成人垂体腺瘤研究发现,重建失败的危险因素包括体重指数>40、鞍底骨质破坏、既往手术次数超过两次、广泛颅底骨质破坏以及既往接受过放射治疗。
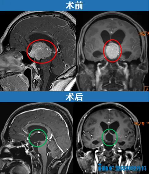
一例安全经鼻切除的巨大垂体瘤
35岁的江先生是因为头痛查出的垂体瘤,除了头痛,疲惫、食欲及注意力下降,甚至还出现了行走不稳的情况。这些症状对于一个30出头的青壮年,并不正常。就医检查发现鞍区及鞍上的巨大垂体瘤引发阻塞性脑积水,垂体瘤早已压迫到脑干、第三脑室及中央导水管,手术操作必须慎之又慎,哪怕不小心碰到任何一条神经,给他带来的可能都是终生的影响。
“手术风险太大,难度这么高,你们还是去其他地方或国外看看吧……”面对巨大的手术风险,江先生没有被吓倒。反而,由于是第一次手术,他更加积极谨慎。
从找到INC福洛里希教授到远赴北京天坛医院成功手术,前后仅用了半个多月的时间。没有开颅,福洛里希教授最终通过经鼻内镜手术成功“挖”除了这个巨大的垂体瘤,术后恢复良好。“这是一次十分具有挑战性的手术,我很高兴为你成功手术!”

“在我们的临床实践中,脊索瘤经鼻内窥镜手术的脑脊液漏发生率仍然很高,约为50%。最近几年,我们取得了进步,把这个概率下降到了10%左右。”福洛里希教授对于防止脑脊液漏有着自己的法宝,点击阅读了解:被一张床困住的人生——脑瘤经鼻内镜手术后脑脊液漏,只能躺着?
垂体瘤手术我们要注意什么?3,015例研究发现
尽管颅底重建技术不断进步,术后脑脊液漏仍是内镜经鼻蝶入路最常见的并发症,且往往需要进行二次修复手术。约有5%的患者会发生与脑脊液漏相关的脑膜炎,这进一步延长了住院时间。因此,在术前规划中应提前制定颅底缺损的重建策略,并需对与脑脊液漏相关的术前危险因素进行准确分析。先前的研究已报道多种术前危险因素,如体重指数(BMI)>30、多次手术史、肿瘤大小、肿瘤延伸范围及侵袭性、既往放射治疗史等。对于所有这类患者,应在鞍区手术步骤前审慎制定闭合策略,以尽可能避免可预防的重建失败,并应根据术中观察到的脑脊液漏程度对策略进行相应调整。
目前,已有多种旨在降低术后脑脊液漏的方案被提出,但对于内镜垂体手术后的最佳闭合策略尚未达成共识。此外,不同报道中的治疗效果存在显著异质性。
《Closure strategy for endoscopic pituitary surgery:Experience from 3015 patients》研究中,在2006年1月至2022年3月期间,由经验丰富的神经外科团队采用单鼻孔内镜下经鼻入路对3,015例成人垂体腺瘤患者进行了手术。重建策略根据术前危险因素和术中情况进行个体化制定。重建失败的危险因素包括体重指数>40、鞍底骨质破坏、既往手术次数超过两次、广泛颅底骨质破坏以及既往接受过放射治疗。本研究排除了采用扩大经鼻入路治疗的患者。
大多数患者为女性(男女比例为1.4),中位年龄为50岁(范围:18-89岁)。10.6%(319/3,015)的患者术中出现需要特殊手术处理的脑脊液漏。对于术中发生脑脊液漏的患者,重建处理依据预测性危险因素进行:对于鞍底骨质破坏或体重指数>40的患者,使用Foley球囊导管进行重建;在其他病例中,则采用带血管蒂的鼻中隔黏膜瓣进行多层修补策略。
术后脑脊液漏发生率为1%(29/3,015),脑膜炎发生率为0.8%(24/3,015)。在术中发生脑脊液漏的患者中,重建失败率为3.4%(11/319)。
3,000例患者的实践研究表明,在内镜下垂体手术中的颅底重建策略已被证明是可靠且可重复的。有计划的、逐步实施的重建方法优化了这一关键步骤,在适应每位患者特定需求的同时,确保了极低的颅底重建失败率。
- 文章标题:告别脑脊液漏:3,015例经验验证,个性化颅底重建让垂体瘤经鼻内镜手术更可靠!
- 更新时间:2026-01-30 11:35:27
400-029-0925




