毛细胞星形细胞瘤(Pilocytic astrocytoma, PA)是儿童脑肿瘤中常见的肿瘤,是低级别、相对明确的星形细胞瘤(WHO 1级)的原型,被认为是良性肿瘤,但若不加以治疗和控制,任其发展也会恶化成高级别恶性胶质瘤。
PA有两种典型的神经放射学表现。它出现在小脑,是一个伴有壁增强结节的膨胀性囊性肿块,或者沿着视神经通路,作为一种浸润性病变,延长和扩大视神经。这些典型的磁共振(MR)成像发现通常可以在术前轻易地诊断出PA。但在生长模式和造影增强类似于更侵袭性和浸润性病灶的其他部位,PA容易被误诊。灌注加权成像和磁共振光谱学发现,虽然对脑瘤的神经放射学特征是必要的,但应被认为是PA的其他误导性信息的来源,因为它们可以表明PA的明显侵袭性。了解常规及前沿MR影像的影像特征及肿瘤的不常见特征,对于准确的影像学诊断及在随访期间对病变的解释是重要的。

图1:多个磁共振图像与叠加图像显示了毛细胞星形细胞瘤在大脑的常见位置。左侧(黄线之间)显示,主要浸润性病变位于顶板(A)、视神经(B)和球桥连接处(C);右侧(红线之间)是典型的膨胀性囊性肿块,伴有壁结节,位于大脑半球(D)和小脑(E)。
流行病学PA是儿童和青少年(0-19岁)中常见的胶质瘤亚型之一,占脑和中枢神经系统组织学的15.5%。PA通常发病年龄1 ~ 10岁,中位年龄7岁。只有少数病例报告超过30岁,发生超过50岁是少见的。男性和女性的比例是1:1。PA可能出现在整个神经轴,但某些部位是优选。小脑、视神经和交叉是常见的大脑部位,但PA也可出现在下丘脑、桥脑、延髓、顶盖或大脑半球(图1)。年龄和肿瘤位置之间的关系已经被提出,因为大多数PA在儿童中位于幕下区域,是小脑(60%),而PA在成人中经常影响幕上结构。视神经胶质瘤(OPG)比较少见,约占儿童脑瘤的2 - 5%。由于他们的位置,他们通常不适合手术或活检;大多数具有惰性行为,被认为是毛细胞性星形细胞瘤。两种形式的OPG已经被描述,散在的和NF1相关的,可能代表两个不同的实体,每个携带不同的预后;前者更为常见,后者约占全部OPG的30%。NF1相关的OPG是诊断为NF1的患者中常见的脑瘤,发生在15 - 50%的患者中。发病高峰在2 - 8岁之间。在散发性的小儿OP胶质瘤病例中曾报道过性别比例相同的病例。在患有NF1的儿童中,OP胶质瘤多见于视神经,而侵犯视神经交叉则多见于散发性病例。

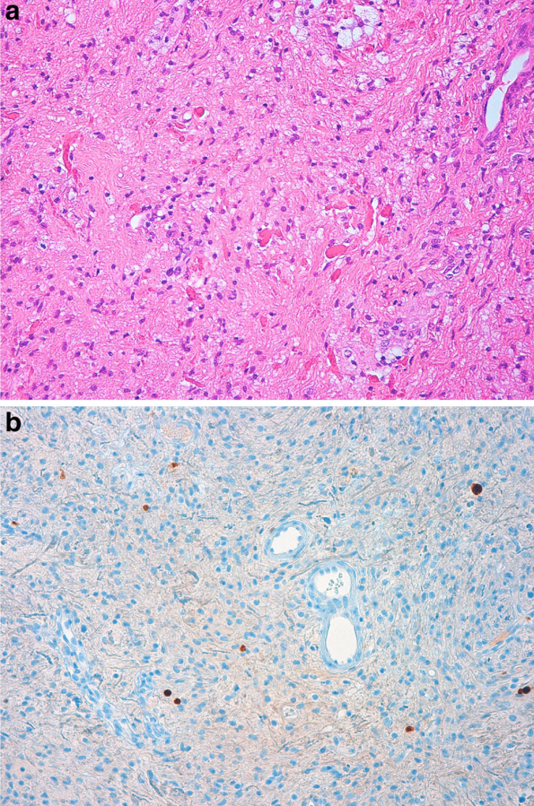
毛细胞星形细胞瘤。显微照片显示低细胞性肿瘤,双较细胞和罗森塔尔纤维(苏木精球蛋白染色,20)。b显微照片Ki-67标记指数低(immunoperoxidase×20)
PA的治疗取决于原发肿瘤的位置。手术是治疗的主要手段。手术的目的是全切除,这是影响无进展和长期生存的因素。对于有壁结节的非增强囊肿,完全切除该结节就足够了,但当囊肿壁通过造影剂增强时,需将整个壁切除。当不能实现根治性全切除,且无进展性疾病体征或症状时,只能观察患者。
非手术治疗通常在切除不完全、不能切除的复发或不能切除的肿瘤进展有明确适应症时进行,这取决于儿童的年龄。年龄较大的儿童(8岁及以上)接受初级放疗,但在不同情况下,他们也可能接受化疗(通常为长春新碱和卡铂)。年龄较小的儿童(8岁以下)接受初级化疗,因为放疗有导致严重发病率(如认知、内分泌和发育缺陷)和辐射诱发肿瘤(常见的是高分级)的风险,而且没有临床证据证明放疗可防止复发,因此严格避免放疗。
INC旗下国际神经外科顾问团(World Advisory Neurosurgical Group,WANG)是由国际各发达国家神经外科宗师联合组成的教授集团。它是由国际各国个别神经外科巨擘们自发组成的医生集团,其中的专家成员巴特朗菲教授较为擅长在顺利的前提下手术切除脑瘤,James T. Rutka教授会为患者制定专属的综合治疗方案,国内患者可拨打400-029-0925咨询INC国际专家远程视频咨询,和海外教授“面对面”沟通。
参考文献:Doi:10.1007 / s00381-016-3262-4
- 文章标题:毛细胞星形细胞瘤是良性还是恶性肿瘤?
- 更新时间:2020-11-11 14:11:42
400-029-0925




