
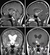
颅咽管瘤(CP)是一种少见的鞍区和鞍旁区上皮性肿瘤,组织学级别较低(WHO级)。它们约占成人全部原发性颅内肿瘤的1%,占儿童的1.2-4%,是后者较常见的鞍区肿瘤。颅咽管瘤生长缓慢,但其位...

颅咽管瘤(Craniopharyngioma)占颅内肿瘤的2%~5%,是儿童二常见的颅内肿瘤,占儿童鞍区肿瘤的54%。垂体瘤是来源于垂体本身的一种肿瘤,多数为良性,恶性病变少见,发病率占整个颅...

颅咽管瘤占儿童脑肿瘤的 5% 到 15%,成人占 1%。脑垂体区域容易发生颅咽管瘤,可能影响内分泌功能。此外,它们靠近视神经和视交叉可能会导致视力问题。一些患者出现由三脑室...

颅咽管瘤二次手术风险大吗?颅咽管瘤位于鞍区,系中央颅底,周围血管神经密集,一次手术风险就较大。由于一开始手术后局部组织的粘连,解剖层次不清,使得二次手术的难度和风...

颅咽管瘤复发高峰期,颅咽管瘤是一种较常见的颅内肿瘤,发病率0.5-2/100万人,约有半数发生于儿童和青少年,为发病一高峰期,成年人多见于40-60岁,为发病二高峰期。颅咽管瘤囊...

颅咽管瘤手术风险有多大?作为颅内常见的一种先天性肿瘤,颅咽管瘤好发于儿童,成年人较少见,好发于鞍上。其始于分泌控制多种身体功能激素的垂体附近,随着颅咽管瘤的缓...

颅咽管瘤影响智力吗?怎么治?颅咽管瘤是病理呈良性、临床结果为恶性的肿瘤,是14岁以下儿童鞍区较为常见的肿瘤。发病原因是胚胎发育过程中出现异常,颅咽管残余的组织在颅底形...

颅咽管瘤全切几率多大?颅咽管瘤是儿童和成人中蝶鞍和鞍旁区的良性上皮肿瘤,可能由 Rathke 囊和颅咽管的外胚层衍生上皮细胞残余物的肿瘤转化引起。...

什么叫颅咽管瘤?颅咽管瘤是良性肿瘤,生长速度缓慢,但会沿着鞍上、蝶窦、鼻咽后壁至三脑室生长,对邻近组织结构形成压迫,进而引发头痛、恶心、呕吐等症状,颅咽管瘤发生...

颅咽管瘤是一种少见的脑肿瘤,通常发生在垂体附近和下丘脑,他们是良性的、缓慢生长的肿瘤,很少扩散到大脑的其他部位。然而,由于对附近大脑结构的影响,肿瘤可能有害。...