室管膜瘤少见,这是一种中枢神经系统上皮性肿瘤,起源于脑室系统及脊髓中央管的室管膜细胞,其发生率大约占颅内原发肿瘤的2.1%.

室管膜瘤的影像学表现
1、腰椎穿刺:多数病人腰椎穿刺压力增高,特别是在幕下肿瘤合并脑积水时更加突出。约半数病人脑脊液蛋白增高,约1/5的病人脑脊液细胞数增高。常有肿瘤细胞脱落于脑脊液中,故镜检脑脊液时需要注意和白细胞鉴别。
2、颅骨X线平片:多数病人表现颅内压增高的征象,如指压切迹增多。Cohen(1984)统计74%有颅骨X线平片的异常,肿瘤的钙化多见于室管膜瘤,幕上肿瘤是否有病理钙化与病史的长短有的关系。有钙化者病史一般较长,但在幕下室管膜瘤这种对应关系不甚明显。幕下室管膜瘤是儿童后颅凹肿瘤中钙化发生率较高者,Martin(1952)年曾报告幕下室管膜瘤的钙化率达17%。
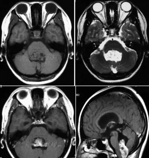
3、CT检查:CT检查位于侧脑室内的肿瘤一般显示不均匀的等或高密度影像,病变同侧脑室可因为肿瘤的占据和室间孔堵塞后造成脑室扩大、变形、肿瘤内可见高密度的钙化灶及低密度的囊变区。后颅凹室管膜瘤表现为中线的占位,经常充满四脑室,并且合并脑积水。肿瘤的密度通常高于正常脑组织,而那些低密度,或等密度的病变很少可能是室管膜瘤。在室管膜瘤中,囊变常见,很容易用CT鉴别。钙化大约占全部病例的44%,并呈弥散或粗糙的结节状,肿瘤强化是典型的表现,肿瘤呈不均匀强化。
室管膜瘤的鉴别诊断
1、脉络丛乳头状瘤:CT平扫为稍高密度,MRI上T1WI呈不均质稍低信号,T2WI呈稍高信号,增强扫描呈不均质强化;好发于侧脑室脉络丛,三角区内,其外形不规则及增强扫描一般呈重度强化是其特点。一般认为脉络丛乳头状瘤由于肿瘤刺激脉络丛过多分泌脑脊液,常伴有交通性脑积水。
2、间变性星形细胞瘤:常表现为不规则环形样强化,而以囊性为主的室管膜瘤囊壁较规则,间变性星形细胞瘤钙化少见,而室管膜瘤钙化常见,两者较易鉴别。
3、髓母细胞瘤:好发于儿童,小脑蚓部常见;CT平扫呈稍高密度,MRI上T 1加权为较均匀的低信号、T 2加权为等信号或略高信号,DWI呈稍高信号,边缘清晰;钙化、出血、坏死较少,可有小部分囊变;增强扫描大多数肿瘤为明显均匀的强化。
室管膜瘤的治疗
许多研究表明,完全手术切除可为室管膜瘤患者提供较大的治愈希望。因此,手术目标应为顺利条件下的全切除。实际上,有30%-50%的概率可以完全切除后颅窝室管膜瘤。为了提高后颅窝室管膜瘤的手术顺利性,神经外科医生可以利用术中神经电生理监测下颅神经和脑干通路以及进行神经导航。
颅内室管膜瘤对放射线敏感。仅在放射学或病理学上可见脊柱转移时,才使用颅骨脊髓轴场。在年幼的儿童(5岁以下)中,如果可能,通常避免提供放射治疗。然而,由于这种疾病的严重性,即使是患有这些肿瘤的幼儿也通常需要化疗和放射疗法。
一些专家建议使用术后放疗,而不管切除是全切除还是部分切除。传统上,治疗室管膜瘤的放射剂量范围为4500 cGy至5600cGy。室管膜瘤可采取局部肿瘤控制,复发时使用125碘近距离放射治疗。室管膜瘤患者也可以选择放射外科治疗。
与髓母细胞瘤甚至星形细胞瘤相比,室管膜瘤具有很高的化疗耐药性。化疗并未使室间隔瘤患者的生存率提高。已尝试通过大剂量化疗和自体骨髓移植进行化疗。目前,这些数据不足以证明使用化疗是合理的。室管膜瘤患者,但较年幼的儿童(替代或延迟放疗)或手术和放疗无法控制肿瘤生长的患者除外。
INC国际神经外科较后指出,除非可以完全切除肿瘤,否则室管膜瘤几乎总是在进展着。一般而言,颅内室间隔膜瘤患儿的5年生存率约为50%至60%,而10年生存率约为40%至50%。关于年龄,肿瘤位置和组织学的作用已显示出有争议的结果:放疗和化疗对无进展生存有的影响。在单因素和多因素分析中,肿瘤切除程度和患者预后密切相关,肿瘤切除率越高,患者生活质量、生存期越好。此外,更高的MIB-1标记指数和次全切除是肿瘤侵袭行为和不良预后的指标。
- 文章标题:室管膜瘤的影像学检查、鉴别诊断、治疗及预后
- 更新时间:2020-06-30 14:21:27
400-029-0925




