室管膜瘤是比较少见的瘤种,在早期症状并不明显,因此许多患者被诊断出来,报告单上都写着室管膜瘤二级或以上。对于没有医学知识基础薄弱的患者来说,都不太清楚这个室管膜瘤二级是什么意思,到底是良性还是恶性?接下来就带大家了解一下室管膜瘤的一些知识。
何为室管膜瘤?
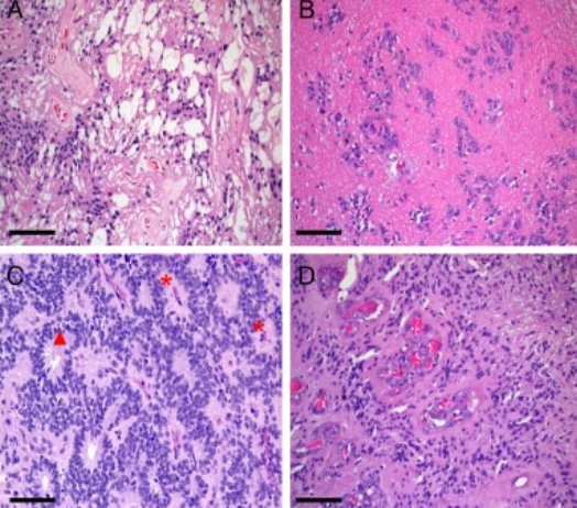
室管膜瘤是排列在脊髓中心和脑室的室管膜细胞的胶质肿瘤。在物理上是柔软的,呈灰色或红色,其可以发生在中枢神经系统任何有室管膜细胞存在的地方。常发生在儿童和成人,但在儿童中比成人更常见。

室管膜瘤分级
室管膜瘤有几种不同的类型,国际卫生组织(WHO)根据其病理分为三级。室管膜瘤的三种分级是由肿瘤细胞与正常细胞的相似程度决定的,等级越低,肿瘤细胞越接近正常细胞。
WHOI级:一级室管膜瘤包括室管膜下瘤和粘液乳头状室管膜瘤,两者生长缓慢,常被认为是良性肿瘤。它们有明确的定位、影像学表现和临床特征。虽然将其纳入室管膜瘤的范畴是有争议的,但许多报道仍将室管膜下瘤纳入室管膜瘤的范畴。

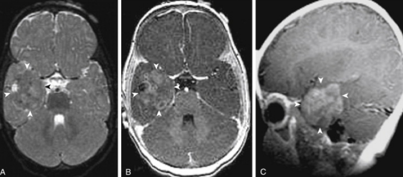
WHOII级:是常见的室管膜瘤。这个级别存在许多室管膜瘤亚型,包括细胞型、乳头型、伸长型、RELA融合阳性、透明细胞型室管膜瘤。其可能出现在脑室系统中产生脑脊液的任何地方。对于室管膜瘤二级是良性还是恶性?INC旗下组织国际神经外科顾问团成员、国际神经外科学院前主席、加拿大多伦多儿童医院神经外科主任James T.Rutka教授表示,2级室管膜瘤的几种亚型得到国际卫生组织的承认,大多数生长缓慢,属于良性肿瘤。对于Ⅱ级组织学室管膜瘤患者,据报道,5年和10年无进展生存率(Pfs)为80%-90%之间。[1]
WHOIII级:这些被称为间变性室管膜瘤,通常发生在颅骨、大脑和脑干,比其他级别的室管膜瘤生长更快,且有较强的浸润周围脑或扩散到脑脊液中的倾向。
室管膜瘤如何治疗?
在医学上,如果室管膜瘤很小,不会立即造成任何危险,医生可能会建议等待并监测其进展。否则,治疗的一步通常是切除尽可能多的肿瘤,像对于室管膜瘤二级,已经比较严重,通常采用手术切除。
在某些情况下,整个肿瘤可以被切除,而其他的可能在更脆弱的区域,只允许部分切除。对于未切除干净的肿瘤,通常采用放疗,以帮助摆脱术后残留的肿瘤细胞。使用化疗也可能有助于某些类型的室管膜瘤,尽管其合适性可能有所不同。
总体来说,室管膜瘤2级,一般属于良性肿瘤,大多数经过及时治疗,患者一般还是能得到较好的预后。据美国中央脑肿瘤登记处(CBTRUS)统计,室管膜瘤病例的总体5年相对存活率为83.4%。
参考文献:
1.Boström A,von Lehe M,Hartmann W,Pietsch T,Feuss M,Boström JP,Schramm J,Simon M.Surgery for spinal cord ependymomas:outcome and prognostic factors.Neurosurgery.2011;68:302–309.
- 文章标题:室管膜瘤二级是良性吗?
- 更新时间:2020-05-01 17:36:08
400-029-0925




