脑积水是大脑中积聚过多液体的疾病。该名称来自希腊语的组合,意为“水”和“头”。积聚的液体不是水。它是脑脊液(CSF)。它通过大脑循环,带来重要的营养,并冲走组织中的废物。通常,它被吸收到血液中。
患有脑积水时,液体的吸收速度和吸收速度之间是不平衡的。结果是它积累了。这可能导致头部增大并增加大脑周围的压力。

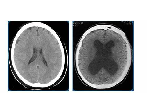
图片来源:https://www.abclawcenters.com/abc-video/hydrocephalus-video/
什么是婴儿脑积水?
婴儿性脑积水,指的是婴儿期儿童患有的脑积水。婴儿期,指的是从出生到满周岁或12个月龄之间的年龄段。婴儿脑积水分为先天性脑积水和后天性脑积水。
1、先天性脑积水,指的是脑积水发生的时间在胎儿阶段(也就是说患脑积水的时间在娘胎里)。
2、后天性脑积水,指的是脑积水发生的时间在胎儿之后或被出生(早产、剖宫产、顺产)之后的阶段(患脑积水的时间在出生后的时间里),例如出生后的婴儿容易发生的感冒发热、肺炎、颅内出血等常见疾病,均是容易引起脑积水并发症的疾病,应该引起家属和儿科医生的重视。
婴儿脑积水的病因
通常,以下这些原因之一可能会导致婴儿脑脊液循环的不平衡,形成脑积水:脑室-大脑中形成脑脊液的空间-产生过多的液体;某些东西阻塞了流体的正常流动并导致其积聚;血液不能吸收全部的液体。
先天性脑积水可以是遗传性的,也可以由怀孕期间发生的其他原因引起。先天性脑积水的常见原因包括:
1、导尿管狭窄:大脑中两个心室之间的通道狭窄或阻塞,液体无法流通。该路径可能由于感染,肿瘤或出血而被切断。
2、神经管缺陷。其中有脊柱裂,其中婴儿出生时脊髓的一部分暴露在外。在某些情况下,脑脊液从颅骨流出可能被阻塞。
3、蛛网膜囊肿:这是大脑中的一种异常生长,可以阻止体液的流动。
4、丹迪·沃克综合症(Dandy-Walker syndrome),这是一种大脑部分无法正常发育的疾病。除其他问题外,大脑的一个脑室扩大了,因为流出的通道狭窄或封闭。
5、Chiari畸形,这种状况会影响大脑和脊髓连接的部位。大脑的下部向下推入脊柱,造成阻塞。
婴儿脑积水的诊断
怀孕期间进行例行超声检查可能会发现宝宝大脑发育的问题,例如脑室扩大或大脑中的空间。如果超声上发现问题,则进一步的测试可以帮助您更清楚地诊断问题。

由于某些患有脑积水的婴儿还存在其他严重的健康问题,因此您的医生将希望多方位了解婴儿的整体状况。因此,您可能需要进行其他检查,例如MRI,它可以提供有关婴儿大脑发育的更多详细信息。您的医生还可能会抽取您的羊水样本,以检查婴儿的染色体。您的医生还将希望了解您家人的健康史,特别是如果您的任何亲戚有神经管缺陷。
婴儿脑积水的治疗
即使医生可以诊断出子宫积水,但通常要等到您的婴儿出生后才能开始治疗。
先天性脑积水常见的治疗方法是脑脊液分流。外科医生会在婴儿的大脑中放置一根柔性塑料管,以排出多余的液体。导管的另一端进入皮肤,进入腹部,或者进入人体中可以吸收过量脑脊液的其他位置。
另一种可能的治疗方法是ETV(内窥镜三脑室造口术),它使用光纤技术。医生将小型相机引导到婴儿的大脑中,并用工具绕开堵塞物在脑室开了一个洞。然后,脑液通过该孔排出,并被吸收到血液中。
INC国际神经外科提醒,婴儿性脑积水,特别是婴儿头颅增大型脑积水要遵守早期或及早治疗的原则。因为早期性脑积水的成功治疗,远较晚期性脑积水,要有更好的治疗效果。全部患儿家属都应该明确一个简单的道理:脑室扩大引起的脑损害,是先从轻度向中度,再向重度可逆性轻度,再向可逆性重度,较后再向不可逆性损伤的方向发展下去的。脑积水一旦发展到了晚期,即使得到了正确的治疗,也仍不可避免严重致残的不良后果。
- 文章标题:解读婴儿脑积水的合适治疗办法
- 更新时间:2020-04-30 12:57:00
400-029-0925


