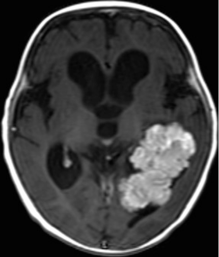
李女士近来经常头痛,多次吃药也不起作用,于是去医院检查。医生根据她的描述,怀疑是否有脑梗死,所以给她查了一个头部CT,这一查竟然查出了李女士脑子里的脑室部位长了个核桃大的瘤体,好的是经过医生判断该脑室肿瘤为良性。

何为脑室肿瘤?
脑室肿瘤(又称脑室内肿瘤),顾名思义,是指在脑室内发现的肿瘤或病变。脑室是充满液体的结构,具有四个心室,其产生的脑脊液覆盖大脑和脊髓。脑脊液从侧心室流入三脑室,然后,这些液体通过大脑导水管(Sylvius)进入四脑室,从大脑内部流出,在大脑和脊髓周围循环,然后被吸收回血液流。因此,而产生于该区域类的肿瘤可以局部阻断血流,经常阻碍脑脊液的流动,并导致颅骨内压力的增加。由于颅压的增高,所以许多患者会感受到头痛,并且这种头痛不会消失,随着肿瘤的增大而不断加重痛觉,所以李女士多次吃药也不见效果。
脑室良性肿瘤能治吗?
其实生活中像李女士这样的例子很多,很多时候都是因为头痛这样的常见症状无意查出了肿瘤。那么,如果不幸真查出了脑肿瘤,像李女士这样的脑室良性肿瘤能治吗?又能活多久?
脑室良性肿瘤能治吗?相信这是许多患者都关心的问题。INC国际神经外科顾问团成员、国际神经外科学院前主席、加拿大多伦多儿童医院神经外科主任James T.Rutka教授表示,脑室肿瘤由于其位置深在,治疗难度大,但在今天的医学水平下,在经验丰富的神经外科医生科学合理治疗下,是能够得到较好的一个预后的。
脑室肿瘤如何治疗?
关于脑室肿瘤的治疗,James T.Rutka教授表示,脑室肿瘤一般治疗优选手术,但由于脑室肿瘤的位置、大小、与脑积水的关系以及周围的功能解剖所带来的挑战,脑室肿瘤的治疗存在争议。MRI是术前评估的优选方法,需要考虑的重要因素包括肿瘤的大小、肿瘤血管的供应和引流、脑积水和周围的神经结构。较后,在难以获得脑室肿瘤的情况下,可以利用脑室内窥镜进行诊断。这种微创手术对较小的病变或需要活检病理诊断的放射敏感性肿瘤是有吸引力的,并且是成功的。
关于脑室肿瘤的手术治疗,James T.Rutka教授认为,理想的手术应达到足够的暴露以切除更多的肿瘤,同时快速识别供血血管,尽量较小程度使大脑收缩和功能皮层损伤达到较小。手术时,选择在外科医生和病变之间较直接的轨迹,来进行手术通常是较合适的,但是选择是可变的,并且取决于手术医生的经验。脑室内肿瘤位置、脑积水、半球形优势、肿瘤大小、肿瘤血管供应、组织病理学特征均为重要因素。立体定向指导系统有助于选择适合的方法,以实现顺利、的肿瘤切除。对于脑室肿瘤的手术入路,James T.Rutka教授表示,历史上,神经外科医生常使用经皮层的方法进入侧脑室。近年来,经胼胝体-大脑半球间入路因可直接进入脑室而不损伤皮质脑组织而更常被使用。对于三和后脑室肿瘤,经皮质颞叶、顶叶上叶和经胼胝体-半球间入路是常见的。
脑室肿瘤能活多久?
脑室良性肿瘤,治疗后能活多久?俗话说,除了生死,都是小事。对于这个全部患者都较关心的问题,James T.Rutka教授表示,脑室良性肿瘤种类多,包括数种不同的肿瘤。因此,脑肿瘤手术后患者的生存期各不相同。比如低级别的良性胶质瘤,Ⅰ级胶质瘤可通过手术治愈,患者能长期存活,II级胶质瘤平均生存期为7-10年。良性脑膜瘤,如手术全切可获得长期生存,相关报道成脑膜瘤手术后平均生存期一般为9年。又如垂体腺瘤,全切除肿瘤可以达到治愈的效果。
总之,根据脑室肿瘤的不同类型,手术后患者的生存期各不相同。另外,即使是同一类型的肿瘤,因肿瘤的大小、部位、患者的身体状况、肿瘤的病理分级和分型、手术切除程度、放疗和化疗等后续治疗方案的选择等不同,患者生存期也可能存在很大差异。因此,患者需根据个人病情咨询的神经外科医生,切不可在毫无经验的情况下贸然判断自己的生存期,也不要丧失希望,国际前沿的神经外科咨询中心能帮助尽可能地延长生存期、提高生存质量。
- 文章标题:脑室良性肿瘤能治吗?能活多久?
- 更新时间:2020-04-30 12:45:44
400-029-0925




