脑积水是神经外科常见的病症之一,是指颅内的脑脊液液体异常积聚,由于脑脊液的流动受阻或其产生与吸收不平衡引起,此外还有炎症反应、神经元损伤和室周轴突损害。
脑脊液生成过多、循环受阻、吸收障碍等,都可以导致脑脊液积蓄过多,使得颅内原本容纳脑脊液的空腔,如脑室系统和蛛网膜下腔,受到过多脑脊液的挤压而扩大,从而导致一类疾病的总称。临床表现为颅内压增高和脑功能损害。

Q:脑积水是脑子里"进水了"吗?
A:“脑积水”积的不是“水”,是脑脊液过多。“脑脊液”,与水相像,澄清透明,但成分与血浆、淋巴液相近。
Q:什么是脑脊液?脑脊液有什么作用?人有多少脑脊液?它是怎样生成、循环的?
A:脑脊液(Cerebro-Spinal Fluid,CSF)是环绕于中枢神经系统(脑和脊髓)周围的无色透明的液体,主要存在于颅内和脊柱内的空隙间,比如脑室、蛛网膜下腔和脊髓中央管内,生成,循环,然后再被吸收,其总量稳定保持在水平,时刻处在一种动态的平衡之中。它提供脑的一部分代谢功能,也在运动时像水床一样保护脑。正常成年人脑脊液量约100~150 mL。脑脊液生成速度大约0.3 mL/分钟,一天大约产生450 mL,也就是说每天至少要更换3次。
脑脊液主要由脑室中由血管组织盘绕成的结构——脉络丛产生,当血液流经此处时时,血液中的一部分成分“渗出”,形成脑脊液。脑脊液不是一潭死水,而是不断生成和被吸收,因此处于循环之中,这个循环受阻,是脑积水的重要原因。

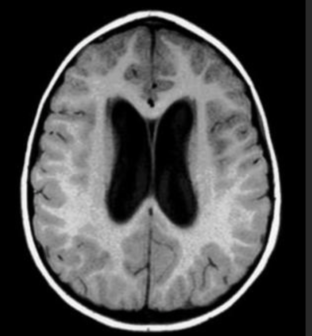
图片来源:https://www.baidu.com/s?&wd=bing.com&ie=utf-8
脑内有不少空隙,脑脊液在其中流动,包括侧脑室、室间孔、三脑室、中脑导水管、四脑室、正中孔、外侧孔,较后流入脑和脊髓的蛛网膜下腔,准备吸收。
Q:什么情况可导致脑积水?
A:(1)先天性因素:中脑导水管畸形,小脑扁桃体下疝畸形,室间孔闭锁畸形(四脑室正中孔或侧孔闭锁),脑血管畸形,脊柱裂等。
(2)感染因素:感染性脑膜炎、脑炎时增生的纤维组织阻塞了脑脊液的循环通路;炎症反应同时也可以使脑池、蛛网膜下腔和蛛网膜粒粘连闭塞,造成脑脊液循环和吸收障碍。

图片来源:https://www.ohsu.edu/doernbecher/hydrocephalus
(3)各种原因所致的颅内出血、颅内肿瘤等:外伤、脑出血、某些遗传性代谢病、围产期及新生儿窒息、严重的维生素A缺乏等疾病,使血液有机会进入脑脊液,引起纤维增生,可阻塞脑脊液循环通道;肿瘤生长过程中,压迫、阻塞脑脊液循环通道。
Q:脑积水有哪些类型?
A:(1)依据病因可分为先天性脑积水和继发性脑积水(其他疾病造成的影响)。
(2)依据液体是否能够自由流动的病理分类:梗阻性脑积水、交通性脑积水、外部性脑积水三大类。
(3)依据疾病发展速度,临床上一般分为急性脑积水、慢性脑积水、正常颅内压脑积水、静止性脑积水。
Q:孩子头大就是脑积水吗?
A:不,脑积水所致的头颅增大有以下特点:
1、进展性增大,正常婴儿在较早6个月头围增加每月1.2~1.3 cm,脑积水时头围的增长速度则为其2~3倍;
2、发育迟缓,患儿发育明显落后于同龄孩子。
Q:脑积水如何治疗?
A:除少数经利尿、脱水等治疗或未经治疗可缓解症状、停止发展外,多数脑积水病人需要手术治疗。
Q:什么是脑积水治疗较佳时机?
A:因为脑积水可造成脑组织的损害,在诊断明确,有手术指征,无禁忌证的情况下,建议及早手术治疗。
Q:脑积水能够完全治愈吗?治疗后还会复发吗?
A:通过的治疗,脑积水可以临床治愈。但是脑积水对人体造成的损害,如头围增大、智力低下等会残留下来。脑积水有的复发率,需要遵医嘱定期复查。
Q:脑积水病人什么情况下需要手术治疗?
A:1、有头围逐渐扩大(周长超过50 cm),颅内压增高(ICP>250 cmH2O)表现的各类型脑积水患儿,包括梗阻性和交通性脑积水。
2、有脑损害症状,智力发育障碍者。
3、脑室扩张者。
4、由肿瘤等引起的继发性脑积水,原发疾病不能处置者,可单纯针对脑积水治疗,以缓解症状,提高生存质量。
5、大脑皮质厚度1 cm以上者,手术后智力发育可得到程度的恢复。
6、大脑皮质厚度1 cm以下者,手术后虽然智力发育恢复不明显,但也建议手术治疗。
7、脑室扩张明显,腰穿脑脊液压力不高者,如存在进行性神经功能损伤,建议手术治疗。
Q:脑积水手术目的是什么?
A:1、解除梗阻,消除病因,重建脑脊液循环通路。如切除肿瘤,解除其对脑室系统的压迫;扩张导水管;疏通四脑室流出道的梗阻等,使之前堵塞的脑脊液通路重新通畅起来。
2、避开梗阻部位,另寻吸收部位,改建脑脊液循环通路。如侧脑室外引流、侧脑室-腹腔分流、腰大池-腹腔分流、三脑室前部造瘘等。
3、减少脑脊液的产生。如灼烧、部分切除脉络丛。
Q:脑积水手术方式有哪些?
A:1、分流术:包括侧脑室外引流术,侧脑室-腹腔分流术,腰大池-腹腔分流术。
2、脉络丛灼烧术、脉络丛部分切除术。
3、造瘘术:三脑室造瘘术等。
Q:如何选择脑积水手术方式?
A:手术方法的选择,需要根据病人的具体情况而定。
1、原则上梗阻性脑积水应首先明确病因,通过手术解除梗阻原因。
2、如果术后仍有梗阻,可选择进行分流手术。
3、对无法切除梗阻病变的,可直接进行分流术。
4、交通性脑积水多采用分流术,如婴儿交通性脑积水,可行腰大池-腹腔分流术,不仅分流管行程短,且呈水平走向,分流效果不会因生长发育而产生较大影响。
- 文章标题:科普答疑|脑积水症状有哪些?不治疗会怎样?
- 更新时间:2020-03-30 22:35:01
400-029-0925




