室管膜瘤可以出现在神经轴的任何位置,在任何年龄组,尽管它们在儿童中更常见,占全部儿童中枢神经系统肿瘤的6%-10%,在男性中更常见。在儿童中,70%的室管膜瘤出现在后颅窝,25%在幕上,其余在脊柱。治疗儿科室管膜瘤的基础是较大限度的顺利手术切除,然后才是放射治疗。
室管膜瘤是癌症吗?室管膜瘤是胶质瘤的一种,根据其难治程度和病理特征被分为WHO1-3级,其中WHO1-2级的室管膜瘤并非癌症,是低级别的胶质瘤,但如间变型室管膜瘤的WHO3级肿瘤则较难治愈。得了室管膜瘤能活多久?有论文表明:十年生存率(OS)和无进展生存期(PFS)分别为50±5%和29±5%。
手术切除手术是治疗儿童室管膜瘤的关键的一步。手术切除的目的是获得肿瘤组织以供诊断,打开脑脊液通路以缓解脑积水,消除对细致神经结构的压迫,并达到更大的顺利切除。术前出现有症状的脑积水将决定在确定的肿瘤手术治疗前是否采用脑脊液分流,采用内窥镜或外脑室造瘘术或脑室-腹腔长期性分流术。在我们的机构中,许多后颅窝肿瘤(包括室管膜瘤)患者可以在确定性手术前几天使用糖皮质激素治疗。

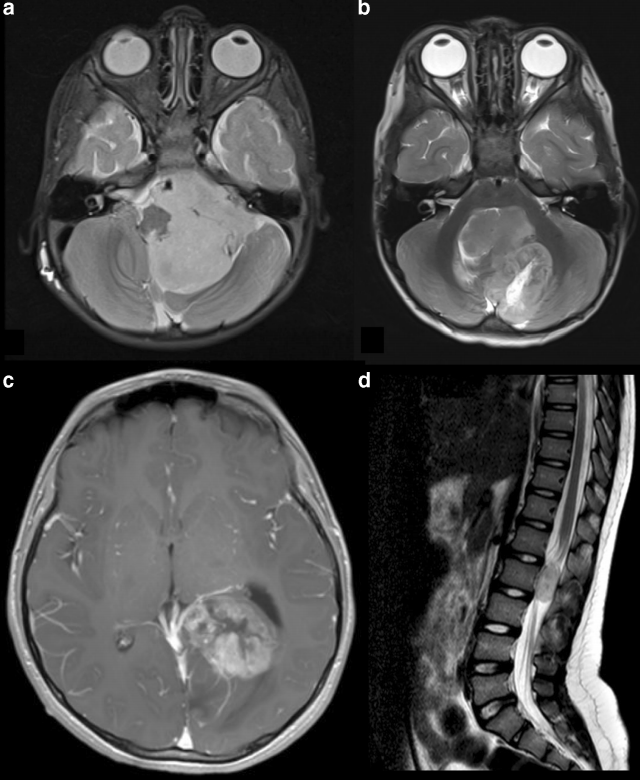
可采用中线四室管膜瘤手术采用俯卧位枕下开颅。肿瘤通过端部入路进入,尽量避免小脑蚓部。尾部肿瘤的扩张几乎总是可以在不切除C1的后弓的情况下切除。在接近邻近小脑梗和齿状核的肿瘤周边时,避免使用腔室吸引器。手术结束后,在高倍镜下检查肿瘤腔体,以确保切除完整。有时肿瘤会附着在四脑室底部或有侵袭性;这被仔细地刮到脑组织的其他部分,注意不要损害这个生动的表面。人们早就认识到EOR与室管膜瘤的预后密切相关。在1975年至1989年接受治疗的80例患儿中,据报道,GTR组5年PFS为51%,OS为75%,次全切除组为26%,OS为41%。在另一组92例在相似时间段接受治疗的患者中,GTR患者10年的PFS和OS分别为57.2%和69.8%;切除不完全的占11.1%和35.2%。较近,在对153名室管膜瘤患儿、5年PFS和OS进行适形放疗的St. Jude试验中,125名接受GTR的患者中,适形放疗分别占81.5%和93%。
但手术存在并发症风险。外科手术引起的并发症包括血肿和感染,这两种并发症在现代显微神经外科手术时代都很少见,包括电灼和围手术期抗生素。无菌性脑膜炎可能在手术后5天左右出现,典型的是在糖皮质激素断奶后。这只能在脑脊液取样以排除细菌感染后才能确认。术后脑脊液流量改变可导致假性脑脊膜膨出和脑脊液泄漏。谨慎的手术部位缝合技术可以减轻这种风险,包括硬膜结针和将颈部肌肉缝合到替换骨瓣上。假性脊膜膨出较初可通过反复腰椎穿刺治疗,如果持续,则可进行长期性脑脊液分流。室管膜瘤切除手术后,幸存者生活质量的一个主要决定因素是神经系统疾病的负担。96例后颅窝室管膜瘤患者在较大大顺利切除和放射治疗后的120个月里被密切监测,该队列中常见的神经缺损包括外展神经和面神经麻痹、肢体运动障碍或麻痹、吞咽困难和躯干共济失调。缺陷在术后早期是较大的,并且在随后的放射治疗中一般没有恶化。室管膜瘤术后呼吸窘迫和吸入性肺炎的预防是一个重要的考虑因素,是在后脑小脑区,此处的球功能术后可能受到影响。一种涉及多学科小组的治疗方法已经被描述,在拔管前用光纤鼻内窥镜评估声带功能,并根据需要放置气管造口。
手术全切室管膜瘤并非易事,但盲目放化疗又可能会耽误较好的治疗时机,是3岁以下的儿童患者,放化疗对其身体伤害较大,那么身患室管膜瘤该如何治疗呢?INC旗下国际神经外科顾问团(WANG)的专家成员、德国INI研究所教授巴特朗菲教授对于疑难位置的脑肿瘤切除经验丰富,他曾为很多国内患者成果全切肿瘤,随访结果显示患者预后良好。INC之James T. Rutka教授是国际儿童神经外科专家,其擅长利用LITT技术消融病灶,为患儿带来希望。国内其他患者也可拨打400-029-0925咨询INC国际教授远程视频咨询,还有机会去到教授所在的德国INI接受治疗。
参考文献:Doi: 10.1007/s11912-019-0826-y
- 文章标题:室管膜瘤是癌症吗?得了室管膜瘤能活多久
- 更新时间:2020-11-02 17:25:54
400-029-0925




