在一个再普通不过的周二凌晨5点,大多数人还沉浸在睡梦中。15岁的小蕊却从剧烈头痛中惊醒,在两次呕吐后,小蕊的头痛非但未缓解,反而像被按下了“加速键”。
小蕊被父母紧急送往医院,头颅CT检查结果提示脑出血,而在之后的MRI结果瞬间将整个家庭推入了绝望的深渊——胼胝体压部藏着一个较大的动静脉畸形。
一场与死神的较量就此展开......
小蕊15岁,脑动静脉畸形伴脑出血
-病情阶段-
弥散的“脑血管炸弹”
2025年6月24日凌晨5点,小蕊突发剧烈头痛,伴随呕吐。短暂休息后,小蕊的头痛不仅没有缓解,反而持续加剧,再次出现了呕吐。
意识到情况不对,小蕊父母立即带着她前往医院,头颅CT检查结果令人震惊:脑出血!随即,120急救车将孩子紧急转运至儿童医院。医生为小蕊进行了全麻下双侧脑室外引流术,引流脑室内的血液。
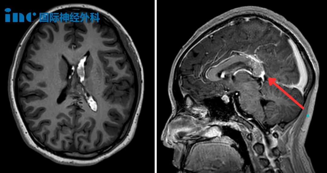
三天后,医生拔除了右侧引流管,只保留左侧继续引流脑嵴液。而当日的MRI检查揭开了更棘手的真相:胼胝体压部存在一个22mm×15mm的橄榄形动静脉畸形(AVM)。


更令小蕊父母揪心的是,这片畸形血管异常弥散,没有明确的边界。与正常脑组织交织在一起,这就使得手术难度极高!

脑动静脉畸形
是脑血管发育异常的一种疾病,动脉和静脉直接相连,缺少正常的毛细血管网,形成一团迂曲缠绕的血管团。随时可能破裂出血,导致严重的神经功能损害甚至生命危险。

胼胝体压部
是胼胝体后部结构,胼胝体是连接左右大脑半球对应部位,使大脑在功能上成为一个整体,区域深且功能重要。
-咨询阶段-
INC巴教授正巧在华
进行示范手术
就在小蕊父母焦虑难安之时,INC国际巴特朗菲教授恰巧在华进行示范手术。小蕊父母得知后便立刻通过INC国际神经外科医生集团紧急协调联系巴教授。
在面对面咨询中,巴教授仔细研究了小蕊的病情,“患儿的AVM仍然有可能再次出血,因为有很多小的AVM血管,这些血管很脆弱,所以可能会再次破裂。”
关于手术方案,巴教授表示:“这并不是一个非常容易的手术,但非常可行。”小蕊父母心里的巨石终于有了着落。

咨询过程中,巴教授为小蕊父母细致的讲解孩子的病情和治疗方案。
-治疗挑战-
小蕊的手术难在哪儿?
手术切除是脑动静脉畸形最主要的治疗方法。但面对小蕊的病情,手术切除面临着多重挑战:
难度一:病变弥散,供血复杂
与一些紧密的AVM不同,小蕊的AVM非常弥散,有多条血管从不同区域供血,包括前动脉循环和后动脉循环,增加了手术的复杂性。
难度二:术中术后出血风险
弥散型AVM往往血流量巨大且来源分散。一旦开始切除,来自各个方向的渗血会像“泉水”一样涌出,止血极其困难,操作举步维艰。
难度三:全切与否与复发风险
由于AVM弥散,很难确定能否全切。在手术中以为已经切除干净,实际上切除了99%,但仍然有一小段短路残留,有残留就会有复发的可能。

-手术阶段-
高难度手术顺利成功
作为此次手术的主刀,巴教授在术前进行了认真细致的准备。术中,巴教授在国内神经外科专家的密切配合下,通过大脑中线入路,并凭借丰富的手术经验,仔细分离并切除了位于胼胝体压部的动静脉畸形团,手术顺利完成。
术后第一天,小蕊就从ICU转出至普通病房。术后MRI图像清楚显示:AVM已被完全切除,脑室内出血也已清除。小蕊临床状况良好,很快就恢复了正常活动。

从目前文献荟萃分析来看,对于脑动静脉畸形来说,手术切除仍然是最主要的方法,但手术治疗对外科医生是一种挑战,但是致密型与弥散型动静脉畸形,虽同属一类疾病,可在神经外科医生眼中,它们代表着截然不同的挑战等级。其中病灶的紧密程度是决定手术难度和是否能全切的关键点。
致密型动静脉畸形
相对“友好”的战场
致密型动静脉畸形好比一团缠得紧紧的毛线球,核心明确,边缘清晰。与周围正常的脑组织之间界限相对分明。在脑血管造影(DSA)上看起来是一个相对局限、浓密的染色区。
手术优势:边界清晰、易于阻断、全切可能性高
手术难点:整体而言,达到全切的目标相对可行。(如果病灶位置深在或涉及重要功能区也会显着增加难度和风险)
致密型AVM好比一团缠得紧紧的毛线球,核心明确,边缘清晰。
弥散型动静脉畸形
手术难度极高
异常的血管分散、浸润性地生长在正常的脑组织中,没有明确的边界。与正常脑组织交织在一起,好比把墨水洒在吸水的海绵上,界限模煳。在DSA上表现为范围较广、染色较淡且边界不清的区域。
手术难点:边界模煳难以全切、术中术后出血难控。
手术目标:对于弥散型动静脉畸形,手术往往极其谨慎。目标可能从“根治性全切”调整为“安全地减容”或“处理高危部分”,更多依赖介入栓塞或放射外科作为主要或辅助治疗。
弥散型AVM好比把墨水洒在吸水的海绵上,界限模煳。
致密型动静脉畸形是可以通过精湛技艺努力实现“根治”的目标;而弥散型动静脉畸形则往往是需要多学科协作、权衡利弊、甚至接受保守或姑息治疗的复杂难题。
对于小蕊这样的复杂的AVM病例来说,术中全切是“艺术”,依赖丰富经验,判断是否在术中达到了真正的全切,尤其是在处理边界不清的弥散型AVM时,高度依赖主刀医生的经验和技巧。这包括:对动静脉畸形血管构筑的深刻理解、精湛的显微操作技术、对脑组织保护和止血技术的娴熟掌握。
从一个突发脑出血命悬一线的危重患儿,到成功切除病变、恢复良好的幸运儿,是巴教授精湛的技术和丰富的经验,加上及时的治疗机会,让她能够继续健康成长。
INC国际脑血管专家
巴特朗菲教授
INC国际神经外科医生集团旗下世界神经外科顾问团(WANG)成员、世界神经外科联合会(WFNS)教育与技术委员会前主席巴特朗菲教授,作为德国汉诺威国际神经外科研究院血管神经外科主任,擅长大脑半球病变、脑干病变、脑血管疾病、脑内深层区胶质瘤、颅颈交界处的病变等的肿瘤切除术、神经吻合术以及各种椎管内肿瘤等。

同时,巴特朗菲教授收到过来自欧洲、中东、北非以及日本、中国、韩国、新西兰、南非和智利的40个国家的学术邀请,应邀出席了400多场世界各地的学术会议或在神经外科大会作为特邀发言人,对世界神经外科学科做出重大贡献,特别是颅底外科和显微外科血管病变的脑和嵴髓治疗。
案例来源:文中所述为INC国际巴特朗菲教授2025年6月29日于苏州大学附属儿童医院进行的手术一例。
- 文章标题:15岁少女突发脑出血意识不清,竟因脑内藏着畸形血管团!
- 更新时间:2025-08-23 12:11:03
400-029-0925




