
58岁的王先生绝不会想到,一个再普通不过的喷嚏,竟会让他与一种极为凶险的血管疾病狭路相逢。 那天,他打完喷嚏后就感到左侧颈部一阵异样。第二天,颈部竟肉眼可见地肿起,并出现了大...

遗传性出血性毛细血管扩张症(HHT)是一类罕见病,却给患者带来长期挑战,除反复鼻出血、皮肤黏膜毛细血管扩张外,脑动静脉畸形(脑AVM)是其更危险且常见的并发症。 由于HHT本身罕见,...

脑动脉瘤破裂出血,必须立刻手术!拿到检查单的那一刻,除了恐惧,很多患者和家属都会被同一个问题困住:开颅还是介入? 2024版中国破裂颅内动脉瘤临床诊疗指南早已明确,无论动脉瘤是...

砰! 39岁的Emliy正低头煎蛋,左侧太阳穴突然传来一阵剧痛,像被人用锤子狠狠砸了一下,疼得她手里的铲勺都掉在地上。她扶着灶台缓了半分钟,以为是前晚熬夜赶方案没休息好,喝了杯热水...

一份产检异常报告打破孕期的喜悦。 对于30岁的苏珊来说,怀孕本是一段充满期待与喜悦的旅程。 然而,孕28周的她满怀憧憬地前往医院进行常规孕检,医院给出的检查结果却如同一盆冷水,瞬...

INC国际儿童脑瘤大咖、世界小儿神经系统知名杂志《Childs Nervous System》现任主编Concezio Di Rocco教授发表研究《Single nucleotide polymorphisms associated with sporadic brain arteriovenous malformations:where do we stand?...

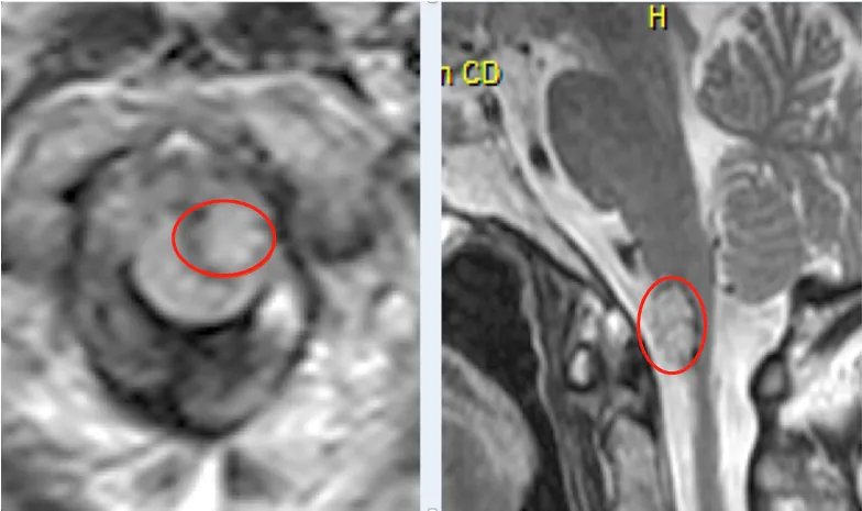
脑干这块地方,对咱们脑子太重要了。要是这儿出问题,轻的可能脖子以下动不了,重的连自己喘气都费劲,甚至会要命。 这地方还特别小,做手术难度大得很。病变跟颈髓、神经、血管贴得...

INC国际儿童脑瘤大咖、世界小儿神经系统知名杂志《Childs Nervous System》现任主编Concezio Di Rocco教授发表研究《Angioarchitectural features of brain arteriovenous malformations associated with seizures:a single center re...

23岁,本该是肆意享受青春的年纪,Emma却活在生命的倒计时中她的颅内埋着一颗被称为脑动静脉畸形(AVM)的大麻烦。 一次突发脑出血后,她因畏惧开颅选择了伽马刀治疗,却没想到4年后,恐...

当体检报告上出现左侧后交通动脉瘤时,这位定期体检的养生达人怎么也没想到,这个直径仅12毫米的血管异常,竟会在两年间疯长至35毫米,并且右边身体开始僵硬、眼前开始模糊,还有意识...