
众所周知,脑袋中的血管主要分为动脉和静脉,而当动脉管壁异常膨出时,就被称为颅内动脉瘤。虽然名称中带了一个瘤字,但它却并非肿瘤。 尽管颅内动脉瘤可见于任何年龄,但多数...

想象一下:有一天,你不小心穿越进电视剧中成为主角的家人,当主角发生意外被送进手术室,等在手术室外的你也许就会被告知:手术中发生大出血 无论你接下来是否需要输血,此时...

动静脉畸形(AVM)可以称得上是毁人生的元凶之一。我们大脑内部的血管们原本井然有序、各司其职,却突然被AVM这个不守规矩的隐藏大BOSS打乱,动脉和静脉之间的正常流动通道被破坏...

脑动静脉畸形(大脑AVM,CAVM,cAVM)是大脑动脉和静脉之间的异常连接,而对于动静脉畸形患者来说,较可怕的两个字就是出血。在严重的情况下,血管破裂并且脑内有出血(颅内出血...

出血几率为每年1%-3%,与每次出血相关的死亡风险为10%至15%。 长期性脑损伤的几率为20%至30%。 每当血液渗入大脑,正常的脑组织就会受损。这导致正常功能丧失,这可能是暂时的...

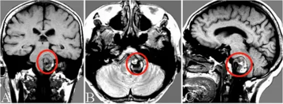
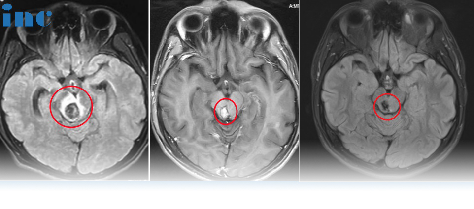
20岁的小峰正值青春年少,努力奔跑、勇敢追梦的年纪,刚上大学的他人生刚刚开始。 然而命运不幸遭遇无情的脑干血管畸形,一次高达4ml的脑干出血,引起了肥大性下橄榄核变性(...

颅内出血、头痛、癫痫原本状态正常的人突然出现晕厥、呼叫不醒,情况危急,紧急送医检查被告知是脑动静脉畸形出血。那什么是脑动静脉畸形是什么呢? 脑动静脉畸形是如何产...

国际神经研究所-巴洛神经学研究所主席兼CEO Lawton教授 出版动脉瘤《七种脑动静脉畸形:切除原理和技巧》及《七种动脉瘤:夹闭术的原理和技巧》 美国较佳医生(20...

很用力咳嗽了几下,还咳出了脑干出血?真有这样的事吗? 41岁的宋女士于2023年10月底,因感冒喉咙有痰,很用力咳嗽了几下,随后出现视物模糊,重影,耳鸣,四肢乏力,犯困,嗜睡...

复杂颅内动脉瘤(cia)是神经外科医生面临的较具挑战性的病理之一。尽管cia通常被认为是较大的动脉瘤,但还有许多其他特征使得动脉瘤具有复杂性。Spetzler等人最近总结了这些特征,包...