
时钟刚划过凌晨5点,周二的城市还裹在静谧的晨雾里,大多数人仍在梦乡中酣睡。可15岁的小蕊却突然被一阵撕裂般的头痛惊醒,额头瞬间沁满冷汗。没等她缓过神,剧烈的恶心感袭来,两次呕...

21岁,我才拥有自己人生的掌控权不久,急着成为大人,急着享受世界的美好,可一次出血却险些害了我一辈子。那天是我的生日,当我沉浸在满屋的鲜花、缤纷的气球中时,头顶的灯光却一下...

诊室里,55岁的陈先生扶着额头,语气带着难以掩饰的焦虑:最近总突然头晕,过几分钟又好了,记忆力也越来越差 谁也没想到,这看似普通的小毛病背后,竟同时面临颈动脉狭窄的脑缺血危机...

INC国际儿童脑瘤大咖、世界小儿神经系统知名杂志《Childs Nervous System》现任主编Concezio Di Rocco教授发表研究《Association between the rs1333040 polymorphism on the chromosomal 9p21 locus and sporadic brain arteriovenou...

在一个再普通不过的周二凌晨5点,大多数人还沉浸在睡梦中。15岁的小蕊却从剧烈头痛中惊醒,在两次呕吐后,小蕊的头痛非但未缓解,反而像被按下了加速键。 小蕊被父母紧急送往医院,头...

24岁的小雨骑电动车摔倒,磕到了头部,保险起见,在处理好外伤之后就去做了进一步的检查,结果意外发现了隐患在她的 左脑有个低级别的动静脉畸形 。没有任何症状的她难以置信: 我平时...

视力下降没在意,在年度体检中却发现患有 脑动静脉畸形 ,而且这畸形的血管团竟然还潜伏在视神经旁。这让36岁的朱莉陷入两难抉择: 切除病灶,手术风险可能会永远失明; 保守治疗,这颗...

16岁的小美正悠闲地看着电视,突然,一阵前所未有的剧烈头痛向她袭来,仿佛脑袋要炸开!这可不是普通的头痛,这是大脑深处的畸形血管团在作祟。 小美 16岁 颞叶内侧动静脉畸形 一生中最痛...

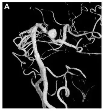
脑动静脉畸形(bAVM) 就像大脑里的不定时炸弹, 手术切除畸形团是减少出血风险并改善患者生活质量的主要方式,可手术风险有多大?要如何评估? 传统评估主要看畸形团大小、位置是否关键等。...

36岁的Amanda与脑动静脉畸形和平共处多年,侥幸未出血。但一次突发的颅内出血,击碎了她平静的生活。 多方权衡后, 她选择了创伤较小的伽马刀治疗,期待无刀化解危机。然而,复查结果冰...