目前的研究表明,松果体区是一个复杂的肿瘤“集中地”,已知有超过17种不同类型的肿瘤可以在此处发生。生殖细胞瘤是松果体区最常见的肿瘤类型,这种肿瘤在不同地区的发病率有显著差异:在美国和欧洲人群中占比约为21%至44%,而在日本人群中显著更高,达到43%至70%。紧随其后的是星形细胞瘤、畸胎瘤和松果体母细胞瘤。有趣的是,许多松果体区肿瘤并非单一类型,而是由多种细胞类型构成的“混合细胞型”肿瘤,其中生殖细胞肿瘤(GCT)、室管膜瘤和松果体细胞瘤尤为典型。此外,这些肿瘤有一个非常“讨厌”的特点,就是它们容易通过脑脊液进行“脱落转移”,这使得治疗和控制更加棘手。

儿童和成人松果体区肿瘤的差异
松果体区肿瘤在儿童和成人之间的发病率和类型分布存在显著差异。在儿童中,松果体区肿瘤较为常见,约占儿童脑肿瘤的3%至8%,而在成人中,这一比例要低得多。一项对36名年龄小于18岁的患儿进行的研究发现了多达17种不同的组织学类型的肿瘤,其中生殖细胞瘤仍然是最常见的,占据主导地位。在这些患儿中,共发现了11例生殖细胞瘤,7例星形细胞瘤,其余的18例属于其他15种不同类型的罕见肿瘤。这说明,尽管松果体区肿瘤类型多样,但某些特定类型在儿童中的发病率更高。
成人松果体区肿瘤的特征
相比之下,松果体区肿瘤在成人中的分布和类型有明显不同。松果体细胞瘤在年轻人和儿童中更为常见,而40岁以后,松果体区的肿瘤则更有可能是脑膜瘤或神经胶质瘤。这意味着,随着年龄的增长,松果体区肿瘤的性质和发病机制会有所改变。年长患者中,肿瘤往往更倾向于来源于大脑膜或胶质细胞,而非松果体细胞本身。
临床表现
在临床表现方面,松果体肿瘤通常是在非常规体检中发现的,患者往往在出现症状时,肿瘤已经相对较大,甚至已经导致脑积水。脑积水常引发一系列典型症状,比如头痛、呕吐、嗜睡、记忆力减退。对于婴儿,还可能出现头围异常增大,甚至癫痫发作等症状。
另外,如果鞍上生殖细胞瘤(GCT)的患者可能出现尿崩症、视力受损,以及垂体功能减退的“三联征”,即这三个症状常同时出现,进一步加剧了病情的复杂性。
脑脊液种植引起的脱落转移灶能够引起神经根病变和(或)脊髓病变。

松果体肿瘤不同类型、不同治疗和预后
1、松果体细胞瘤(WHO1级)
松果体实质的一种罕见的、高度分化的WHOI级肿瘤,由统一的花环状的松果体细胞瘤细胞和(或)具有神经节分化的多形性细胞构成。通常会影响成年人(诊断时的平均年龄:43岁)。约占所有松果体实质肿瘤的20%。仅在松果体中发现。不会发生播散或浸润。5年生存率是86%~91%
2、松果体中分化实体瘤(WHO2或3级)
一种具有不同程度的临床和生物学行为的松果体肿瘤,恶性程度介于松果体细胞瘤和松果体母细胞瘤之间,由单一形态的圆形细胞组成,看起来比松果体母细胞瘤分化程度更高,排列成片状或小叶状。生物学行为的范围从WHOII级到IV级,但是尚未确定合格的组织学标准。
诊断时的平均年龄为41岁。低级别的病变表现出频繁的局部复发和延迟复发,较高级别的病变可能会产生颅脑脊髓转移。Ki-67指数也是多变的。5年生存率是39%~74%
3、松果体母细胞瘤(WHO4级):
一种恶性(WHOIV级)低分化胚胎性松果体肿瘤。小而不成熟的神经上皮细胞排列成片状,这些细胞具有高核质比,细胞核浓染,缺乏细胞质。Ki-67指数高(>20%)。约占松果体肿瘤的35%。
诊断时病人的平均年龄(17.8岁)比恶性程度低的肿瘤病人的平均年龄小。临床过程具有侵袭性。脑脊液转移常见。报道的中位生存期(最近的研究为4.1~8.7年)和5年生存期(10%~81%)差异很大。
不良的预后因素包括:
•诊断时存在播散【通过脑脊液细胞学检查和(或)脊髓MRI证实】。
•病人年龄小。
•手术部分切除。
X射线放射治疗(XRT)似乎是一种有用的手术辅助疗法。
4、松果体区乳头状肿瘤(WHO1或2级)
一种位于松果体区的神经上皮性肿瘤,具有上皮样细胞组成的乳头状和实性区域,对细胞角蛋白(特别是CK18)具有免疫反应性。影响儿童和成人(诊断时的平均年龄:35岁)。生物学行为的范围从WHOI级到2级到3级,复发常见,但脊髓转移罕见。5年和10年生存率均为73%。
5、松果体区脑膜瘤
松果体区脑膜瘤是一种少见的颅内肿瘤,分级和预后与其他部位的脑膜瘤类似,但由于松果体区的特殊解剖位置,手术难度较大,可能影响预后。
总的来说,松果体区脑膜瘤的预后因分级和手术效果不同而变化。对于良性I级脑膜瘤,若能完全切除,患者的长期生存率较高,复发率较低。而II级和III级脑膜瘤,由于生长速度快、恶性程度高,复发相对较高,需更为积极的术后治疗。
松果体区肿瘤的手术治疗
适应证:
目前认为大多数肿瘤(除生殖细胞瘤最好用放疗外)都可行开颅手术切除。另一些则认为,只有下列约占25%的肿瘤适宜手术切除;
1.对放疗不敏感(如恶性非生殖细胞瘤型GCT):占松果体区肿瘤的35%~50%(在非局限于儿童病人的病例研究中,该比例更高)。
2.良性肿瘤(如脑膜瘤、畸胎瘤等)。
3.包膜完整。
4.注意:恶性GCT应不含转移征象(手术切除原发肿瘤对伴转移灶的病人无益)。
5.松果体细胞瘤:建议手术切除+残余肿瘤立体定向放射外科(SRS)。可选方案
1)直接手术:获取大量组织进行活检。良性病变可治愈。对无并发症的恶性肿瘤和生殖细胞瘤并非是最佳治疗方法。
2)活检后行辅助治疗:恶性肿瘤和生殖细胞肿瘤的治疗方法。
手术入路:术前MRI检查有助于选择,入路包括
做神经影像(MRI或CT)的连续定期随访,建议治疗后6个月、1年、2年及逐年或隔年随诊。保留有用听力的患者在复查影像的同时,应做测听试验(PTA和SDS)。
1.最常用的入路:由Stein改良的Horsley和Krause的中线幕下一小脑上入路。如果小脑幕的角度太陡(最好在MRI上评估),则不能使用。手术可以采用坐姿【有发生空气栓塞的危险或Concorde姿势】。
2.枕部经小脑幕入路:视野开阔。可能损伤视皮质和胼胝体压部。建议用于位于小脑幕缘中央或上方以及位于Galen静脉上方的病变,还可以用于罕见的伴幕上延伸的囊肿。向外侧牵拉枕叶,在直窦外侧1cm处切开小脑幕。
3.经脑室入路:适用于大型、偏心性并伴有脑室扩张的病变。通常采用经颞上回后部的皮质切又。手术风险:视力损伤、癫痫发作,如果位于优势半球,还可能出现言语障碍。
4.幕下旁正中入路。
5.经胼胝体入路:除延伸至胼胝体或第三脑室的肿瘤外,已基本弃用。
6.旁正中幕下小脑上入路:可用于未延伸至幕上和对侧的囊肿;避开了中间的静脉结构。
手术需考虑的重要因素松果体的底部是第三脑室的后壁。上方为胖胝体压部,两侧为丘脑。松果体向后下方突向四叠体池。大脑深部的静脉是此区域手术的主要障碍。松果体区静脉引流必须保护好。
松果体肿瘤手术难度分析
“地处深山老林“的松果体位于大脑深处,周围有着关键的神经结构和血管,就好比你得在一片迷宫般的森林里找到那个“苹果”,但这个苹果树周围全是电线杆子、稀有动物和密密麻麻的小溪小河。手术的时候,既要准确地找到目标,还不能在周围的丛林里“误踩地雷”,具体的分析如下:
1、松果体与第三脑室
·松果体位于第三脑室的后壁,因此手术需要特别注意第三脑室的完整性和功能。如果不小心损伤该区域,可能会导致脑脊液循环障碍,进而引发脑积水。第三脑室与脑脊液的流通密切相关,因此在手术过程中需要预防并发症,如急性或慢性脑积水。
·松果体紧挨着第三脑室,脑脊液通过这里流动。如果操作不慎,这里可能就像个破裂的水坝,脑脊液到处乱窜——脑积水立马找上门,给病人带来不必要的麻烦。手术时得特别小心,不能让“水坝”受影响。
2、松果体上方为胼胝体“通讯卫星”
·胼胝体是连接左右大脑半球的重要结构,胼胝体压部位于松果体的上方。胼胝体的损伤可能导致两侧大脑半球之间的信息传递受阻,从而影响认知、语言和运动功能。因此,手术过程中需避开胼胝体压部,减少对其的影响。
·松果体上方是胼胝体,这个家伙就像大脑两边半球之间的“通讯卫星”。一旦弄坏了,左右脑就会产生“信号不良”!所以医生们在这里都小心翼翼,生怕打断“卫星信号”。
3、松果体两侧为“岗哨”丘脑
·丘脑是脑内的重要感觉中继站,涉及许多感觉功能的传递。手术中丘脑的损伤可能会导致感觉异常、运动障碍甚至意识障碍。因此,必须避免直接接触和损伤该区域,以减少术后神经功能障碍的风险。
·松果体两侧有两个“严守边境”的丘脑岗哨,它们专门负责把感官信息传递给大脑。手术时要是打扰了这些岗哨,感官系统就会“宕机”,病人可能会出现触觉、听觉、视觉问题——相当于给岗哨发错了命令,真是让人头疼。
4、松果体向后下方突向四叠体池
·四叠体池(四叠体区)包括上丘和下丘,它们是视觉和听觉通路的关键节点。手术时如果不慎损伤四叠体池,可能导致视觉、听觉功能障碍。因此,手术需谨慎操作,避免损伤这些结构。
·松果体后面向下突出的地方叫四叠体池,它里面有视觉和听觉的重要节点。如果这块地盘被动了,病人的“眼睛”和“耳朵”可能会“罢工”。就像在音乐会里,突然灯光全灭,音响也坏了——场面尴尬至极。所以这部分,得“轻手轻脚”。
5、大脑深部静脉的复杂性
·松果体区周围的大脑深部静脉,如内大脑静脉、基底静脉和大脑大静脉,构成了手术的主要障碍之一。内大脑静脉和基底静脉汇合形成的大脑大静脉(Galen静脉)是脑内极其重要的血管结构之一,这些静脉是脑内主要的静脉引流系统,负责大脑大量区域的血液回流。手术时如果损伤这些静脉,可能引发严重的术中出血、脑缺血、脑水肿等并发症,甚至威胁生命。因此,保护这些深部静脉的完整性是手术成功与否的关键。
·深藏在大脑里的静脉血管,简直就像在高速公路上修路——四周都是车流,稍微挖错了,可能就导致大堵车,甚至车祸。那些负责大脑血液回流的静脉简直是手术中的“红线”,不能碰!尤其是大脑大静脉,这可是一条主干道,要是损伤了它,手术难度一下子飙升,如处理不好,可遗留严重的后遗症。
INC国际手术大咖
德国Helmut Bertalanffy(巴特朗菲)教授

世界神经外科联合会(WFNS)教育与技术委员会前主席
世界神经外科联合会(WFNS)提名委员会前主席
欧洲神经外科杂志《Neurosurgical Review》主编(2004-2016)
世界神经外科学院创始会员
美国神经外科学院通讯会员
美国神经外科医师协会(AANS)国际咨询委员会成员
德国汉诺威国际神经外科研究所血管神经外科主任
INC国际神经外科医生集团旗下世界神经外科顾问团(WANG)成员
INC巴教授经典案例
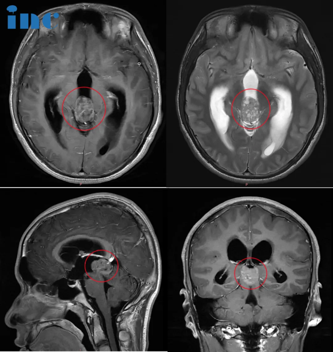
CASE 1:36岁女性-松果体区肿瘤

病史摘要:晴晴在2021年11月因鼻炎进行颅脑CT检查,显示松果体占位性病变,当时大小为16*15*12mm,无特别神经功能障碍,随后进行颅脑核磁MRI,医生建议先观察3个月。观察结束后进行复查,建议手术治疗并告知相关风险。考虑到手术风险,晴晴选择继续保守治疗。2022年9月再次复查,肿瘤伴幕上脑积水。除了偶有眩晕、脑涨,其他症状并不明显,晴晴还是选择了保守。2023年3月再次复查时,肿瘤竟然长大了18*18*15mm,并出现幕上脑积水。临床症状不变化,医生建议再持续观察3-6月,但最终需要手术治疗。
手术过程:2023年6月,首都医科大学附属北京天坛医院正式引进INC德国巴特朗菲教授作为其神经外科外籍专家,在天坛医院手术团队的配合下,巴教授成功主刀完成这台疑难脑肿瘤示范教学手术,手术全切肿瘤。
术后情况:术后即清醒,无新发神经损伤。术后1周后,术后病理结果为WHO2-3级中分化松果体实质肿瘤,根据巴教授建议患者及时进行放化疗,巴教授及时全切手术为后续放化疗争取到了更好的结果。
CASE 2:16岁男孩-松果体肿瘤

病史摘要:16岁的霖霖有着6年病史,处在人生的关键阶段却罹患松果体病变性占位,父母不敢掉以轻心,然而就医的结果却还是建议保守治疗,且手术风险大。为了孩子余下的人生,他们选择了INC巴特朗菲教授中国疑难脑瘤示范手术。
手术过程:2023年11月2日,巴教授中国疑难示范手术期间,在首都医科大学附属北京天坛医院手术团队的配合下,巴教授成功主刀完成霖霖的疑难脑肿瘤示范教学手术,手术顺利全切肿瘤。
术后情况:术后第一天霖霖已经转入普通病房,整体状态良好。术后两周,霖霖顺利出院。巴教授在视频随访中,也给出了积极的评估及建议表示霖霖最终病理如果确定为生殖细胞瘤的话,全切后进行辅助治疗预后非常好,特别是对于年轻人来说。后期放化疗结合的话,几年内都不会发生复发。而霖霖术后的生活也不需要太大的限制,在术后一个月以后就能逐步回归正常生活。
CASE 3:6岁男孩-松果体肿瘤

病史摘要:6岁的鑫鑫,2021年由于意外摔破头皮就诊,CT检查后居然发现松果体区阴影和部分钙化灶,进一步进行MRI见检查后,发现22*14*17mm病灶。鑫鑫父母回想此前孩子确实有身高发育缓慢,腿部量不足以及偶尔走路不稳易绊倒等情况。检查出病灶后鑫鑫进行定期复查,鑫鑫激素检查水平正常,期间病灶有变化。2023年7月最新MRI结果提示病灶大小:25*19*15mm。国内医生建议尽量手术切除,由于两年期间形态变化不大,也可以继续保守治疗。但是患儿的状态并不太好,睡眠不稳、逻辑理解能力较差、记忆力也出现问题以及系列心理上的问题……孩子还小,成长的道路还很长,鑫鑫父母希望能给孩子找到更好的治疗,早日解决孩子的这些问题。
手术过程:北京时间10月31日,巴教授中国疑难示范手术期间,在首都医科大学附属北京天坛医院巴教授顺利为鑫鑫成功全切手术,术后功能无影像。ICU外,巴教授为当天接受示范手术的鑫鑫父母分享孩子的最新状态。教授开心地说道:“Leg lay is okay,and everything is good.(腿没有问题,孩子状况很好)。”天坛医院的神经外科医生也非常激动,为鑫鑫点赞:小伙子非常棒。
术后情况:手术后第1天转入普通病房,鑫鑫能吃饭、能说话、身上也不疼痛、四肢活动正常。术后第2天查房,鑫鑫用英语说出自己最喜欢的玩具坦克:“Tank!”,身边的爸爸妈妈都笑开了花。术后病理显示松果体细胞瘤,如今鑫鑫已经回归校园,恢复正常的生活。
CASE 4:40岁女士-松果体肿瘤

术前(红色):在松果体区域显示出对比度增强的团块,并向下延伸到第四脑室。脑干出现水肿。
术后(蓝色):松果体肿瘤被完整切除,无严重神经功能损伤(术后影像为术中磁共振检查时的瘤腔填充物)
病史摘要:40多岁秦女士,头晕、双眼复视,被发现有“松果体及四脑室占位”,4年间辗转治疗,症状仍无缓解,出现肢体无力等。经历了数次伽马刀及立体定向放射外科治疗,症状反而加重,又出现了走路不稳、视力下降、脑积水等其他更多症状。行“松果体区肿瘤切除术”,但只有小部分肿瘤得到切除,术后症状未见明显好转,并逐渐恶化加重。
手术入路:使用小脑幕上、幕下联合入路来到达肿瘤区域实现全切除
术后情况:术后第2天即拔除气管,自主呼吸正常,身体体征正常,迁出ICU,复视好转。术后5天在专业陪同下床康复锻炼,头晕明显改善,肌力好转。术后18天顺利出院,无新发神经功能缺损。
CASE 5:8岁男孩-松果体肿瘤

病史摘要:8岁男童出现头痛、眼球运动障碍等症状,经磁共振检查结果为“松果体区占位合并幕上梗阻性脑积水”。脑脊液分流加辅助放化疗半年后,早期症状并无好转。巴教授最终顺利全切。
手术过程:术中,患者俯卧位,后正中头皮切口,经幕上、幕下联合入路,最终肿瘤得以全切除,且尽力减少了组织的损伤,对预防后期肿瘤的复发起到了极大作用。
术后情况:术后第一天患者清醒,术后ICU观察两天,术后一般情况好,无明显并发症,顺利出院。患儿的各种症状全都消失,恢复了正常机体功能,近期复查时肿瘤也并无增长。
图片
目前INC德国巴教授2024年秋季中国行正在进行中,来华行程紧凑,巴教授已完成多台疑难示范手术。愿每一份期盼终将实现,期待巴教授本次来华可以帮助更多患者,同时推进高水平的国际神外交流。
图片
注:以上案例供学术交流,不作为个别患者的医学诊疗意见。
- 文章标题:超过17种肿瘤可发生在松果体区?治疗难度为何那么大?
- 更新时间:2024-12-04 10:19:58
400-029-0925




