王女士(化名),女,在近两年经常出现耳鸣,在体检、核磁检查发现了一个听神经瘤,并且已经2厘米了。但由于目前症状主要是耳鸣,并无其他更多不适,王女士便想了解听神经瘤会终身长大吗?会不会停止生长,然后不治疗。
听神经瘤会终身长大吗?对此,INC神经外科医生集团旗下国际神经外科顾问团的国际专家普遍表示,听神经瘤大多数是良性肿瘤,生长在从内耳到大脑的平衡神经上,它是内耳常见的肿瘤。不管是良性肿瘤也好,恶性肿瘤也好,都是会生长的,只是良性肿瘤生长速度较慢一些。听神经瘤有时候生长虽然缓慢,甚至不生长,但是总体来说,基本都是会终身长大的,长到4cm以上时,患者死亡的概率较大。

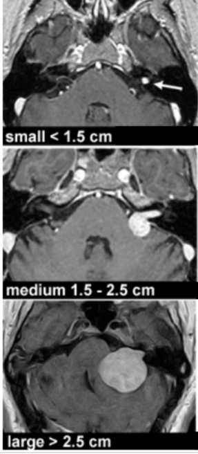
耳朵是我们听力和平衡的器官。它由三部分组成:外耳、中耳和内耳。中耳和内耳位于颅骨的颞骨深处。前庭耳蜗神经(八脑神经)负责将内耳的听觉和平衡信号传递到大脑。而随着听神经瘤的生长,它会从内部的听觉管扩展到脑干和被称为小脑桥角的骨头之间的空间。梨状瘤可继续扩大,压迫负责面部感觉的三叉神经。较终,肿瘤会压迫脑干。听神经瘤按其大小分为小(小于1.5厘米)、中等(1.5至2.5厘米)或大(大于2.5厘米)(下图)。

随着肿瘤的逐步生长,当听神经瘤压迫神经、血管和大脑中影响听力和平衡的部分时,就会引起症状,听神经瘤的一些症状是长期性的。从而逐步引起面部麻木感、吞咽困难,甚至由于梗阻性脑积水引起严重头痛、意识障碍。对于并发神经纤维瘤病的病人来说是一种多器官、多系统、多病变的表现,颅内是双侧听神经鞘瘤发病为主,这种病人更影响病人的双侧听力,可能会对正常生活和工作造成严重影响。对于听神经瘤的病人来说,一旦发现该病变要尽早处理,以免疾病逐渐增大,增加处理难度。
听神经瘤不会像感冒,拖着拖着自己就好了,采取治疗才是康复的途径。对于听神经瘤的治疗,主要有观察、手术、放射三种方法。其中手术切除是听神经瘤的常见治疗方法,是大型听神经瘤。手术的重点是:一,维持面神经功能;二,保留有用的听力;三,完全切除肿瘤。虽然完全切除肿瘤可能会治愈,但它也有更高的风险,比如听力丧失和面神经损害。在肿瘤切除过程中,用探针刺激和监测神经和脑干功能。由于听神经瘤生长缓慢,肿瘤包膜的小残留物可能会附着在临界神经上。部分或接近完全切除是为了减少面神经损伤的机会。如果肿瘤残留生长,可以使用放射外科。
INC国际神经外科医生集团旗下国际神经外科顾问团成员巴特朗菲教授,根据自己多年听神经瘤的手术经验表示,有几种手术方法来打开颅骨(开颅)和切除肿瘤。具体手术方法的选择取决于肿瘤的大小、肿瘤的位置和听力状况。
· 枕下(乙状窦后):在枕骨的耳后进行开颅手术。切除内耳道上的骨以暴露和切除肿瘤。这种方法可用于全部肿瘤大小,但特别是大的肿瘤,同时保持面神经功能和有用的听力,如果可能的话。
· 经迷路:开颅手术是通过乳突骨中的耳朵进行的。将半规管移除,以暴露内听道内的肿瘤。因为耳道被移除,受影响的耳朵会完全丧失听力。这种方法可用于已丧失听力或无法保留听力的患者。
· 中窝:在颞骨的耳朵上方进行开颅手术。切除内耳道上的骨以暴露和切除肿瘤。这种方法可用于小肿瘤和保留听力是更佳的。
“手术的结果取决于肿瘤的大小,脑神经监测的使用,以及手术团队的经验及技能。”巴特朗菲教授说,“医学文献报道各不相同,但总的来说,95%以上的患者保留了面部功能,高达70%的患者保留了有用的听力。”
- 文章标题:听神经瘤会终身长大吗?长到4cm以上可造成患者死亡
- 更新时间:2019-12-23 16:33:00
400-029-0925


