在生活中,许多患者可能都出现过耳鸣、眩晕的症状,平常大家也不在意。但神经科医生指出,经常耳鸣、眩晕可能是听神经瘤造成的,特别是患者听力一直减弱的情况下,听神经瘤可能性大,需要引起患者注意。
听神经瘤是一种良性(非癌性)脑肿瘤,从内耳传到脑干时生长在前庭神经上。它是较常见的良性脑瘤之一,一个症状通常是听力丧失。

耳蜗前庭神经(也称为八脑神经)是由连接内耳和大脑的三根神经组成的。耳蜗神经是听觉信息的一个分支。另外两个分支--下前庭神经和上前庭神经--将平衡信息传递给大脑。
耳蜗前庭神经被一层叫做雪旺细胞的不同细胞包裹着。听神经瘤--也称为前庭神经鞘瘤--便是生长在前庭雪旺细胞的肿瘤。如果听神经瘤没有得到诊断或治疗,它可能会长得足够大,压迫脑干的重要结构,造成严重的危及生命的问题。
听神经瘤的主要症状是听力丧失和耳鸣。它们是由肿瘤压迫听觉神经引起的。虽然肿瘤实际上生长在平衡神经上,但不平衡通常是轻微的或不存在的。因为我们有两个平衡系统,没有长长肿瘤的一边可以弥补肿瘤造成的缓慢进展性损失。
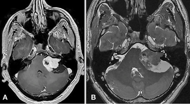
听神经瘤一年长多少mm?可能一年长到2cm大。患了听神经瘤的患者一般都会关注听神经瘤是恶性还是良性,一年长多少mm。INC国际神经外科医生集团旗下组织国际神经外科成员、国际神经外科联合会(WFNS)教育委员会主席、德国INI国际神经科学研究所神经外科教授(中文名:巴特朗菲)对此表示,大多数听神经瘤都是良性肿瘤,生长缓慢,需要数年才能长到足以引起症状的程度,平均生长率为2mm/年。但少数听神经瘤确实以更快的速度生长,现实中,也有患者一年肿瘤就长到2厘米大小的案例。

目前对于听神经瘤的治疗,手术切除是标准的治疗方法;然而,治疗后并发症的耐受性降低,导致接受观察或立体定向放射外科手术的患者比例增加。
“听神经瘤生长缓慢,早期很小时,不必急于治疗,可以定期随访观察”巴特朗菲教授说。但在这种情况下,需控制病人的焦虑。一般建议对肿瘤正在生长或有可治疗症状的患者进行治疗,特别是年轻患者。无论治疗涉及立体定向放射外科或手术切除听神经瘤,结果通常是好的。
手术切除--如果肿瘤很大或越来越大,可以在全身麻醉的情况下通过颅骨上的切口切除肿瘤。
立体定向放射+外科手术,小肿瘤或手术后留下的任何较大肿瘤的残余,可以用精确的放射束来治疗,以防止它们变得更大。
全部这些选择都有风险。例如,外科手术和放射外科手术有时会导致面部麻木或部分面部无法活动(瘫痪)。
巴特朗菲教授说:“如果由经验丰富的团队治疗,无论采用何种治疗方式,大多数中小肿瘤患者都能获得较高的肿瘤控制率和良好的面神经预后。”
据悉,在巴特朗菲教授所在的德国INI国际神经学研究所在在神经外科界享誉国际,擅长对各种神外疾病的手术治疗,是听神经瘤、颅底及脑干疾病方面。点击查看德国INI听神经瘤手术及术后的面神经、听神经保留率等相关数据
- 文章标题:听神经瘤一年长多少mm?可能一年长到2cm大
- 更新时间:2019-12-23 16:57:09
400-029-0925




