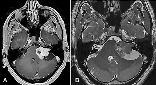
年近花甲的李先生,近年来听力越来越差,以为是年龄大了出现的正常现象,较近常常还出现耳鸣、头晕、头痛等症状,才引起了李先生的重视,于是李先生在医院进行ct检查,才找到了真实的病因。在ct检查的片子上,已经明显可以看到李先生的脑内已经有一个肿块,经过医生确诊,这个肿块是一个听神经瘤,并且已经长到了快三厘米大小,而李先生出现的耳鸣耳背、头痛头晕都是这个“瘤”引起的,需要及时采取治疗。

听神经瘤生长缓慢,也需及时治疗
国际颅底肿瘤手术教授巴特朗菲教授指出,听神经瘤,也被称为前庭神经鞘瘤或神经鞘瘤,是一种位于八脑神经—前庭耳蜗神经的非癌性(良性)肿瘤。这条神经从脑干通往耳朵,并参与听力和保持平衡。这种肿瘤更精确的术语是“前庭神经鞘瘤”,因为它涉及神经的前庭部分,而不是听觉(耳蜗)部分,它起源于雪旺细胞而不是神经元。听神经瘤通常是单发肿瘤,生长缓慢多年,在原发部位体积扩大。

另外巴特朗菲教授指出,虽然听神经瘤在医学上定性为良性,但对人体也有着影响,需要及时治疗。听神经瘤的早期症状包括逐渐丧失听力和耳鸣,随着肿瘤的生长,平衡问题经常会出现。压迫邻近脑干的较大肿瘤可能影响其他局部颅神经,导致面部无力、麻木和刺痛,受累侧的面部和口腔感觉受损,随着继续不断增大,严重压迫脑干还可能造成患者生命危险。
听神经瘤的治疗:手术历史悠久,仍为一线疗法
听神经瘤的历史认识已经有两百多年,但长期以来,其治疗一直很单一,基本只有手术切除这一种,但随着听神经瘤咨询技术不断提高,治疗策略也变得多了起来,逐渐引入了化学治疗、放射疗法等,治疗的方案也更倾向于个体化。治疗策略选择取决于肿瘤分期、位置、生长速度、是否囊性变、患侧及对侧听力水平、患者年龄、全身状况和期望值等。另外手术切除需要遵循一些原则,对于1~2期(<15mm)听神经瘤,一般以随访观察为主,患者只要定期检查,查看肿瘤的生长情况即可。但对于年轻患者,如听力评估B级以上(含B级)且内听道底未受累及,应早期手术。同时,如患者听力评估为C级以下(含C级),也应该及时手术治疗。
听神经瘤手术治疗有一个悠久的历史,1895年至今,手术都是听神经瘤的主要治疗方法,从早期的手指剥离肿瘤、纱布填塞止血,到现代在双筒显微镜、高速电钻、冲洗吸引系统抗生素和输血技术、麻醉监护技术支持下的显微手术,改变了以往仅仅挽救生命(手术死亡率70%)的手术目标,代之以低死亡率(0。8%~5%)、低并发症率神经功能保留和提高生活质量等更高要求。虽然听神经瘤手术历史悠久,但对于一般的医生,想要在保留听力的情况下将其切除,难度仍然很大。
所以听神经瘤手术对于医生的技术要求也高,像常规的手术切除是将肿瘤、听神经和面神经一起切除,这样虽然肿瘤没有了,但患者也会失去听力,而且也会让患者终生面瘫。所以想要在保留功能的情况下切除听神经瘤,选择一个经验丰富、技术高超的手术医生是必不可少的必要条件。
巴特朗菲教授:听神经瘤手术教授
目前国际上,对于擅长听神经瘤手术的,国际颅底肿瘤手术教授巴特朗菲教授便是其中之一。巴特朗菲教授专注于神经外科,已经具有几十年的经验,每年都进行400台以上的高难度手术,练就了一手神乎其技的手术技术。面对听神经瘤的治疗,只要患者之前没有听力损失,或者肿瘤在3-4厘米以内,巴特朗菲教授都有信心成功手术,并尽可能地保留功能。术后,37%的患者表现出短暂的(轻微)神经功能缺损,其余超过90%的患者,神经功能与术前持平或好转。
作为INC国际神经外科医生集团旗下组织国际神经外科顾问团(WANG)中的一员,巴特朗菲教授除了在德国INI接待中国患者,巴特朗菲教授也经常到中国来,曾经在中国的一些医院,如天坛、瑞金、华西医院为患者做过手术,手术全程直播让医院医生学习。在2021年2月底,巴特朗菲教授将再次来华,与国内神经外科专家在INC学术交流完毕后,还将在国内为神经外科肿瘤患者亲自手术,因为时间有限,名额仅仅只有5名,而现在已经被咨询了3名脑肿瘤患者了,所以报名需要抓紧时间了。
招募详情:脑胶质瘤、室管膜瘤、脑膜瘤、垂体瘤、视神经胶质瘤、丘脑肿瘤、脑海绵状血管瘤、脊髓肿瘤、脊索瘤、松果体区肿瘤等脑肿瘤患者
手术时间:2021年2月底
报名方式:可以通过搜索INC国际神经外科医生集团进入其官网报名咨询,也可以关注微信公众号INC国际神经科学,进行报名咨询。
- 文章标题:【听神经瘤】听力一降再降,原来是脑内长了一个“瘤”作怪
- 更新时间:2021-01-25 17:13:56
400-029-0925




