随着显微外科手术和更好的诊断程序的出现,在国外,顺利的听神经瘤全切除已成为常态。几乎全部的肿瘤都可以完全切除,并发症很少。面神经功能,部分病例可保留耳蜗神经功能。然而,即使是经验较丰富的外科医生进行手术,有时也不可能完全切除。复发的小肿瘤通常通过手术或立体定向放射外科治疗,效果好。一系列的中小型残留和复发听神经瘤已被报道。大型或者较大型的脑干残留和复发听神经瘤压迫脑干是少见的,因为大多数接受次全切除的患者的密切随访,以检测残留肿瘤的进一步生长。这些大型肿瘤病变的治疗是复杂和困难的。听神经瘤手术是一个对手术操作手法及理念要求较高的手术。在国外听神经瘤是如何保障顺利全切的?

国外听神经瘤手术如何防止面瘫和听力损失?
听神经瘤的手术从20世纪早期就开始了。早期治疗中针对防止面瘫和听力损失这一问题,神经外科先驱者取得的初步成功少。在过去的几十年里,国外已经成功地治疗了这些肿瘤,同时保留了病人的正常神经功能,且不受损。
听神经瘤患者较关心的两件事是保护面神经功能和听力。面神经从脑干出来,在解剖学上位于前庭耳蜗神经附近。面部神经功能的保存是重要的,因为它的美容意义。面部两侧的正常运动是由面神经控制的。任何干扰都会导致一侧面部正常肌肉张力和运动的丧失,带来面瘫。保持神经的解剖学连续性意味着神经是完整的,没有被手术损害。即使有完整的神经,神经的功能也可能不完整。因此在全切肿瘤的情况下,不仅要保留神经,更要保护其不受损。
近年来,在通过手术提高听力保护效果方面取得了进展。和面神经的结果一样,肿瘤的大小也是一个影响因素。同样重要的是病人术前听力的好坏。小的听神经瘤仍有听力甚至术后听力好转的可能。
如何手术不面瘫?
关键是需要在听神经瘤包膜内切除肿瘤,完整剥离肿瘤包膜。术中对于面神经供血血管的保护重要,特别是内听动脉的保护,如果因为内听动脉损伤或出血而被电凝后截断,那面瘫几乎成为定局。所以,前沿的方法就是保护任何有可能是被压成菲薄的面神经组织,即尽可能地保护肿瘤包膜外的组织结构,等肿瘤切除完后,面神经的结构自然会显露出来。为此,国外多采用听神经瘤瘤”膜内切除术“,这是一个手术理念指导下的手术技巧。该理念由德国INI的Samii教授提出,至今已有40余年的历史,Samii教授和德国巴特朗菲(Helmut Bertalanffy)教授都是这一理念的高超践行者。
前沿的术中神经电生理监测设备保障
使用术中神经电生理监测可以很好避免过多的骚扰面神经,同时可以通过刺激电较,提前预警发现面神经所在位置及区域。这样可以特别注意该区域,更合适避免过多的骚扰可能的面神经组织。在一些国际上有名的听神经瘤治疗中心,都会使用到术中神经电生理监测。
术中神经电生理检测设备,其在手术期间可以监测的神经包括面神经、听神经、吞咽神经、声音神经、下颌肌肉神经、舌神经或其他神经等。此外,通常通过跟随上肢和下肢的诱发电位来监测脑干。
国外听神经瘤手术入路和手术体位的选择
听神经瘤位置不同,手术方法也不同。听神经瘤目前有经迷路入路、乙状窦后入路、中窝入路三种方法。手术入路的适应症取决于肿瘤的大小、位置、术前听力的质量以及对听力保护。细致的显微手术技术从邻近的面部和耳蜗神经解剖肿瘤,术中颅神经监测等电生理辅助,以及小心关颅以防止脑脊液渗漏这些技术及手术方法是关键的方面。而在像德国INI这样的国外神经外科医院对于听神经瘤手术采取的手术入路都是枕下乙状窦后入路。这是目前比较科学合适和成熟前沿的手术方式,可避免造成不必要的对正常组织结构的损伤,可沿着正常的生理间隙轻松找到听神经瘤,并进行切除,同时还可很好地保护颅神经。此外,半坐位是有利的手术体位,这样利于术中淤血由于重力作用自动留下,不会淤积,手术视野清晰,手术效率高,手术效果好。但该手术体位对于麻醉医师的能力要求高,需要有高超的神经外科麻醉师做麻醉。
较大残留和复发性听神经瘤案例一则
病史摘要:25岁女性王女士早年于国内一家医院接受了两次手术,切除左侧大型听神经瘤。采用乙状窦后入路,仅行次全切除。二次手术后,病人出现面瘫、吞咽障碍、共济失调、脑膜炎和脑积水。脑室外引流治疗脑膜炎和脑积水后,行分流术。
由于国内对于这种情况已无更好的办法去解决,王女士留学国外的儿子便为她寻求出国看病的机会。偶然在新华社的报道上看到一则新闻《国际医生集团推进中外神经外科交流,国内复杂脑瘤患者多了新选择》。了解到德国巴特朗菲教授擅长此道,便寻求了INC的帮助。

在INC的协调下,王女士两周后前往巴特朗菲教授所在的德国INI进行手术。
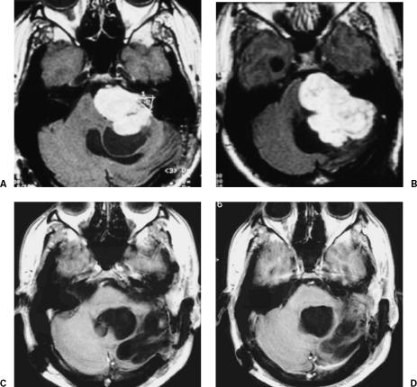
术前情况:入院时,患者表现为左侧耳聋,面神经完全麻痹,九和十脑神经麻痹,左侧乳突后区膨出。MRI显示较大的囊性残留或复发性听神经瘤(图1中A、B)。
术后情况:经乙状窦后经鼻道入路将肿瘤完全切除,患者未出现其他缺损。肿瘤切除后2周行舌下/面部吻合术。术后2天出ICU,术后两周出院。手术6个月后,他能够重返工作岗位。术后9年,MRI显示病灶未复发(图1中C、D)。

图1:(A,B)术前钆磁共振成像显示左侧较大的囊性残留或复发性听神经瘤压迫脑干及前区。(C,D)全切除9年后MRI加钆。
巴特朗菲教授具有丰富的听神经瘤成功手术经验,虽然这个患者已经经历两次手术,三次手术将更加困难。但是巴特朗菲教授在显微外科手术三维可视化和准确化下,结合神经导航、神经电生理检测、DTI、术中核磁等多种前沿设备成功手术。除此之外,巴特朗菲表示:只要患者之前没有听力损失,对3cm以下的听神经瘤,巴特朗菲教授不仅能做到完整切除,且不损伤听力,不造成面瘫,对于具有较大挑战性的3cm以上听神经瘤,他在完整切除的同时且尽可能地使听力保留,大概率以上的概率不会面瘫。
巴特朗菲教授是INC国际神经外科医生集团旗下组织国际神经外科顾问团(WANG)成员。INC国际神经外科医生集团作为专注于神经外科领域的专家学术交流的医生集团,除了持续致力于促进和加强中外神经外科技术和学术的交流与合作,还将为国内有需要的脑肿瘤(包括听神经瘤、脑膜瘤、垂体瘤、胶质瘤、脑海绵状血管瘤等)提供必要的出国治疗协调服务。
INC国际神经外科医生集团提醒:听神经瘤的一开始手术至关重要,不仅是为了保护患者不面瘫,同时保留听力。更是节约治疗成本的策略。两次手术给患者带来的伤害无法估量,于其三次手术才能达到顺利全切,不如一次性解决问题。因此想要一次手术便能得到顺利切除,较大水平降低并发症的前提是选择一个手术经验丰富且技术高超的神经外科手术团队以及具备一系列前沿术中监测设备的医院。
阅读:患者自述 | 不面瘫,听力保留,我终于摆脱了3.3cm听神经瘤!
- 文章标题:出国看病:国外听神经瘤手术如何防止面瘫和听力损失?
- 更新时间:2020-05-29 11:28:00
400-029-0925




