
多年来,我一直被家人取笑我的协调性,我进常被我被看不见的东西绊倒。看着我的孩子打曲棍球,我很难听清楚其他父母在拥挤的冰场上说的话,我的家人发现我在看电视时要看...

两个听神经瘤的故事:夫妻先后被确诊听神经瘤,如何抗击肿瘤?我当时肯定是被吓到了,不知道该怎么办。我们也没有去谷歌搜索到底该怎么办,我听到的都是我要去挂“脑外科”。...

少数情况下还有遗传因素,这种听神经瘤被称为2型神经纤维瘤病(NF2)。由于听神经瘤患者面神经功能通常是正常的,所以类似面部肌肉无力的表症,即使是患有大型听神经瘤,仍可能...

听神经瘤术后面瘫可以避免吗?听神经瘤(更准确地称为“前庭神经鞘瘤”)的治疗决策是基于减少患者症状的愿望,同时保留残余面神经功能并较大限度地减少治疗并发症。四不幸的是,没有可...

听神经和面神经存在于蛛网膜下腔,而耳蜗神经通过蛛网膜与肿瘤分离。面神经和听神经的内听道端和脑干端确认分离后,逐渐分离神经与肿瘤之间的粘连。面神经和听神经的内听道端...

”但不久之后,我坐在神经外科医生的办公室里,被告知在接下来的几周内我将进行脑部手术,我可能失去一半的听力,失去平衡,并可能失去我的微笑。经过许多许多小时的心理咨询...

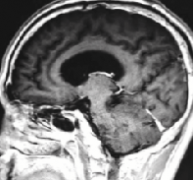
听神经瘤5厘米能手术吗?四种常用的肿瘤分级是Sterkers分类,House分类,Koos分类和Samii分类(见图1),5厘米的听神经瘤属于巨瘤范畴。由听神经瘤引起的症状取决于肿瘤的大小和生长。...

听神经瘤怎么治疗比较好?目前听神经瘤的治疗方法包括定期随访观察、手术切除以及立体定向放射治疗。此外,部分听神经瘤患者术中需要面神经移植,而此入路难以处理。该方法有...

听神经瘤能自愈吗?听神经瘤属于良性肿瘤,如能完全切除,可以获得临床治愈。自从1964年Hotrse教授一次在经迷路人路手术中应用手术显微镜,从此开始了听神经瘤手术治疗的显微外科...

另一方面,到达三叉神经的神经鞘瘤的特征是疼痛和面部麻木。同样,Samii和Matthies报道,大约1%-3%的前庭神经鞘瘤患者出现三叉神经痛症状。目前,医学影像学,特别是核磁共振成像,...