
立体定向放射治疗已成为 听神经瘤治疗 的重要手段之一。较初,它是用来治疗老年人或身体虚弱的病人。然而,最近,它已经成为那些希望避免开放神经外科手术的潜在并发症的患者...

听神经瘤 (AN)又称前庭神经鞘瘤,是一种良性肿瘤,起源于前庭耳蜗神经的耳蜗部分,即八脑神经。听神经瘤少见,大约每10万人中就有1人患有听神经瘤。每年大约有2500个听神经...

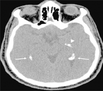
听神经瘤 多数发生于听神经的前庭神经,随着肿瘤生长变大,压迫桥脑外侧面和小脑前缘,充满于小脑桥脑角内。听神经瘤占颅内肿瘤的8.43%。好发于中年人,高峰在30-50岁。病程相对...

右边耳朵越来越听不见了,还时不时头痛、头晕,现在右边脸麻木,右眼视力减退今年35岁的韦先生这样向INC描述自己持续了两年多的身体症状。后去一线城市医院的神经外科就诊,医...

该文节选翻译自Springer出版的《Video Atlas of NEUR SURGERY Contemporary Tumor and Skull Base Surgery》37章节Vestibular Schwannomas,其以图文并茂的形式,生动描述了 听神经瘤 经迷路后入路、乙状窦后入...

听神经瘤 (神经纤维瘤II型)NF II是一种遗传性疾病,通常导致非癌性肿瘤出现在听神经上。由于这些肿瘤,有时被称为神经鞘瘤或听神经瘤,出现在听神经上,它们对听力有很大的影...

自18世纪一次发现听神经瘤以来,显微外科手术已取得进展。从那时起,在麻醉、显微镜的结合、医疗器械和神经监测系统的发展等方面都取得了进步,以帮助肿瘤切除和优化病人...

听神经瘤属于良性肿瘤(非恶性也非癌),通常生长缓慢,平均年增长率为2mm,听神经瘤的发病率每年约为1/10万人,早期诊断常有困难。 听神经瘤常被认为是脑肿瘤,但其实并不位于...

听神经瘤 ,更准确地说是前庭神经鞘瘤,是一种生长在平衡和听力神经上的良性肿瘤。这些神经缠绕在一起形成前庭耳蜗神经,从内耳到大脑。由听神经瘤引起的听力损失通常只发生在...

听神经瘤 通常被称为前庭神经鞘瘤(通常在一段时间内生长缓慢)。它们通常从覆盖前庭神经的雪旺细胞开始。它们是少见的,良性的发展,发生在八脑神经从大脑到内耳。这些都是缓...