滴滴滴神经外科手术室内,正在进行一场艰难的开颅手术。患者是一名16岁的少年,巴教授正在一点一点地切除他脑干中如同豆腐渣般遍布的海绵状血管瘤。 我们之前问过很多医生,都说手术最大的风险是失去行走能力。手术前,少年的父母说出了他们的担忧,而身为主刀医生,巴教授深刻地明白即使医...
“滴—滴—滴—”神经外科手术室内,正在进行一场艰难的开颅手术。患者是一名16岁的少年,巴教授正在一点一点地切除他脑干中如同豆腐渣般遍布的海绵状血管瘤。
“我们之前问过很多医生,都说手术最大的风险是失去行走能力。”手术前,少年的父母说出了他们的担忧,而身为主刀医生,巴教授深刻地明白——即使医生已经很有经验,但手术仍然有风险。可是,从站上手术台的那一刻起,今天的手术就只能成功,没有任何退路、不能退缩。
然而,似乎是为了印证术前的评估,手术开始后,竟接连突发了2次警报,每一次警报,都像是电生理监测技术在提醒他们——患者右侧肢体的运动功能可能受到了威胁!

术中多次“排雷”,少年最终安然无恙
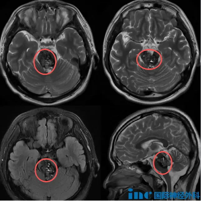
病情评估
16岁的少年,被诊断出一个巨大的脑干海绵状血管瘤。复杂的病情令许多医生头疼,病灶不仅体积巨大,内部还伴随着出血,即使是巴教授,在看到核磁后也解释道:“一些其他的病人,如果有多发的海绵状血管瘤,通常会散落在大脑很多地方,也许脑干中只有1-2个病灶,但是这个孩子所有的病灶都在脑干内。”
脑干作为生命中枢,要想在这个区域切除一个肿瘤已经实属不易,更何况是如豆腐渣般遍布的大大小小的病灶。除此之外,这个海绵状血管团还占据中脑,甚至从后往前将桥脑“截断”,十分难缠。

第一次警报
手术如期进行,在电生理监测技术的保驾护航下,巴教授正在有条不紊地切除血管瘤。然而,一旁实时监测患者神经动态的电生理监测屏幕上的波形却显示出了异动,右上肢和右下肢MEP开始发出警报,提示此时相关神经可能受到扰动。
这次警报非同小可,一旦手术再进行下去,稍有不慎患者就可能面临偏袒的风险。于是,巴教授立即决定停止手术,与生理监测师一同找到出现异动的原因。
实际上,术中患者的体温、血压、血氧饱和度变化以及麻醉药物等因素都会导致波形异动,对于主刀医生巴教授而言,他更需要快速、准确判断波形变化原因是真阳性还是假阳性。
经过一番缜密分析后,巴教授与团队决定稍作调整,继续剥离病灶,但这一次从操作技巧上来说,需要更加精准定位、谨慎切除。所幸这一次的危机有惊无险,巴教授最终成功清除了位于中脑的病灶。

第二次警报
由于病灶体积大、分布广,手术并未结束。巴教授转而开始切除剩余部位的血管瘤。然而,当手术器械触及桥脑背侧时,电生理监测再次发出警报,这一次提示患者右上肢的运动信号开始变弱。
面对这样的紧急情况,巴教授再次暂停手术,与电生理师紧密合作,分析每一个细微的变化。考虑到畸形血管团中可能藏有对桥脑至关重要的分支血管,手术继续后,巴教授的操作变得更加细腻,他巧妙地从桥脑背侧一点点向前推进,最终安全地切除了腹侧的病灶。

术后少年肢体无恙
尽管整场手术危机四伏,但巴教授仍然安全切除了少年的病灶,术后,他的四肢肌力与手术前一样,这意味着家人百般担忧的运动功能被很好地保留了下来。
- 文章标题:巨瘤如豆腐渣遍布脑干,16岁少年开颅后,手术室内却警报频发……
- 更新时间:2025-11-19 15:43:48
-
5年内,她两次脑干出血,整个人从上到下,几乎没有舒服的。我真是被脑干出血害惨了...
2025-08-28 17:35:47
-
脑干出血有哪些临床症状?脑干出血一次多为突然头痛、眩晕、呕吐、复视、眼球不同轴...
2022-06-15 20:29:55
-
脑干海绵状血管瘤患者能活多久?如何提高生存期?脑海绵状血管瘤可能伴有头痛,肌肉...
2021-08-19 10:48:37
-
头痛、复视、右肢无力两次脑干出血,让19岁的身体被迫进入瘫痪倒计时。是保守治疗...
2025-08-19 14:34:41
-
出血 是 脑海绵状血管瘤( CCM)患者发病的主要原因,然而,该疾病中急性或慢性出血的分...
2025-06-12 14:13:01
-
脑干海绵状血管瘤又称脑干海绵状血管畸形,是一种由众多薄壁血管组成的海绵状异常血...
2022-03-29 09:52:24
-
海绵状血管瘤是在不同的进化阶段,血管内皮排列的正弦通道。这些通道缺乏加强弹性蛋...
2022-03-15 11:20:43
-
鉴于脑干海绵状血管瘤手术难度很大,出现后遗症的风险高,患者发现出血症状应及早治...
2022-05-26 19:53:04
-
上图是2019年10月第1卷第2期《NEUROSURGICAL FOCUS VIDEO》(神经外科聚焦视频)下的真实评论,...
2024-11-01 15:34:24
-
海绵状血管瘤占颅内血管畸形的5%~16%,其中18%~22%的颅内症状性海绵状血管瘤发...
2022-04-21 16:12:51
-
什么是射波刀?什么是射波刀,估计从事临床工作的大部分医生都不了解,即便从事放疗...
2022-05-25 17:25:00
-
(手术)过了一天以后就正常了,就不用人扶了,自己下地了 巴教授说三个月肯定能恢...
2024-01-08 09:25:52
-
当脑干海绵状血管瘤发生或反复出血,病灶占位就持续压迫面神经核团造成移位变形,且...
2022-05-26 20:31:16
-
在神经外科领域,脑干海绵状血管瘤是一种让医生和患者都高度警惕的疾病。尤其是已经...
2025-10-30 11:45:47
-
虽然脑干海绵状血管瘤一度被认为是不可手术的,但随着患者选择、手术暴露、术中MR...
2022-06-07 15:01:17
-
今年是林女士退休的2年,本该期待的退休生活,却因一场突如其来的脑干出血戛然而止...
2023-05-31 23:02:09
-
短期内能二次开颅吗? 开颅失败的手术,症状没给解决,瘤子也没给切干净,还增加了新...
2025-07-03 11:44:43
-
16岁的瑞瑞是个阳光帅气的男孩,还在读高中。2022年突然出现肢体麻木伴呕吐,详细检查...
2024-01-03 09:21:35
-
为什么说脑干海绵状血管瘤顺利完全切除是治疗关键?脑海绵状血管瘤是一种常见的血管...
2021-08-13 14:50:41
-
小雨在距离那场开颅术后已经安稳度过了3个月。当初,由巴教授主刀,他的海绵状血管...
2025-10-10 14:15:32