
镰旁 脑膜瘤手术 风险大吗?脑膜瘤是指在脑膜上形成的肿瘤,脑膜是围绕着大脑和脊髓的一种膜,相当于鸡蛋中隔离蛋清与蛋壳的那层膜,对人脑起着重要的保护作用。约85%的脑膜瘤被...

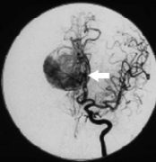
镰旁脑膜瘤通常由脑膜中动脉、胼胝体边缘动脉、胼胝体周围动脉的多个终末动脉分支和前镰动脉的分支提供丰富的供血,这可能使任何手术切除变得复杂。到达后进行的成像显示右侧...

根据Harvey Williams Cushing 的定义, 大脑镰旁脑膜瘤或镰状脑膜瘤是一种起源于大脑镰并被覆盖的皮质完全掩盖的脑膜瘤。大脑镰旁脑膜瘤严重么?手术切除成功率有多高?...

镰旁和矢状旁脑膜瘤是颅底脑膜瘤的常见部位,切除手术可从根本上解除占位效应,但手术不慎也有可能造成并发症...

位于上矢状窦前三分之一水平的镰旁脑膜瘤常常表现得有些隐匿,并导致额叶综合征。最近一项对108例侵犯上矢状窦的镰状或矢状旁脑膜瘤的检查研究描述了9例严重脑水肿,其中3例为整...

大脑镰旁脑膜瘤 起源于大脑镰,约占全部颅内脑膜瘤的5-9%。库欣从外科手术的角度将大脑镰旁脑膜瘤与矢状窦旁脑膜瘤区分开来,报道大脑镰旁脑膜瘤常被覆盖的大脑皮层所掩盖,而...

镰旁脑膜瘤 是病吗?首先来了解一下脑膜瘤。脑膜瘤是起源于脑膜及脑膜间隙的衍生物,脑膜瘤可以发生在任何有蛛网膜细胞的部位,大多数和硬脑膜相粘连。人群中约每 10 万人...

脑膜瘤 是常见的脑瘤,除了脑胶质瘤,较常见的便是脑膜瘤了。脑膜瘤是起源于脑膜和脑膜间隙的一种过度增生的产物,产物过度增生形成的瘤样组织,即称为脑膜瘤。 大脑镰旁...

颅内脑膜瘤的治疗选择是单独手术切除,手术后辅以放射治疗(RT)或单独RT,大脑镰旁脑膜瘤则是功能区脑膜瘤...

大脑镰旁脑膜瘤通常埋在脑实质内,这使得手术区域无法被充分暴露,中央沟静脉位置也导致手术困难。大脑镰旁脑膜瘤手术难度大吗...