癌症如体内恐怖组织的反人类袭击,那在这场抗癌战争中,手术刀如"冷兵器",化疗便是"生化武器",放疗如"现代反恐技术"。这些手段都会在大脑上留下痕迹,因此影像学随访和评估是重要的,那影像学都有哪些重要的常见的影像学改变呢?

(图自www.nature.com)
尽管脑肿瘤治疗后的影像学评估是相当具有挑战性的,但对现有的各种影像技术知识的了解可以帮助放射科医生区分治疗后反应和肿瘤进展,能在治疗中挽救病人避免不恰当的改变。此外,了解常见的治疗后在影像学上可以识别的并发症的相关知识,可以帮助放射科医生在预防病人并发症率和死亡率的方面发挥重要作用。本文脑肿瘤治疗后的不同相关影像学表现作一综述,讨论现有的前沿的磁共振影像技术和较常用于临床治疗的反应标准,同时提供关于在手术、放疗、化疗后影像检查中发现的大量并发症的综述。
在2010年发布的神经肿瘤(RANO)组织的反应评估标准强调T2 FLAIR序列在评估浸润性病变的非增强强化部分中的重要性。除了RANO标准外,还有两种放射影像现象在文献中得到很好的描述,需要进一步深入地讨论。这里面包括假性进展(pseudoprogression)和假性反应(pseudoresponse)。
1.治疗后假性进展(pseudoprogression)
指较近治疗的脑肿瘤周边的新的发展或增强范围增大。这个影像表现较初类似肿瘤进展,但在随访影像上有好转或稳定,这个现象常被描述为指在高级别胶质瘤在开始化疗后,大多为替莫唑胺(TMZ)和放疗后发生。
尽管对此的机制了解甚少,但这种情况是由于放化疗引起的局部炎症、脑水肿和短暂的血脑屏障的通透性增加,导致区域性的过度强化(hyperenhancement)。在成像时,通常会沿着病灶边缘出现厚而蓬松的增强,与存在存活肿瘤的区域相比,表观弥散系数(ADC)信号较高,脑血容量(rCBV)信号较低。
据报道,多达21%的使用替莫唑胺(TMZ)化疗的胶质瘤会发生假性进展,通常发生在治疗后2个月内,比单独接受放疗后发生放射性坏死的典型时间段要更早。
此外,值得注意的的是,表达O6-甲基鸟嘌呤DNA甲基转移酶(MGMT)启动子甲基化的高级胶质瘤通常更频繁出现假性进展。事实上,Balana等针对256名胶质母细胞瘤(GBM)患者的一项研究中,发现那些存在MGMT甲基化表达的会进展出现假性进展,相比真性进展假性进展增加3.5倍。此外,许多MGMT甲基化患者往往也有更好的总体结果,包括2年生存率提高和延迟出现复发的时间。这不仅对患者生存有重要的临床影响,也强调了对肿瘤的MGMT甲基化状态的了解,可能有助于影像解释区分假性进展和真性进展。
案例1:左胼胝体多形性胶质母细胞瘤假性进展

46岁男性,手术切除后的MRI显示一小部分沿切除残腔的前缘的小的不规则的强化(箭头所指)。

4月后(放疗后2月)MR显示瘤体外周增大的、残腔边缘强化,以后部为主(括号)。

切除术后8个月复查MR显示增强强化减弱(箭头),没有明显的灌注增高或弥散受限,一系列发现符合术后4个月有假性进展。
2.治疗后假性反应(Pseudoresponse)
是指较近治疗的脑肿瘤快速的暂时的增强强化减弱。影像表现较初类似治疗反应,但仔细检查肿瘤常可见持久的T2 FLAIR高信号和表观弥散系数(ADC)低信号在随访影像上恶化加剧。增强强化的减弱可以发生的相当快,一项研究表明肿瘤血管大小的相对缩小较早发生在治疗的一天。然而,同一个研究表明,在治疗的56天大多数的这些患者会有血管大小逆转出现异常值。这一现象在接受抗血管生成药物治疗的高级别胶质瘤中有典型的表现,贝伐单抗(bevacizumab)和西地尼布(cediranib)通过控制血管内皮生长因子(VEGF)起作用。然而,其他的治疗药物,如类固醇,也会有牵连。许多研究表明这种增强强化的减弱是由于治疗与相关的血管发生血管通透性改变,通过肿瘤血管渗漏的正常化而不是的肿瘤减少。
这进一步支持,事实上假性反应与6个月无进展生存率,而非总体生存率的好转相关。因此,重要的是,要知道,在解释胶质瘤治疗后的影像时所在使用的治疗药物,从而可以准确区别假性反应和真性反应。
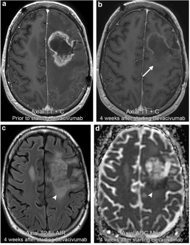
案例2:左额叶星形细胞瘤治疗后MR上呈现假性反应

38岁男性,确诊MR显示左侧额叶病变周围强化。开始贝伐单抗治疗4周后随访MR示增强强化的阶段性减弱(箭头所指)。然而,仍存在持久性T2 FLAIR高信号和表观弥散系数ADC信号减低(箭头所指)。系列后续成像表明T2 FLAIR中的高信号和肿块占位效应属于进展,确认为假性反应。
参考文献:Brain tumour post-treatment imaging and treatment-related complications. Insights Imaging.2018.
- 文章标题:脑瘤治疗后假性进展与假性反应有哪些?
- 更新时间:2021-02-19 13:17:32
400-029-0925



