辐射不仅杀死或减慢癌细胞的生长,还可以影响附近的健康细胞。对健康细胞的损害会引起副作用,而且许多接受放射治疗的人都会感到疲劳,但这并非放射治疗较为可怕的并发症。
1.辐射诱发的血管损伤
众所周知,放射会通过不可逆内皮损伤对颅内血管产生长远的影响。这是典型的迟发性损伤在受照辐射后数月到数年才会显现。在影像上,放射性的血管损伤有三种主要表现:放射性血管病变,放射性血管增生性病变和放射性矿化性微血管病变(mineralising microangiopathy)。

放射性血管病变是指加速的血管壁的肌内膜增生导致不同程度的狭窄或闭塞。这个过程有一个会影响到脑的基底动脉的大血管的趋势,经常会有小动脉水平的检测逃逸(escaping detection on the arteriole level.)。在血管造影上,通常容易识别,因为受影响的血管只会位于受照射人通路处。对于中央部的肿瘤,如视神经胶质瘤或鞍区病变,床突上段颈内动脉和Willis环近端特别脆弱,经常产生烟雾病样的影像模式。值得注意的是,这些病人缺血和复发性梗死的风险增加。
案例1:放射性血管病变和放射性矿化性微血管病
35岁男性,有放射史治疗颅咽管瘤的病史(括号)。病人随后几年连续进展出现多次卒中,MRA图像显示多个区域严重的颅内血管狭窄,较明显的是基底动脉和左侧床突上段颈内动脉(箭头);这与放射性血管病变相一致。CT显示皮层下的脑白质和基底节区(箭头所指)出现致密钙化,与矿化性微血管病变一致。
放射性血管增生病变包括毛细血管扩张和海绵状血管畸形(海绵状血管瘤)。这些病变的形成被认为是由脑微循环受损伤,触发局部区域的脑实质内新生血管生成所引起的。Larson等甚至假设这两种病变 存在于同一个病理谱上,放射触发增生路径导致毛细血管扩张形成海绵状血管瘤。组织病理学上,毛细血管扩张由薄壁的扩张毛细血管组成,脑实质正常分布在血管通道之间。在影像上,这些病灶表现为轻微的T2高信号和晕状增强信号,磁敏感成像(SWI)由于缓慢的流动和脱氧血红蛋白的数量增加显示低信号,有助于诊断这些病变。与毛细血管扩张相反,海绵状血管瘤由紧密堆积的未成熟的血管组成没有脑实质介入其内。在影像上,这些病变有产生微出血的倾向,产生混合的T1 / T2信号病变(呈“爆玉米花样外观”),在GRE/SWI序列上因含铁血黄素内衬呈开花状。
案例2:转移瘤放疗后诱发海绵状血管瘤
76 岁女性,有肺癌病史,出现多发性颅内转移瘤(箭头)。诊断SWI显示无局灶性异常T2星状低信号/在脑实质内的开花样变。在接受全脑放疗(WBRT)2年后,进行SWI成像显示多处新的异常局灶性T2星状低信号分散在脑实质内(箭头所指),与放射诱发的海绵状血管瘤一致。

放射性矿化性微血管病变指的是脑实质中进展形成的营养不良性微小钙化。组织病理学上,这一过程由受损血管壁以及周围的坏死脑组织的钙沉积组成。在影像上、钙化通常见于基底节和皮质下的脑白质,可能反映出小的穿通支和周围血管受到放射性损伤的遗传脆弱性。
2.放射性脑实质损害
放射性坏死,顾名思义,指的是血管和脑实质的联合损伤导致的肿瘤或正常的脑实质的坏死,是一种迟发现象,会影响脑白质和以及相对保留浅表皮层的深层覆盖皮层。
放射性坏死的可能性取决于两个主要因素。首先是自接受受照辐射时间,85%的患者发生在接受照射后的2年内。事实上,Shah等提出这个观点,完成接受放射照射后三年以上所发现的任何新的或恶化的异常,不太可能是单纯的放射性坏死。二是照射剂量,随着普遍将照射剂量翻倍超过62Gy和4倍的照射剂量超过78Gy。
在影像上,很难将肿瘤和放射性坏死相区分,常常需要密切定期随访研究以观察增强强化是否恶化或好转。也就是说,有三种主要的影像形式高度提示为放射性脑实质损伤:
(3)在照射范围内的局部增强病灶远离切除残腔部位,但没有沿着预想的肿瘤播散路径。
发生全部的情况中,前沿的MRI成像有助于区分肿瘤与典型的放射性坏死,肿瘤常表现在强化区域通常呈现灌注影像上脑血容量(rCBV)降低,在磁共振波谱上脂质/乳酸峰值升高,在连续随访影像上增强强化缓解。
案例3:脑膜瘤放疗后脑实质放射性坏死
58岁男性,左蝶骨嵴脑膜瘤延伸至左侧海绵窦和眶尖(括号)。当时的左侧额叶基底部区域并无异常。放疗2年后的随访影像显示左侧额叶基底部区域几个不规则的边缘增强的病变(箭头)。无对应的异常弥散加权(DWI)信号。放疗后5年的随访影像显示左侧额叶基底部区域不规则的增强病变消失(箭头),确认放射性坏死。


图.病理证实的放射性坏死的磁共振波谱图。胆碱、肌酸和乙酰天门冬氨酸(NAA)峰值下降(箭头),脂质/乳酸峰值升高(箭头)
放射性脑白质脑病是一个用来表示放射性脑白质损伤的术语,通常没有Frank坏死。与大多数形式的放射性损伤一样,尚不清楚病理生理学,但似乎是由直接的轴突损伤或血管损伤继发脑白质损伤造成。脑白质病的发生率也不清楚;然而,一项回顾性研究报告发病率,在接受全脑放疗(WBRT)治疗脑转移瘤随访6个月的患者中有34%出现脑白质病。临床上,患者表现为不同程度的神经认知能力下降,有许多患者在无症状时凭借影像诊断。事实上,影像学上脑白质改变和症状严重程度之间的关系尚不清楚。许多研究已经表明,其与认知能力下降程度的相关性很差。在影像上,放射性脑白质脑病呈现为进行性、对称、汇合的T2高信号主要涉及脑室周围的脑白质。值得注意的是,有些脑瘤患者也可能会由叠加药物引起免疫控制,因此也有进展出现多灶性脑白质病(PML)的风险。虽然这种情况很少见,但纵观文献,在一些病例报告中已经描述过,重要的是影像能够区分两个脑白质实体。在放射性脑白质病中,与多灶性脑白质病不同,脑白质改变更加分散,并且倾向于保留皮层下的U纤维。
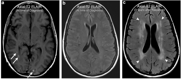
案例4:颅内转移瘤放疗后出现放射性脑白质脑病

47岁女性,有多发性颅内甲状腺癌转移的病史(箭头)。患者接受全脑放疗后,在随后的几年里,逐渐进展出现认知能力下降。全脑放疗3年后的影像显示广泛的脑室周围T2 FLAIR高信号(箭头所指),比预期的与年龄相关的微血管疾病广泛,符合放射性脑白质病。注意皮质下U纤维的相对保留。
3.放疗后卒中样偏头痛(SMART)综合征
放疗后卒中样偏头痛(SMART)综合征是一种少见的临床病症,在先前接受过放射照射后出现包括复杂偏头痛样的症状。多见于男性(男性与女性的比率为2.2∶1),通常有晚期迟发的现象,在接受50 -64 Gy的剂量照射的患者中发生。
临床上,这些患者表现为偏头痛,常伴有恶心、呕吐和对光敏感反应。此外,33-74%的患者有局灶性神经功能障碍,70 - 82%的患者会出现癫痫发作。对放疗后卒中样偏头痛(SMART)综合征的发病机制知之甚少,认为是多因素的病因造成。一些作者提出放射性血管损伤产生可逆的血管调节障碍从而导致血脑屏障损害和脑水肿,类似于后部可逆性脑病综合征(posterior reversible encephalopathy syndrome ,PRES) 。然而,其他作者如Farid等通过使用Tc-99 m HMPAO SPECT检测,对比发作时的(ictal)和发作后的(poststictal)脑灌注,则表示出现SMART综合征临床症状的患者属于正常的脑血管反应。他们反对这是一种血管性机制,而是神经元功能障碍的一部分。在影像上,典型的SMART综合征显示T2高信号,且有些患者增强后显示弥散受限。通常涉及大脑半球后部或小脑,一般会在随访影像上好转或缓解。
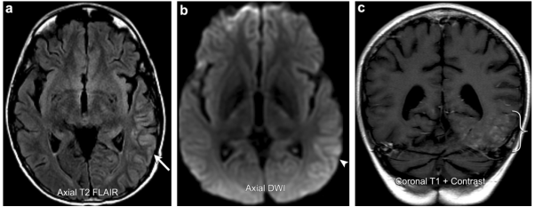
案例5: SMART综合征

31岁男性,10年前后颅窝非典型畸胎样横纹肌肿瘤切除术及放疗病史,现在出现持续性头痛,视野缺损,一天来出现找寻词语困难。磁共振图像显示脑回增厚和T2 FLAIR信号增高涉及到的左颞叶、顶叶和枕叶的大部分后方皮质(箭头所指)。伴有轻度弥散受限(箭头)和脑回增强(括号)。随访脑电图无癫痫活动和后续症状得到缓解。影像学表现及临床过程与SMART综合征相一致。
参考文献:Brain tumour post-treatment imaging and treatment-related complications. Insights Imaging.2018.
- 文章标题:脑瘤患者须知:放射治疗会诱发哪些并发症?
- 更新时间:2021-02-19 13:27:53
400-029-0925




