
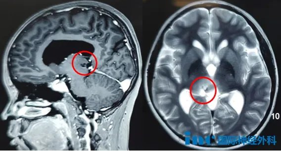
在近期巴教授2025中国行中,一位13岁的小患者新城(化名)始终牵动着大家的心弦。肿瘤边界不清,且位于神经外科中极具挑战性的“手术禁区”丘脑-中脑,手术路径狭长,可操作空间小,却遍布着无数条掌握命脉的神经和血管,手术容错率几乎为0。

而当巴教授开颅找到肿瘤时,面临的情况让这次手术难度再次升级——脉络膜后内侧动脉完全被肿瘤包裹侵蚀,更令在场医生心惊的是,一条重要动脉俨然穿过肿瘤!
这意味着,手术必须要在不触动、不损伤这条核心“高压线”的前提下,将血管完整地从肿瘤组织中解离,难度不亚于从一堆水泥中完整地将深陷其中的钢筋剥离出来,这个过程的风险不言而喻。
大家的心一点点悬了起来,手术能顺利完成吗?孩子的肿瘤可以安全切除又不留下任何并发症吗?然而,巴教授却十分沉着冷静,他并未退缩,反而利用高超的技术和巧劲,细致地剥除肿瘤,最终顺利完成手术。原本悬着的心终于稳稳落地,大家在敬佩巴教授手术技术的同时,也在为这个小男孩的新生而欢唿!
当巴教授走出手术室,告诉新城家人手术成功切除肿瘤时,不禁也竖起大拇指。术后仅仅1天,这个曾被医生认为不能手术的男孩就已恢复了往日的活力,盘腿坐在病床上的他活动自如,术后第3天,更是完全能够独立行走!

他的家人没有被“不能手术”吓倒,也从未放弃寻找希望,所幸在这一场手术后,他的生命终于迎来彩虹。

孩子视力模煳:竟查出“致命”肿瘤
在这场手术之前,这个胶质瘤已经在新城小小的身体中蛰伏了6年之久。2019年,新城总是抱怨自己脖子不舒服、低头困难,在当地医院检查后仅查出了轻微的嵴柱侧弯。然而,不久之后,新城开始出现视力模煳,这让父母察觉到不安,于是他们决定带孩子前往医院检查。等看到检查结果,父母这才惊觉,原来孩子的脑袋中长了一个肿瘤!
父母下定决心铲除孩子成长路上的障碍,然而医生的一番话却如一盆凉水兜头而下:“肿瘤已经引发梗阻性脑积水,可以先进行三脑室底造瘘术来缓解,但由于肿瘤长在右侧丘脑-中脑,手术风险太大,不能进行肿瘤切除手术。”
听到医生的这句话,父母深感无力,只好于2019年按照医生的建议先行三脑室底造瘘术,以缓解目前孩子的症状。然而,肿瘤一日不除,他们也就一日不能心安,更何况新城的视力问题越来越严重,甚至每年会增加200度左右。于是他们开始了漫长的寻找,只希望能找到一位能够手术的医生……
“孩子绝对需要手术干预,而不是置之不理!”
在广泛的寻找下,新城父母逐渐了解到了一位尤为擅长脑干手术的国际大咖——德国巴特朗菲教授。不负他们所望的是,巴教授给出了可以手术的回复,令他们十分高兴,这意味着孩子有治愈的希望了!

新城家长视频咨询巴教授中
巴教授:我可以提供手术治疗,患儿绝对需要采取手术干预,而不是置之不理。他们最好在今年内就让患儿来苏州大学附属儿童医院,我们可以明确所有问题,并进行手术,这将使孩子迈出非常重要的一步。(不手术)孩子的视力可能会更加恶化,这也是不应该选择观察而应进行手术的另一个原因。
脑室造瘘术大约可以解决80%–90%的脑积水问题,但无法达到100%。所以即使到今天,脑室仍然比正常略大,这只是脑积水的后遗症。通过手术,我们可以恢复正常的脑嵴液流动,这比单纯的内镜下第三脑室造瘘更有效,因为手术开口更大,脑嵴液可以自由流动,从而可能改善下丘脑相关问题,而无需直接干预下丘脑,仅通过解决脑积水问题即可。
高难度手术成功,术后1天恢复活力
根据巴教授术前的评估,新城的肿瘤切除难度较高,不仅由于肿瘤位置在脑干中脑-丘脑这一核心区域,真正的牵一发而动全身,更在于肿瘤边界不清。正常脑组织与肿瘤之间没有一条清晰的分界线,而是一个渐变的、浸润的区域,这导致手术难度极大,对术者的操作精度要求极高。
然而,处理这一困境,巴教授除了过硬的手上“功夫”外,还有一种近乎本能的“感知力”天赋。巴教授仅凭四样东西就可完成剥离:到达病灶部位后,显微镜下观察色泽;用0.2mm精细双极的尖端感知病灶质地;通过术中毫米尺的测量,与术前核磁病灶测量数值做对比;结合术中电生理监测。

巴教授为这场手术做了充分的准备,而当手术真正开始后,情况却有了一些不同,令整场手术难度再增——肿瘤与血管“长在了一起”,关系异常复杂。
这个区域的血管本身就是供应生命中枢的“核心命脉”,而术中情况却十分严峻,血管纵横交错,肿瘤被一张致密的血管网包裹、穿行,每一步分离都难上加难,稍有不慎就可能导致血管破裂大出血,或者因损伤血管而导致其供血的正常脑组织梗死,造成灾难性的后果。
尽管难度上升,但巴教授却依然操作谨慎细致。对巴教授而言,他的一双“神奇之手”能在瞬息之间——0.5秒,一气呵成,在搏动的动脉上完成一次完美剥离。锋利的剪刀轻触,分离血管和蛛网膜,毫厘不差,动脉无损。最终,肿瘤被一点点剥下,整场手术有惊无险,顺利完成!

走出手术室,巴教授向新城父母带去了好消息,并耐心向他们说明了情况,看着孩子家人的眉头慢慢舒展开,大家都十分欣慰,因为手术的成功也意味着新城重新出发的人生。
术后仅仅1天时间,儿童强大的恢复能力开始发挥出作用,新城不仅恢复清醒、无任何神经功能损伤,更令家人惊喜的是,孩子已经能活力十足地盘腿坐着活动了!随着术后第2天、第3天,孩子的恢复越来越令人惊叹,从需要搀扶到独立行走,这位小勇士也仅用了短短的1天时间!
新城父母感恩地将这一幕幕记录下来,虽然画面定格,但所有人都知道,属于新城的、全新的人生即将启航!
案例来源:巴教授2025年8月19日于苏州大学附属儿童医院手术
400-029-0925




