成人脊髓圆锥毛细胞性星形细胞瘤(PA)是一种少见的术前病理。在成年人群中,只有5%的脊柱肿瘤是髓内病变,大多数脊髓圆锥肿瘤被诊断为黏液乳头状室管膜瘤(ME)。
PA和ME是WHOⅠ级病变,但具有不同的临床和治疗意义。尽管圆锥和剩余脊髓的切除率似乎是相当的,但组织病理学影响了外科医生切除病变的能力(室管膜瘤90%的完全切除率,而低度星形细胞瘤的完全切除率为14-76%)。在全部病理类型的肿瘤中,术中切割计划是较重要的预后因素。然而,目前尚不清楚全切除是否能提高低级别星形细胞瘤患者的总生存率。
手术是脊髓髓内肿瘤(IMSCT;I类证据,星形细胞瘤除外,活检用IIb类)。在IMSCT的背景下,放疗和化疗等辅助治疗已被探索。然而,证明其作用的证据很低,通常只用于全身转移性病变或高级别(WHOⅢ和Ⅳ级)肿瘤,因为它们产生重要的副作用,对总体生存率影响不大。
根据报告的成人PACM病例较少,从以往文献中无法得出直接结论。因此,我们提出一个临床上的考虑,并支持一个病例。
病例报告
一位69岁的女性因双侧下肢疼痛和步态障碍而入院。她先前在慢性腰痛的临床背景下接受L4-L5椎弓根螺钉内固定后外侧融合治疗退行性腰椎滑脱症(Meyerding分类)。神经系统检查显示双侧下肢疼痛,伴有感觉减退/感觉障碍,无单根分布,无运动无力迹象,膝关节反射正常,踝关节反射减弱。
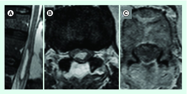
胸腰椎MRI显示一个以脊髓圆锥为中心的囊性病变(图1)。根据患者的拒绝情况,没有进行对比。麦考密克二级肿瘤入院。

后路-背侧入路。进行D10-D11椎板切除术,通过后中线切口打开硬脑膜。超声检查证实病变。它的左侧有一个卵裂平面,但右侧的神经实质无法区分。完成了部分切除和与蛛网膜下腔的部分连通。
术后,导尿管被保留在原位,以保持感觉。病人在术后7天出院,没有进一步的事件,并转介到康复单位。术后1个月,成功拔除导尿管,无步态障碍,有轻度感觉障碍。术后MRI显示残余囊肿的肿块效应减弱(图2)。神经病理学检查发现一个低细胞的囊性肿瘤,显示双较性星形细胞成分和长而细的突起。未诱发间变性特征,增殖指数(Ki67)小于1%。ATRX和IDH1未发生突变,BRAF存在易位。对PA进行诊断(图3)。

图2。T2矢状图(A), T2轴向图(B)和T1 gad后轴向图(C)显示囊性病变肿块减轻,钆感染后没有造影剂摄取。
术后情况:12个月时未进行进一步的治疗和临床监测,没有复发。
案例讨论
尽管在适当的神经生理监测下,应尝试进行较大限度的保留神经功能的手术切除,但髓内低度恶性星形细胞瘤(IMLGSA)切除范围的预后意义仍有待证实。一些作者报道在低度或高度病变中都没有影响。然而,一些流行病学数据支持对高级别脊髓星形细胞瘤进行根治性切除,因为它们与更长的生存期相关或显示出更长的生存期趋势。
IMLGSA的放射治疗一直是讨论的问题。密娜汉以及其他人。发表了关于IMLGSA的较大系列之一,尽管进行了手术切除,但未显示术后放疗对PA的益处。其他系列支持这些发现。事实上,放射治疗仅在浸润性间质性膀胱炎中显示出益处。然而,即使在高度病变中,辅助放射治疗的益处也不是一致的,因为一些系列研究显示对生存率没有影响。
化疗是IMLGSA较近考虑的一种选择。Fakhreddine以及其他人。显示化疗好转了IMLGSA的无进展生存期(较常用的替莫唑胺方案与其他方案之间没有差异),而切除范围和辅助放疗没有影响。它也被用于儿童,以延迟辅助放射治疗。然而,它的作用有限,仍有待确定。
因此,辅助放疗和/或化疗通常保留给高级别髓内星形细胞瘤,仅应在特定情况下考虑用于低级别的肿瘤。在目前的病例中,根据较近的文献,没有进一步的治疗,残留的肿瘤很小,主要是囊性的,至今没有复发。
结论
成年PACM是一种少见的肿瘤。髓内PA的中流砥柱是手术切除。这应该根据较大切除-神经保护权衡来完成,因为它与更长的生存期有关。在文献中,对于脊髓内其他解剖位置的肺动脉高压,没有建立辅助放疗或化疗的作用,因此我们认为这些相同的治疗原则应适用于PACM。
未来展望
手术是髓内毛细胞星形细胞瘤治疗的主要手段。因此,术中神经监测日益增加的可靠性可能会使前面提到的权衡失衡,即在保留神经功能的同时,采用更的手术方法进行更大范围的切除。
- 文章标题:成人脊髓毛细胞星形细胞瘤顺利手术后12个月没有复发
- 更新时间:2021-01-07 13:59:11
400-029-0925




