“丘脑位置可不能碰,不手术还能多活几天,一手术那可是凶多吉少!”
这句论断曾让无数丘脑肿瘤患者家庭陷入绝望。
这片深藏颅脑核心、掌控人类意识与感知的区域,因其复杂的功能定位与手术风险,令许多经验丰富的医生望而止步。然而,丘脑肿瘤真的注定是"手术雷区"吗?

其实,这并不意味着丘脑肿瘤就不能手术了。丘脑胶质瘤可以手术切除,只是位置深,手术风险相对较高而已。良好的解剖学知识、选择正确的手术入路、熟练的显微神经外科手术操作,都可帮助术者降低上述并发症的发生,获得良好预后。
INC旗下世界神经外科顾问团(WANG)成员、世界神经外科联合会(WFNS)执行委员会&顾问委员会成员James T.Rutka教授便以一例9岁丘脑胶质瘤患儿的治疗案例印证了这一可能。
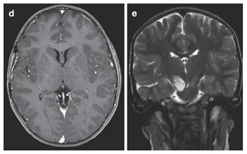
治疗案例:术后六月复查肿瘤情况稳定
一名9岁男童因左面部、上肢及下肢出现3周急性症状,伴持续3个月以上的轻微口齿不清就诊。其体表存在多发性咖啡斑及腋窝雀斑,既往确诊注意缺陷多动障碍,可能与潜在器质性疾病相关。

MRI显示右侧丘脑存在环形强化结节状肿瘤,累及内侧颞叶结构。
Rutka教授实施经颞中回-脑室入路次全切除术,病理证实为WHO I级毛细胞星形细胞瘤,BRAF重复融合、BRAF V600E及H3K27M检测均为阴性,基因检测检出NF1基因变异。
术后影像学随访显示丘脑部分切除及中脑残留病灶,遂制定个体化辅助放疗方案,患儿治疗反应良好。术后6个月复查确认肿瘤控制情况稳定。

对于丘脑毛细胞星形细胞瘤患儿,神经外科通常是肿瘤和脑积水的初始治疗。外科手术包括活检、脑脊液分流、肿瘤切除和囊肿减压。一旦手术全切,患儿可以长期存活。即使未全切,辅助放疗及化疗,5年生存率亦可超过80%。
神经外科的手术挑战区:丘脑
丘脑,一个长达3厘米、宽1.5厘米的结构,构成了间脑的主体部分。它可以被细分为三个主要的核区:前核、外侧核和内侧核,同时在丘脑的后部还附着有丘脑枕核。
位置深
丘脑位于大脑深部,其前下方与下丘脑及中脑相邻,约有一半的丘脑表面被内囊覆盖。由于位置深在,手术难度较大,肿瘤切除过程中若损伤周围重要结构,将导致严重的不良后果。
丘脑周围存在四个重要的游离间隙,Yasargil将其分为四个游离面:侧脑室面、脉络膜面、三脑室面及四叠体池面。每个游离面窦可以通过经侧脑室入路或经四叠体池入路到达。
功能重要
丘脑作为感觉的高级中枢,扮演着至关重要的角色,它是一个关键的感觉传导接替站。除了嗅觉感受器的传入神经纤维,来自全身各处的感受器的传入神经纤维都会在丘脑内更换神经元,之后才会投射至大脑皮层的特定区域。

丘脑损伤可能引发一系列严重的神经功能障碍,具体表现如下:
- 意识障碍:可出现意识不清,甚至陷入昏迷状态。
- 睡眠障碍:包括失眠,以及严重的致命性家族性失眠症(患者因无法入睡而最终导致死亡)。
- 语言障碍:丘脑性失语,表现为发音困难、词汇量减少以及听理解能力下降。
- 运动障碍:可能出现震颤等运动控制问题。
- 感觉异常:引起各种疼痛综合症,例如:视力问题(视力下降或对光敏感)、丘脑疼痛(表现为刺痛或灼痛感)
丘脑受损后,患者可能陷入“木僵”状态,如同“木头人”一般,对外界刺激毫无反应。
相邻器官重要
丘脑位于脑部中心区域,其附近有多个重要结构,例如松果体、下丘脑以及中脑。
- 松果体:在人体中扮演着关键角色,它负责调控睡眠与觉醒的周期,同时对情绪和智力的发展也有重要影响。
- 下丘脑:作为较高级别的神经中枢,下丘脑在人体内发挥着广泛而深入的调节作用。它不仅掌控着体温、摄食行为和水平衡的调节,还涉及到腺垂体激素的分泌、情绪反应以及生物节律的维持等多个方面。
- 中脑:位于脑桥的上方,处于整个脑部的中心位置。中脑主要管理视觉和听觉的反射功能,对于瞳孔、眼球以及相关肌肉的活动具有控制作用。
如果手术技术不够精湛,在术中操作过程中损伤了丘脑周围的区域,那么所带来的后果将与这些区域自身出现肿瘤一样严重。即使手术最终成功,患者的生存质量也会显著降低,这无疑会给他们留下终身的遗憾。
丘脑胶质瘤患者症状
丘脑胶质瘤患者可能会经历多种症状,包括局灶性神经功能障碍、头围异常增大(巨颅症)、头痛、内分泌失调以及颅内压增高等。这些症状的严重程度和具体表现,与肿瘤的确切位置、体积大小以及生长速度密切相关。
颅内压升高
在患有丘脑胶质瘤的患者中,有50%-75%的人会出现头痛、恶心、呕吐、乳头水肿和嗜睡等症状。在更严重的情况下,患者甚至可能陷入昏迷状态。
对于婴儿来说,颅内压升高可能表现为头围异常增大(大头畸型)、囟门隆起以及缝合线张开。此外,大约三分之二的患者会出现脑积水的情况。
起源于中线结构,特别是背内侧丘脑的肿瘤,更容易在早期就引起脑脊液通路的阻塞。而双丘脑肿瘤导致的颅内压(ICP)升高,更多是由于肿瘤本身的体积增大所引起的,而非脑积水所致。
运动和感觉障碍
在儿童患者中,有6-36%的个体会出现运动障碍,主要表现为偏瘫和震颤,其次还可能出现肌张力障碍、舞蹈病等症状。这些运动障碍通常是由于腹内外侧核的肿瘤向外侧挤压或浸润内囊所导致的。
有趣的是,尽管腹侧丘脑包含主要的感觉中继核,但仅有5-25%的患者表现出感觉症状。这可能是由于幼儿尚不具备用语言表达这些症状的能力。
此外,有18-55%的患者会出现心理方面的症状,包括情绪、性格、认知和行为方面的改变,以及记忆障碍和注意力不集中等。这些心理症状可能与丘脑前核、内侧核团、穹窿、额叶皮质以及边缘区等相关结构的功能受损有关。
视觉、癫痫、内分泌和语言障碍
在儿童患者中,多达一半的个体会出现视觉障碍。常见的眼部表现包括同侧反应性瞳孔缩小、动眼神经麻痹,以及由于肿瘤浸润或压迫中脑盖区左侧而引起的外斜视。
常见的视野缺损类型为偏盲,这主要是由于肿瘤对内囊后核节段的影响或视辐射受损所导致的。
此外,有1-35%的患者的主要特征是癫痫发作。由于优势侧的丘脑与语言功能密切相关,因此患者可能会出现言语障碍。
INC国际小儿神外专家团

国际脑干手术大咖Helmut Bertalanffy教授
教授擅长颅底、脑干病变、功能区、大脑小脑、脊髓等复杂位置的肿瘤性、血管性疾病的手术治疗,尤其擅长颅底、脑干等复杂区域病变的肿瘤切除术、神经吻合术等,脑干病变成功手术病例近千台,以精湛高超的手术技术不损伤神经功能且全切病变。巴教授历经千万个小时用超精确的物理剥除诠释了医术为何为艺术。

国际儿童神外专家Concezio Di Rocco教授
自2014年5月起,Di Rocco教授就担任了德国汉诺威国际神经科学研究所(INI)的儿科神经外科主任。从事儿童神外事业50余年,Di Rocco教授尤为擅长小儿神经纤维瘤、癫痫、脑积水、蛛网膜囊肿、颅缝早闭、脑和脊髓肿瘤、脑和脊柱畸形(半椎体畸形,皮质发育不良,脊髓脊膜膨出,脊髓内脂肪瘤,Arnold-Chiari畸形等)难治病症方面的治疗,曾进行过12000多次神经外科手术。

国际儿童脑肿瘤大咖James T.Rutka教授
教授是世界神经外科联合会(WFNS)执行委员会&顾问委员会成员之一,发表超过500多篇的文章,在临床上的研究方向以颅内肿瘤为主,对胶质瘤、纤维瘤、颅咽管瘤、室管膜瘤具有多年的临床经验,擅长清醒开颅术、显微手术和被广泛用于治疗恶性脑瘤和癫痫的国际前沿技术激光间质热疗(LITT)技术经验,对于儿童胶质瘤,尤其是高级别胶质瘤开展多项临床试验,其所在的医院加拿大SickKids是国际知名的儿童医院之一。
- 文章标题:丘脑胶质瘤破局之道:经他治疗后9岁丘脑肿瘤患儿术后顺利恢复
- 更新时间:2025-04-30 11:47:59
400-029-0925




