
视路-下丘脑胶质瘤(OPHG),主要为低级别胶质瘤,以毛细胞星形细胞瘤为主,它们通常在儿童中更常见。虽然有些肿瘤仅影响视神经,但大多数肿瘤会浸润下丘脑、视交叉以及邻近结构。在过往的研究中,大多数学者认为广泛的肿瘤切除是不可行的,因为术后视力丧失或导致严重的下丘脑并发症的风险很高。因此,放化疗成为治疗这些极具挑战性病变的普遍方式。
然而,在巴教授与Di Rocco教授近期联合发表的研究中,却并非如此。他们提供了另一种安全、有效的治疗方式——显微外科手术。
与颅内其他位置的低级别胶质瘤类似,INC两位国际教授已经通过手术治疗了许多视路-下丘脑胶质瘤患儿,拥有极为丰富的临床经验。其中,75.0%实现了全切与近全切,无一例死亡,术后并发症发生率低,绝大多数患儿的视觉和内分泌功能完好无损或处于非常令人满意的水平。
这些结果与以往学者发表的研究结果不同,根据巴教授的经验,术前适当的患者选择对于取得良好的手术结果起到了十分重要的作用。因此,研究认为,显微外科手术治疗应被视为视路-下丘脑胶质瘤治疗的重要组成部分。
同时,患儿应在出现不可逆症状之前尽早接受手术,在具有手术指征的患儿中应尝试大体全切除术。为保护功能而进行的部分切除术和再次手术均可能有助于延长无症状和无肿瘤进展的间隔。

巴教授全切视神经胶质瘤
01
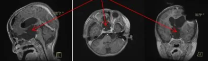
术前:视力受损
8岁的男孩,因视路-下丘脑胶质瘤引起视力受损而就诊,这个肿瘤位于他的视路和下丘脑附近,甚至扩展到了第三脑室,并延伸至梅克尔腔。

02
术中:成功全切

03
术后:无并发症
术后早期CT扫描显示肿瘤完全切除,没有出现局部血肿,患儿没有出现额外的并发症。术后两周,美容效果令人满意,面部皮肤切口恢复良好。

两大教授联合切除
01
术前:首次术后状况无明显改善
5岁的男孩患有巨大视路胶质瘤,第一次术后鞍区及三脑室肿瘤残余较大,双侧视神经被肿瘤侵犯,下丘脑也被严重挤压,左侧脑室积水明显,状况并没有得到明显改善。
由于视神经已被肿瘤浸润包裹,因此很难将视神经完全地从肿瘤中剥离出来,稍有不慎将面临失明的风险。医生均认为孩子无法再次进行手术。
第一次术前

第一次术后

02
术中:联合手术成功近全切
为了保证孩子的安全和高切除率,巴教授教授与Concezio Di Rocco教授决定联合手术,通过额骨颅骨开颅术和大脑半球间穹窿入路肿瘤切除术直至Monro孔(室间孔),并沿着脑室壁向中脑行进。右侧视神经被肿瘤浸润包裹,但是左侧视神经被小心地从肿瘤肿块中剥离出来,垂体腺和垂体柄也被小心保护,无术中并发症。三脑室占位被全部切除,鞍上占位基本全部切除,视神经及周围血管被完整保护。
03
术后:顺利出院
拔管后,患儿的手臂和腿部移动没有任何问题。在密切监测钠和液体平衡的情况下,调整了去氨加压素药物。回到普通病房后,巴教授与内分泌学家合作,用去氨加压素治疗尿崩症,并优化垂体激素替代。顺利出院后,患儿状况较入院前明显改善。

案例来源:巴教授于“2023北京神经外科创新与发展国际研讨会、2023北京天坛医院神经外科中心学术大会”上受邀发表演讲——“视路-下丘脑肿瘤”中分享。
- 文章标题:这种胶质瘤全切后,视力还能保住吗?先来看看这两个故事!
- 更新时间:2025-10-16 13:43:20
400-029-0925
.gif)



