头痛是生活中常见的症状,睡眠不足、抑郁、焦虑、感冒等都会引发头痛。由于头痛是生活中常会遇到的,所以很多人都认为是小毛病。一般情况下,偶尔头痛不会有太大的问题,如果长时间头通,且经久不愈,患者就需要重视了,可能不仅仅是感冒等这么简单,还很可能是脑胶质瘤。

58岁刘女士,因头痛查出胶质瘤
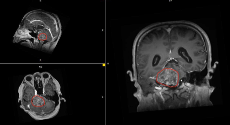
去年,58岁的刘女士,出现持续性的头痛,以为是感冒,就简单吃了些药,也没当回事。然而直到3个月后,头痛仍然持续着,且常让刘女士感到头痛欲裂,家人才送去医院检查。结果一查,却被查出了胶质瘤,而且是弥漫性中线脑干胶质瘤,已经达到了IV级...
胶质瘤呈侵润性生长,除了头痛、恶心、视物不清外,一旦脑组织受肿瘤的压迫、浸润、损害,还可能表现出神经中枢受损伤的症状,比如感觉障碍、运动障碍、语言障碍、精神障碍等。像刘女士的脑干胶质瘤,更是危险,脑干作为人体的生命中枢,主管着人体的神经中枢系统,脑干胶质瘤就像一台电脑的CPU被病毒入侵一样,较终会导致整个电脑系统瘫痪。当脑干被压迫严重时,还会发生生命危险。
低级别的胶质瘤预后比较好
但并非每个位置的胶质瘤都难以治愈,低级别的胶质瘤,在现代医学下,是能够得到比较好的治疗的。“大脑是人体较重要的器官,是人体较高的司令部,比起其他部位的肿瘤,脑肿瘤似乎对生命的威胁更大,是一听到胶质瘤,很多人都会被吓到。”国际颅底肿瘤手术教授巴特朗菲教授说,其实胶质瘤没有传说中的那么可怕。
胶质瘤虽是神经外科较常见的颅内恶性肿瘤,国际卫生组织(WHO)根据恶性程度将胶质瘤分为四级,可以1、2级别为低级别,三四级别为高级别,低级别胶质瘤经过合理治疗都能得到较好的预后,但高级别胶质瘤III-IV 级整体上预后较差。
经久不愈的头痛,应当引起重视
在临床中,大多数胶质瘤都是因为头痛、癫痫被发现的,而且到医院就诊的患者,往往不会有目的性的去检查胶质瘤,而是在检查头痛等症状的过程当中,才发现了胶质瘤。因此,当出现经久不愈的头痛时,千万不要再当时普通的感冒。还有当突然出现视物不清,对症用了眼药水也没好转时,也要及时到神经外科就诊。
胶质瘤治疗方法多 患者不必太担心
国际颅底肿瘤手术教授巴特朗菲教授表示,目前神经外科经过一百多年的快速发展,许多肿瘤不再是绝症,患者也不必过于担心。目前对于胶质瘤的治疗有多种疗法,手术、放疗、化疗、靶向治疗、基因等综合治疗,都是规范治疗胶质瘤的主要方法。
手术切除是胶质瘤的一线治疗方法。手术可合适减少肿瘤体积,经验丰富、技术高超的医生不仅能达到高切除率,甚至还能全切。对于不能全切的胶质瘤,手术也能为后期取得良好的治疗效果打下基础。再辅以放疗、化疗等治疗,胶质瘤也是有比较好的预后。
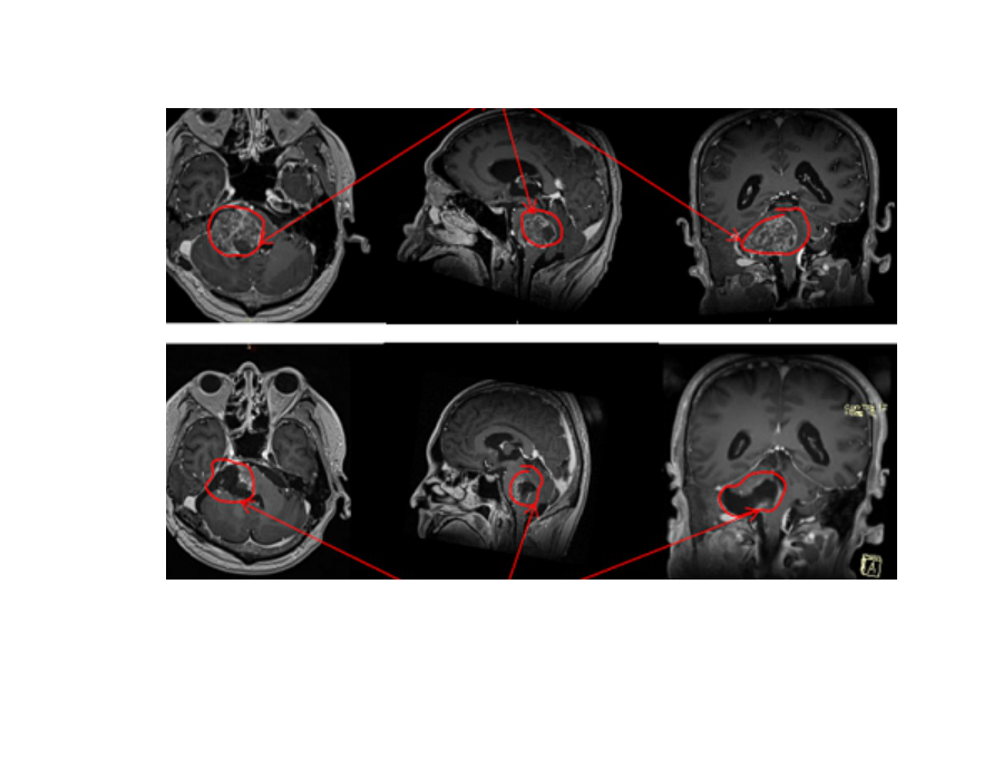
即使如刘女士的IV级弥漫性中线脑干胶质瘤,恶性程度较高,生长速度较快,预后也较差。在国内经过一次治疗再复发后,被国内医生告知,二次手术风险较大,建议放化疗保守治疗。但在德国汉诺威国际神经科学研究所(INI)神经外科主任、国际颅底肿瘤手术教授巴特朗菲教授细致、高超的手术下,再结合INI术中核磁、神经导航等前沿设备,较终还是为较终切除了95%以上的脑干胶质瘤,为保护大脑正常功能,与脑干关系密切的残余部分采取保留,很大水平延长了患者寿命。

刘女士胶质瘤手术影像图:
总而言之,当出现持续头痛时,患者需要引起重视,及时到医院检查,即使是肿瘤引起的头痛,患者也不必过于忧虑。在经验丰富、技术高超的医生手下,经过手术、放疗、化疗、靶向疗法等科学合理的治疗,即使是高级别肿瘤,患者也是能得到较好的预后的。
- 文章标题:持续长达3个月的头痛,一查出来竟然是脑胶质瘤?!
- 更新时间:2020-01-09 16:51:23
400-029-0925




