丘脑位于脑干网状结构-丘脑-皮质通路这一通路的中间环节,也是上行激活系统和下行易化通路的共同通道,在维持意识和觉醒中具有关键地位 。丘脑中央正中核(central medial thalamus, CMT)是高级丘脑核团中的一员,也是脑干网状结构-丘脑-皮质轴的重要组成,近年来多项研究证实CMT在参与睡眠和麻醉诱导的意识消失、觉醒过程中有重要作用 。
一般来说,胶质瘤治疗以手术切除为主,术后根据病情辅以放化疗,丘脑胶质瘤也不例外。一线治疗手段仍是先手术切除肿瘤,手术过程中切记注重对术中神经功能的保护,这将保障更好的术后生活质量,同时也将提高放化疗的疗效。欧洲、美国、日本等的胶质瘤治疗规范中也指出,手术可很快解除占位效应,明确病理,另一方面,也能提高放化疗的效果。手术切除率的高低将决定着术后的生活质量甚至是生存期。

历史上,丘脑胶质瘤已被非手术治疗。在过去的20年中,神经麻醉、神经影像学、外科手术辅助,术中成像和神经生理学监测已使丘脑神经胶质瘤的切除手术更加顺利。
丘脑胶质瘤生存期有多久?
相关文献曾对111例丘脑胶质瘤手术结果统计,其中低、高级别肿瘤患者的中位生存期分别为40个月和12个月。低度肿瘤患者1年和3年生存率分别为94.7%±3.6%和57.7%±8.1%,高于高级别肿瘤1年和3年生存率(43.2%±7.5%和6.8%±3.8%);P < 0.001)。与仅行部分切除或活检的患者相比,行全切除或次全切除患者的中位生存期更长(分别为28个月和12个月)。接受全/次全切除的高级别肿瘤患者的中位生存期比仅接受部分切除或活检及辅助治疗的患者长5.5个月(分别为14.5个月和9个月)。所以手术切除率是重要的,像在INC国际神经外科顾问团的国际神经外科专家巴特朗菲教授、William T. Couldwell教授、Sebastien Froelich教授、James T. Rutka教授等而高超的手术下,相信患者会得到更好的治疗,更长的生存期。
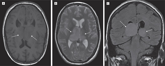
巴特朗菲教授丘脑胶质瘤全切实例
作为钢琴演奏家、钢琴老师的Z女士,大约4个月前发现出右手弹奏不灵活,细致活动限制,头部右侧和右脚麻木感,也偶有视力模糊、有雾感,起初本以为是太劳累所致,却不见好转,当地医院就诊,在当地医院发现丘脑内较大占位,考虑胶质瘤可能。Z女士而后辗转多处,得知德国Helmut Bertalanffy(巴特朗菲,国内病人尊称“巴教授”)在这领域的丰富成功经验,成功联系并进行了二意见咨询,得到可以手术全切的回复后,一家人带她前往巴特朗菲教授所在的德国汉诺威INI国际神经学研究所进行手术治疗。

在5-ALA荧光、术中神经导航和术中MRI辅助手术,通过左侧顶枕枕骨开颅术和显微外科肿瘤全切手术,手术顺利,无手术并发症。患者术后当天即拔出气管插管,无任何问题,转入重症监护室进行观察1天。术后当天与术前相比,右手和手臂仍有轻微的偏瘫和轻度运动无力,无言语功能障碍。术后2天,检查术后CT正常,无血肿和明显脑水肿等,该患者的临床状况迅速好转,并迁出ICU。术后3天即在物理治疗下增加康复锻炼,下地锻炼,术后5天即可自行站立行走。在INI住院期间,手细致功能障碍、言语和感觉偏瘫均得到好转。右手的细致运动技能也比手术后开始时明显好转。

小儿丘脑胶质瘤治疗新方法
小儿丘脑胶质瘤在手术和肿瘤治疗中提出了不同的挑战。尽管肿瘤的组织病理学与其幕上相似,并且通常是良性的,但由于其根深蒂固的解剖位置以及因此相对的外科手术难以接近,它们被认为是一个独特的实体。
在过去的十年中,前沿的分子技术完全改变了我们对小儿神经胶质瘤肿瘤发生的认识。INC国际神经外科顾问团成员、国际神经外科学院前主席、加拿大多伦多大学儿童医院(SickKids)脑瘤研究中心主席James T. Rutka教授指出,分子标记的鉴定,包括BRAF V600E突变和BRAF-KIAA1549融合,不仅为丘脑神经胶质瘤提供了进一步的预后信息,而且还提供了潜在的新型靶向疗法。这对于小儿丘脑胶质瘤生存期的延长将有较大惠及。
作为国际小儿神经外科领域的国际教授,INC国际神经外科顾问团成员、国际神经外科杂志《Journal of Neurosuegery》主编、加拿大多伦多大学儿童医院(SickKids)大外科主任及儿童脑瘤研究中心主任James T. Rutka教授已致力于研究儿童恶性脑肿瘤多年,为国际神经外科做出了较大贡献。
INC国际神经外科顾问团是由国际各发达国家教授联合组成的教授集团,成员教授大多为国际神经外科各的奠基者、开拓者,他们在各自领域对国际神经外科做出过较大贡献,且其手术技术和能力在神经外科界有着难以替代的地位。以上提及的巴特朗菲教授、William T. Couldwell教授、Sebastien Froelich教授、James T. Rutka教授等都是顾问团的成员之一。INC专注国内外学术技术交流的同时,也可为各类包括丘脑胶质瘤在内的脑肿瘤、脑血管病变、癫痫、帕金森等疾病患者提供更高质量的手术、前沿的放化疗及国际治疗协调等。拨打400-029-0925或关注“INC国际神经科学”微信公众号了解INC国际教授远程咨询及国际治疗详情。
参考文献:DOI:10.1007 / 978-3-030-04152-6_22
- 文章标题:深度解读:丘脑胶质瘤生存期有多久?
- 更新时间:2020-08-25 15:04:16
400-029-0925




