“神经纤维瘤病”至少包括三种不同的疾病,分别为1型神经纤维瘤病(NF1)、2型神经纤维瘤病(NF2)和神经鞘瘤病,全部这些疾病都是由基因决定的显性疾病,但每一种都有不同的神经鞘肿瘤谱系和其他特征。与每种疾病相关的基因都是已知的,这证实了它们不同的病因。
1型神经纤维瘤病(NF1)
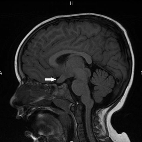
1型神经纤维瘤病(NF1)是人类常见的遗传疾病之一。它是由17号染色体上NF1基因的突变引起的,并与许多中枢和周围神经系统表现有关。患有NF1的儿童较有可能出现许多可能需要神经外科医生注意的病变。其中一些包括视神经神经胶质瘤,脑积水,脊柱内肿瘤和周围神经瘤。尽管影响儿童大脑,脊柱和外周神经的大多数肿瘤是低度病变,但仍有很小但的风险,即随着时间的流逝,其中一些病变可能会变成高度病变,需要单独进行手术以外的其他治疗方式。

儿童期NF1可能导致的其他相关疾病包括I型Chiari畸形,脊柱侧弯,由于没有蝶骨翼而产生搏动性眼球突出症。在本综述中,对在NF1儿童中发现的主要病变以及神经外科医生和治疗团队其他成员提供的治疗类型进行了回顾。今天,由神经外科医生,神经科医生,眼科医生,放射科医生,整形外科医生和整形外科医生组成的多学科团队为NF1儿童提供较佳护理。
2型神经纤维瘤病(NF2)
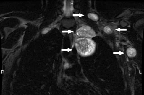
2型神经纤维瘤病是以神经系统中非癌性肿瘤的生长为特征的疾病。与2型神经纤维瘤病相关的较常见的肿瘤称为前庭神经鞘瘤或听神经瘤。这些生长沿着将信息从内耳传递到大脑(听神经)的神经发育。在这种情况下,通常还会发现发生在其他神经上的肿瘤。

2型神经纤维瘤病的体征和症状通常出现在青春期或二十多岁,尽管它们可以在任何年龄开始。前庭神经鞘瘤常见的早期症状是听力下降,耳鸣(耳鸣)和平衡问题。在大多数情况下,这些肿瘤会在30岁时出现在两只耳朵上。如果肿瘤在神经系统的其他部位发展,则其体征和症状会根据其位置而异。肿瘤生长的并发症可能包括视力变化,手臂或腿部麻木或无力以及脑部积水。一些患有2型神经纤维瘤病的人也会在一只或两只眼睛上出现晶状体混浊(白内障),通常是在儿童时期开始的。
神经鞘瘤病
神经鞘瘤病是较近增加到神经纤维瘤。其特征为多发神经鞘瘤,无其他相关特征。它是一种常染色体显性性状,外显率不完全,变异表达,新突变率高。

神经鞘瘤可以通过手术切除,尽管有些患者的肿瘤负担很大,超过了手术治疗的能力。大多数患者经历与肿瘤相关的疼痛;如果不能手术治疗,慢性疼痛的治疗是的选择。
神经纤维瘤是一组不同的疾病,呈现出倾向于神经鞘肿瘤的发展。病人的管理需要警惕许多并发症和受益于多学科的方法。遗传咨询是对受影响个人及其家庭管理的重要组成部分,基因检测是可行的。对发病机制的深入了解导致了候选药物的鉴定,并且一些并发症的临床试验正在进行中。
INC旗下国际神经外科顾问团(WANG)的专家成员、小儿神经外科专家James T. Rutka教授较为擅长小儿脑瘤的治疗,对于胶质瘤、神经纤维瘤、颅咽管瘤等疾病拥有多年治疗经验,国内患者可咨询INC国际专家听取其咨询意见,明确病情和后续治疗方向。
参考文献:Doi:10.1016 / B978-0-444-52891-9.00039-7
- 文章标题:神经纤维瘤是什么病?这种病会遗传给下一代吗?
- 更新时间:2021-01-08 11:37:55
400-029-0925



