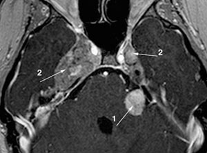
前庭神经鞘瘤(VS)是神经纤维瘤病2 (NF2)的标志,发生在95%的患者中。在前庭耳蜗神经上发展,并由于听力损失、耳鸣、失衡和脑干压迫的早期死亡风险而引起的发病率。NF2患者的听力随着时间的推移而下降,并且这些下降与逐渐增长有关。面部无力是面部神经鞘瘤切除手术的常见后遗症,也可能是继发于面部神经鞘瘤的较大面部神经鞘瘤的晚期表现,或作为孤立的单神经病变。面部无力会导致发音困难、口腔功能不全、缺乏微笑和表达情感的能力、无法眨眼和保护角膜,这些都会导致视力丧失。颜面无力和听力损失对生活质量有负面影响,因此在临床试验中代表了重要的功能结果。

NF2患者听力丧失及面肌无力的自然病史
一项NF2自然历史前瞻性多中心研究已经对NF2的听力损失的自然史进行了研究。在诊断为NF2的2年内,63名患者(108 VS)的队列研究中,27%的纯音听阈均值下降,定义为与基线相比有5分贝的变化。NF2的面部虚弱的自然史还没有得到很好的研究。较好的数据来自于对Nf2相关手术后面部功能的大型回顾性研究,这些研究表明,术前肿瘤大小与中窝入路或迷路经入路术后的面部功能无关。
听力损失和面部虚弱的测量
在临床实践中,听力是通过测量纯音阈值和单词识别分数(WRS)来监测的,也称为语音识别分数或语音识别分数。纯音阈值衡量耳朵能感知的较小声音水平。阈值通常在250赫兹至8,000赫兹的八度和半八度范围内测量。500、1,000、2,000和4,000赫兹的阈值平均值(纯音平均值)是报告静脉血栓形成病例的标准结果指标8WRS测量病人有意义地解释声音的能力。WRS被测量为当单音节词以完全可听的水平呈现时患者能够正确识别的百分比。矛盾的是,当单词以高音量出现时,WRS有时会在有VS的个体中减少(翻转效应)。已经开发了标准的听力学技术,以避免在对出现侧翻的耳蜗后病变患者进行测试时的潜在缺陷。根据美国耳鼻咽喉-头颈外科学会(AAO-HNS)的方案,可将患者分为听力类别:A类(PTA 小于等于 30,WRS 大于70%),B类(PTA 大于30至小于等于50,WRS 大于等于 50%),C类(PTA 大于50,WRS 大于等于 50%)和D类(PTA任意级别,WRS 小于50%)。A类和B类听力被称为“有用”;C类和D类听力被称为“不可使用”。
在临床实践中,面部功能使用豪斯-布拉克曼量表进行监测,它将面部功能分为6级,从正常到完全瘫痪)。1985年,AAO-HNS采用哈佛商学院作为通用标准。多年来,HB评分量表一直在更新。11其他量表,如布里斯-菲舍尔量表、诺丁汉量表、桑尼布鲁克量表和柳原量表,也被用来评定面部功能。
2型神经纤维瘤病的治疗有哪些?
目前还没有治愈NF2的方法。治疗包括定期监测和治疗任何出现的问题。外科手术可以用来摘除大部分肿瘤,但也有可能导致诸如完全失聪或面部无力等问题。因此,在治疗前需要仔细考虑风险和潜在的好处。
大多数患有NF2的人较终会发展成严重的听力损失,并经常受益于使用助听器或学习唇读。有时可以植入不同的植入物来好转人的听力。
随着时间的推移,NF2往往会变得更糟,尽管这种情况发生的速度差异很大。然而,大多数患有NF2的人较终会完全丧失听力,有些人需要轮椅或其他类型的移动设备。
大脑和脊髓内的肿瘤会对身体造成压力,缩短寿命。
如果你被诊断出患有NF2,你通常会被转介到这些中心,以便制定治疗计划。
监测
患有NF2的每个人都需要定期监测,以检查任何问题发展的迹象,并在必要时安排治疗。
·每年进行一次听力测试,以检查听力损失的程度
根据您的症状,有时可能需要更频繁的检查。
如果在检查期间出现任何新症状或现有症状恶化,请联系您的专科中心。
治疗肿瘤
肿瘤的生长是与NF2相关的主要问题之一。什么是较好的治疗方法并不总是显而易见的。许多肿瘤很小,可能不会长到造成任何问题的程度,但也有一些可能很大,严重影响你的生活。在决定治疗方案之前,你应该和你的护理团队讨论一下你的较佳选择。
手术
通过手术摘除一些肿瘤是可能的,但风险往往大于好处。例如,从你耳朵旁边的神经组织中摘除肿瘤可能会进一步损害你的听力,并导致面部肌肉麻痹。
从脊髓中摘除肿瘤有损害脊髓的小风险,这可能会导致程度的瘫痪。然而,在某些情况下,可能需要手术来防止潜在的严重并发症,比如肿瘤长得太大,有可能损伤大脑。
放射治疗
对于较小的肿瘤,一种被称为“伽玛刀”的放射疗法可能是一种选择。没有的手术刀,而是用一束聚焦紧密的伽马射线缩小肿瘤。
与外科手术一样,这种治疗也有一些风险。有可能伽马射线会导致新的肿瘤癌变。这种可能性被认为是相当小的,但在权衡治疗方案时需要考虑。
NF2治疗关键
NF2患者面临诸多问题,例如丧失听力,丧失视力;反复多次手术切除颅内及脊柱、脊髓占位,重要神经功能的丧失等,较严重的是威胁生命。如果不做任何处理,多在40岁左右死亡,正确的处理能够明显延长生存期,从发病起就接受正规处理的病患,平均寿命可延长至60岁左右。面对各个体各异的病变,对于生活质量和生命长度的平衡、治疗策略的选择复杂,不可一概而论。对于新诊断的患者,基于基因检测评估疾病可能出现的问题,拟出个体化的治疗方案,是对患者的长期生活治疗有很大的意义。
NF2的处理首先要及早,虽然出生时就有基因突变,但我们的研究发现,在病变部位发生二次基因突变(肿瘤发生机制会在后面讲到)直到肿瘤长到可以被识别需要平均十年左右。对于多数病人来说,如果早期就诊,肿瘤没有危及生命的话,都可以得到正确的处理,半数以上病人可以长期有尊严的存活。一般其他部位肿瘤,小的话可以不处理,增大的话可以早期手术而不留严重后遗症。双侧听神经瘤既是NF2较主要的临床表现,又是NF2治疗的主要考量点,因为肿瘤本身或者手术放疗都会导致听力丧失,基于听力保存与重建的治疗策略是NF2治疗的基石和重要。
有时病人就诊时已经到了疾病晚期,这时候就是医生能做的就是挽救生命,但生活质量是关于听觉功能的保存与重建机会就已经丧失。NF2病人需要综合考量,治疗方法和散发型的听神经瘤有明显的差异,任何治疗选择都需要考虑双侧听力以及以后双侧听力的改变,因此一般来说初诊的病人应该优选随访观察一段时间,以确定疾病的发展方式,从而进行适当的治疗干预。
- 文章标题:神经纤维瘤病2型听力和面部功能预后如何?
- 更新时间:2021-01-07 16:25:13
400-029-0925




