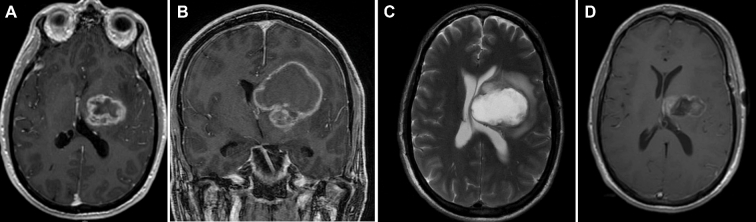
成人胶质母细胞瘤较常见于大脑半球,很少发生在间脑等深层结构。由于这些病变在很大水平上被认为是不可切除的,导致细胞减少性疾病控制较差,胶质母细胞瘤研究传统上排除了深部肿瘤患者。丘脑胶质母细胞瘤(GBMs)的治疗具有挑战性,因为它们位于大脑深处,使得它们很难根治性手术切除。管理策略从针吸活检,到部分或更的切除,甚至没有组织学确认的经验治疗。尽管较近有证据表明,空间位置可能决定胶质瘤的生物学行为,如儿童GBM和弥漫性固有脑桥胶质瘤,丘脑GBMs很少单独研究或大量研究。

由于其位置较深,较常见的症状是运动障碍和/或颅内高压症状,这是运动通路和脑脊液阻塞导致脑积水的结果。记忆力丧失也是一种常见症状。丘脑是整合来自不同皮层和小脑区域的感觉和运动通路的主要中继中心。它在语言和记忆中也起着重要的作用,先前在丘脑肿瘤儿童中的证据表明,不同丘脑区域的病理可能会发生神经心理学特征的特异性改变。语言理解、命名缺陷、记忆力差、言语失用和动眼神经不协调都在丘脑肿瘤儿童中有描述。有趣的是,诊断时出现的语言症状(语言困难、流利、发音失用和说话缓慢)与死亡风险增加有关。语言功能障碍和受损的社会交往可能导致更差的功能结果,并且由于肿瘤浸润和肿块效应而出现的缺陷在丘脑肿瘤的外科或内科治疗后不太可能好转。
尽管47%的患者有梗阻性脑积水的证据,但只有20名患者(35%)进行了脑脊液分流。这些患者中的大多数在出现后不久就发生了脑脊液分流,该变量被视为基线协变量。单因素分析表明,与未接受脑脊液分流术的患者(0.85年)相比,接受脑室-腹腔分流术的患者存活率提高(1.64年)。这一发现表明,脑脊液分流的保护作用或对小体积疾病患者的选择偏差,或呈现更好的年龄/功能状态,尽管在控制KPS、年龄和语言症状后,脑脊液分流的保护作用并不。分流患者脑积水和肿瘤累及中脑的发生率明显较高,但在年龄、KPS或肿瘤体积方面,分流患者和非分流患者之间没有统计学上的差异。考虑到辅助治疗和疾病进展后发生的认知变化,脑积水的长期影响可能在疾病过程中未被认识到,这可能导致功能恶化和更短的生存期。因此,脑脊液分流的低阈值可能会对那些即使是小肿瘤也可能阻碍脑脊液流出的患者产生影响,应予以考虑。
虽然已知深部病变立体定向活检后会出现较高的并发症,在肿瘤水肿的背景下,丘脑与主要功能区的密切关系可导致活检或手术后的神经功能缺损。还应注意的是,这一并发症发生率(16%)可能存在有利的偏差,因为许多其他患者可能已经在其他地方接受了治疗,并出现了严重的并发症,这使得咨询到该三级护理中心的可能性较低。丘脑胶质瘤的一线治疗仍是手术。
研究发现,高级别肿瘤患者的OS为12个月,这与我们GBM队列中的发现相似。值得注意的是,本研究中的高级别肿瘤包括间变性星形细胞瘤、少突胶质细胞瘤、少突星形细胞瘤和间变性室管膜瘤,这些肿瘤的OS优于GBM。此外,据报道围手术期死亡率为4.5%,约一半的患者出现短暂性偏瘫。其他并发症,如感觉和视觉退化,分别发生在15.1%和5.7%,除了脑水肿和语言退化,这并不少见。Sai Kiran等人报告12例丘脑基底神经节瘤患者接受了的切除术。超过一半的患者实现了近全切除。Steiger等人报告14例丘脑星形细胞瘤,其中较大限度的显微手术切除。3例为GBMs,1例术后出现视力障碍。1例患者术后4个月死亡,其余2例随访时间分别为6个月和10个月。这些研究的结果表明,考虑到疾病的侵袭性和辅助治疗开始前康复的有限时间,丘脑胶质母细胞瘤的侵袭性切除可能是有问题的。外科技术的未来进展,加上术中神经生理监测,可能会好转丘脑外科干预的风险状况,尽管该区域的功能和解剖位置仍将是固有的挑战。激光间质热消融术(litt)是目前临床试验的一个主题,是立体定向活检后可以进行的另一种选择,应予以考虑。
丘脑胶质瘤微创技术:LITT激光间质热疗
LITT是一种经皮微创手术,2-4mm的切口旨在造成较小的组织损害,只需将可释放激光的探针深入脑部即可消融致痫灶,因此只需要一次缝合,也不需要重新打开先前的硬膜闭合,减轻了开颅手术为患者带来的身心压力,同时避免了伤口裂开、脑脊液泄漏和感染等固有风险。而且LITT治疗的患者只需要短暂住院,疼痛通常很少,术后康复通常很短。由于这些原因,LITT对患者有吸引力。
目前,LITT正被用于治疗胶质瘤、癫痫、放射性坏死和转移性肿瘤。有研究表明:新发的GBM(胶质母细胞瘤)患者和复发的GBM患者接受激光间质热疗后,结论显示对于其实验组中的复发性GBM患者而言,LITT可能是一种合适的手术替代疗法;但其在治疗新发的不可切除的GBM患者中的起到的作用仍在进一步的研究之中。
INC旗下国际神经外科顾问团(World Advisory Neurosurgical Group,WANG)是由国际各发达国家神经外科宗师联合组成的教授集团。其中不有加拿大James T. Rutka教授这样擅长小儿脑瘤和癫痫的神外教授,还有在德国盛名于功能性神经外科领域的全能型专家Joachim K. Krauss教授,其对于功能性神经外科手术(帕金森病、癫痫)、颅底手术、复杂的脊柱脊髓手术经验十足。神外教授间频繁的学术交流,共同为患者提供的前沿的咨询意见,更好的为病人解除病痛、保驾护航,国内患者可咨询INC海外教授远程视频咨询,以获取关于自身病情的咨询意见和专属治疗方案。
- 文章标题:丘脑胶质母细胞瘤症状有哪些?能治好吗?
- 更新时间:2021-03-23 14:42:20
400-029-0925




