听神经瘤治疗结束后,我的噩梦才真正开始……
我今年46岁,曾经是一名听神经瘤患者,为了彻底撕下这个标签,我选择积极治疗,每一种治疗方法我都尝试过,观察、手术、放疗……当医生告诉我治疗结束时,我以为我能摆脱这段黑暗的日子,过上正常人的生活。可是,2年后,我的噩梦才真正开始,而我所期盼的人生也就此乱了套……
治疗结束后过了2年,复查时医生对我说:“很遗憾,你的肿瘤复发了。”我看着核磁上最大直径5.2cm的肿瘤,犹如晴天霹雳。保守观察5年后,看似迎来了好消息,肿瘤体积缩小一半。可还没等我高兴一会儿,噩耗又来了——6个月后,肿瘤竟疯长至8.4cm!无奈之下,我只能选择二次手术+放疗。
人到中年,一个良性的听神经瘤竟折磨我至此!我不禁开始反思:难道是我一开始的治疗就出现了问题吗?确诊听神经瘤后,究竟怎样治疗才能避免重复接下来的厄运呢?

01、听瘤的治疗选择看什么?
听神经瘤是一种良性肿瘤,起源于听神经,在面神经、脑干、小脑形成的间隙中生长。随着瘤体的长大,还会逐渐压迫到周围重要结构,包括听神经、面神经、三叉神经、小脑、脑干等。要想清楚听神经瘤的治疗选择如何做,首先就要对自身情况进行全面的评估。
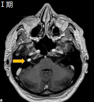
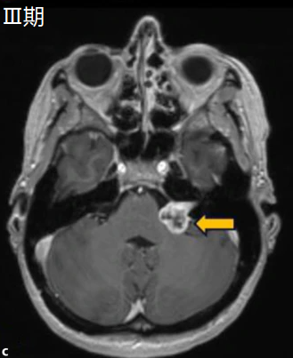
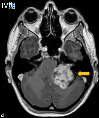
第一点:看肿瘤的大小。肿瘤大小和发展阶段会导致不同的症状,同样也需要不同的应对策略。目前神经外科常用的听神经瘤分期主要是以早期德国INI主席Samii教授提出的Hannover分型为主,根据肿瘤的扩张程度,可分为4个生长期:
- Ⅰ期:内听道期
肿瘤局限于内听道内,仅有听神经受损表现,除耳鸣、听力减退、眩晕和眼球震颤外,无其他临床症状。

- Ⅱ期:脑池期
小型肿瘤,肿瘤直径为1-14mm,肿瘤进入桥小脑角区,但是未接触脑干,主要症状为听神经受损症状。

- Ⅲ期:脑干受压期
中型肿瘤,肿瘤直径为15-29mm,肿瘤开始接触脑干,但未产生明显的压迫症状,但是由于压迫到邻近神经,开始出现面瘫、面部疼痛麻木、共济失调、步态不稳等症状。

- Ⅳ期:脑干及脑室受压期
大型或巨大型肿瘤,肿瘤直径>30mm。使脑干明显移位,脑干受损明显,产生行走不稳和头痛等症状,压迫严重时可能出现言语障碍和吞咽困难,甚至产生意识障碍,如淡漠、嗜睡、痴呆甚至昏迷。

第二点:看个人情况。患者自身的年龄与健康状况、个人意愿与心理预期等对于治疗决策同样会产生一定影响。如年轻、身体条件好的患者多倾向于根治性的手术;高龄或伴有严重并发症者可能更适合放疗或观察。此外,对“根治”的渴望、对手术风险的担忧、对放疗后长期随访的接受度等,也都是重要考量。
第三点:看医疗团队技术经验。一个经验丰富的听神经瘤治疗团队(包括神经外科医生、耳科医生、放射科医生等)至关重要。他们能更娴熟地运用显微技术、神经监测设备,显著提高肿瘤全切率和面神经、听神经的保留率,并处理各种术中突发情况。
02、听瘤的治疗选择有什么?
听神经瘤是一种通常生长缓慢的良性肿瘤。其治疗不仅关乎肿瘤本身,更关乎患者长期的生活质量。治疗的首要目标是维持良好的生活质量,并在彻底切除或控制肿瘤的同时,尽可能保留面神经功能和有用听力。因此,手术是已出现症状或肿瘤>3cm的听神经瘤患者治疗的首要标准。如果肿瘤为内听道型听神经瘤,或病情复杂,无手术条件时,则可考虑放疗。
Option 1 首选显微手术切除肿瘤
当患者临床症状明显,肿瘤较大(>3cm)或生长迅速时,首选手术切除。只有手术才能及时制止肿瘤占位引起的神经功能缺损,并争取颅神经功能的恢复。
听神经瘤治疗理念先于手术,需要在保面、保听的先行理念下谨慎进行手术切除。放眼全球,国外的诊疗早已将“尽可能全切”、“不面瘫”、“保留听力”三要素作为听神经瘤手术成功的标准,功能保留逐渐成为治疗的首要目标。
首次手术对治疗效果来说至关重要。近期,由美国神经外科医师年会(Congress of Neurological Surgeons)更新发布的听神经瘤患者的系统评价和循证指南强调,手术干预仍然是治疗听神经瘤的重要选择,尤其对于术前听力良好的患者,可以考虑通过手术替代保守观察,以保留听力。

另一项研究也指出,手术仍然是听神经瘤治疗的主要方法,熟悉迷路入路、乙状窦后入路、中窝入路三种方法有助于现代外科手术治疗。手术入路的适应症取决于肿瘤的大小、位置、术前听力的质量以及对听力保护。
精细的显微手术技术从邻近的面部和耳蜗神经解剖肿瘤,术中颅神经监测等电生理辅助,以及小心关颅以防止脑脊液渗漏这些技术及手术方法是其中的关键。

Option 2 立体定向放射治疗
该方法通常适用于很小的听神经瘤或术后肿瘤残余的患者,尽管放疗在阻止肿瘤生长和控制临床早期症状方面通常效果不错,但临床也见有不少放疗后加重的。此外,放疗很容易损害肿瘤附近敏感的颅神经,使症状恶化或产生新的症状。
长期上看,很多病例放疗难以有效得控制肿瘤,很多患者最终还是需要手术治疗,而根据CNS指南所提到的,如果放疗后仍未有效控制肿瘤生长,需要再进行手术切除,则可能降低全切的可能性,并导致面神经功能的下降。
另一项研究也支持了这一观点,认为放射治疗后手术切除的难度明显更高,因为肿瘤的纤维化及其与邻近神经结构的粘连增加,过多的瘢痕阻碍了面神经的识别,并增加了肿瘤全切除的不确定性。接受过放疗的患者,其面神经结局往往较差,特别是当面神经功能障碍促使不得不进行挽救手术时。

Option 3 随访观察
如果患者在体检时发现听神经瘤,没有临床症状,肿瘤生长缓慢,随访观察会是常见的合理建议。监测包括定期颅脑MR检查和听力测试,通常每6-12个月进行一次。观察随访的主要风险是肿瘤生长和进行性听力损失。
03、治疗总结
听神经瘤本身为良性,但容易出现治疗不彻底、反复复发及耳聋、面瘫、甚至瘫痪等情况,严重影响生活质量。因此,如果经济条件允许,有较高的生活质量要求,想获得更好的预后效果,建议患者寻找有成功手术经验的医生、有先进医疗设备的医院进行听神经瘤手术。
参考资料
1.Chamoun, R., MacDonald, J., Shelton, C., & Couldwell, W. T. (2012). Surgical approaches for resection of vestibular schwannomas: translabyrinthine, retrosigmoid, and middle fossa approaches. Neurosurgical Focus, 33(3), E9.
2.Van Gompel, Jamie J. et al.Congress of Neurological Surgeons Systematic Review and Evidence-Based Guideline on Surgical Resection for the Treatment of Patients With Vestibular Schwannomas: Update. Neurosurgery June 5. 2025.
3.Yildiz, E., Dahm, V., Matula, C. et al. Vestibularisschwannome: Diagnose – Therapie – Nachsorge. Wien Med Wochenschr 172. 2–7 (2022).
4.Limb CJ, Long DM, Niparko JK. Acoustic neuromas after failed radiation therapy: challenges of surgical salvage. Laryngoscope. 2005 Jan;115(1):93-8.
5.Seferis C, Torrens M, Paraskevopoulou C, Psichidis G. Malignant transformation in vestibular schwannoma: report of a single case, literature search, and debate. J Neurosurg. 2014 Dec;121 Suppl:160-6.
- 文章标题:半年内疯长6cm!这个听神经瘤不治不行了!
- 更新时间:2025-08-21 09:51:58
400-029-0925




