还有人受困于“三十而立”吗?30岁了,该有体面的工作、有房子、有结婚对象,但,必须这样吗?
“30岁了,我好像一切都没有变好,脑子里面还查出两个海绵状血管瘤。人家都是好运加倍,我这不是坏运连连?”

严重的头痛、呕吐,居然查出两个单独的海绵状血管瘤:一个位于右侧额叶脑室旁区(箭头),另一个位于第三脑室Monro孔。

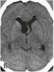
当手术顺利完成,术后CT(E)和MRI(F-H)证实,两个病灶已被完整切除。关键的是,术后没有出现任何新的神经功能或认知障碍!而术者正是巴特朗菲教授。


多发海绵状血管瘤该怎么办?
大脑就像是一个神秘的星球,有一天,突然来了一群“坏家伙”——海绵状血管瘤。有的非常调皮,到处搞破坏;有的却挺友好,和大脑里的正常组织和平共处。

面对这么多不速之客,该如何应对呢?是不是要把它们都清除?
其实不一定。,也不是所有的海绵状血管瘤都会出血、引发症状。
如果它安安分分,没有捣乱,没有出血、也没有引起症状,那我们就可以先观察看看,不用急着动手。
但是,如果它已经开始搞破坏了,已经出血并引起了较严重症状。比如攻击了脑干,就会导致偏袒、面瘫、吞咽困难、呼吸困难;攻击丘脑,就会导致视野缺损,失语,昏迷等;攻击基底节,就会导致瘫痪、感觉障碍、记忆障碍……这种情况下,必须赶紧行动起来,把它切掉。
有没有办法一次精准打击,全部消灭呢?
这取决于病灶数目和位置。若多发海绵状血管瘤所在位置相对集中某一大脑区域、位置较为表浅,可以一次全切。但临床中病灶往往分布在脑内不同位置,四处飘散,往往无法使用一个手术入路、一次手术切除多个病灶,需分次进行切除。
手术风险主要和病灶位置、术者经验能力有关。因此,一定要谨慎选择主刀医生。
多发性海绵状血管瘤案例分享:
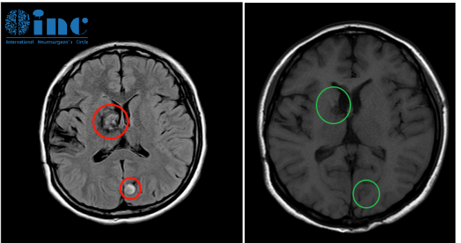
佳佳2岁时(2006年)因脑出血确诊多发性海绵状血管瘤(累及额叶、颞叶)。由于病情复杂,病变累及多条颅神经、海马体等重要脑组织和血管,手术全切难度大,并发症风险高。但保守无法阻止海绵状血管瘤出血,4岁时(2008年),她在当地医院接受首次切除手术。
然而6年后(2014年),佳佳在学校突然晕倒,检查发现:额叶部位病变出血。一年后,复查核磁显示:顶叶出血(可能)及基底节出血(可能),一直保守观察。
2017年,佳佳又出现基底节区出血,出现双手不自主抓握动作、嘴角抽动等症状……2019年佳佳又开始出现左边身体无力。
16年过去了,当佳佳父母找到INC巴教授。一次住院3周时间,巴教授通过高精度神经电生理监测,分两次手术全切基底节和顶枕叶病变,术后无并发症。

术前术后影像对比(红色术前,绿色术后)
- 文章标题:34岁的我查出2个脑瘤,幸好可以一次手术切完
- 更新时间:2025-09-17 11:15:20
400-029-0925




