
在中国某个小城的一个班级里,有一个很奇怪的情况,在这个班上的男孩全都剃成了光头。原来是因为这个班级的老师邰慧,因为被诊断患了 脑膜瘤 ,经过开颅手术,使她失去了一头...

岩斜区脑膜瘤什么时候需要手术?岩斜区脑膜瘤是较具挑战性的病理之一,因为其位置深,与重要的神经血管结构关系密切。患者可能没有症状,或者受到颅内压升高、脑神经、小脑或...

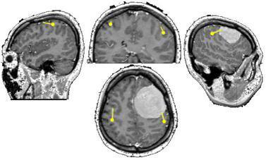
镰旁脑膜瘤通常由脑膜中动脉、胼胝体边缘动脉、胼胝体周围动脉的多个终末动脉分支和前镰动脉的分支提供丰富的供血,这可能使任何手术切除变得复杂。到达后进行的成像显示右侧...

疑难位置脑膜瘤:枕骨大孔区脑膜瘤手术成功率高吗?本文回顾性分析了2002年1月至2015年12月的8例枕骨大孔脑膜瘤的临床资料、手术结果、组织学发现和预后...

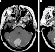
岩斜脑膜瘤起源于在上颅骨的三分之二中部至五颅神经内侧的岩腹结合处,其中大型岩坡脑膜瘤定义为大小超过3厘米...

枕骨大孔脑膜瘤(FMM)继续挑战神经外科医生,因为这些病变与不能牺牲或缩回的神经和血管结构密切接触。尽管显微外科手术和颅底外科手术有了很大的发展,但FMM的治疗仍然引起了关...

脑膜瘤手术可能在技术上具有挑战性,精心规划的术前计划以及对神经血管解剖结构的仔细注意对于较大限度地提高成功率和降低发病率至关重要。注意静脉解剖会避免对皮质静脉的意...

到目前为止,在脑膜瘤的研究中,生活质量的测量还没有被广泛使用。在脑膜瘤患者中也缺乏疾病特异性的仪器和验证性研究。如何提高脑膜瘤患者的生活质量?...

很多脑膜瘤患者会存在这样的侥幸心理:没有症状先不管,等有了症状再治疗。对于脑膜瘤来说,保守治疗很难让肿瘤变小。这种瘤虽然增长缓慢,但是不长的可能性较小。趁小趁症状...

脑膜瘤有长在脊椎里的吗?脑膜瘤是继多形性胶质母细胞瘤之后较常见的原发性中枢神经系统肿瘤。大多数脑膜瘤见于颅骨,但大约12%的病例发生在脊柱...