“我经历的这场较大考验的开颅手术成功了,太神奇了,我没有任何并发症。手术结果不仅远远超出了我的预期,甚至很多医生也发出惊叹!我巴特朗菲教授和他的手术团队,我充满力量,根本不像一个做过开颅手术的人……”这是一则巴教授30多年前的真实案例,在30多年前,连磁共振还还没普及,没有高要求的术中磁共振,没有神经导航,没有高级别的显微镜设备……相比如今,技术落后的当时,他竟然就成功的完成了丘脑手术。这是一位双侧丘脑海绵状血管瘤患者。手术成功后无其他任何神经功能缺损。

术后颅脑CT
30多年前,上世纪90年代,在范围内几乎没有丘脑、脑干等此类病变的成功经验,他们被称为“no man's land"手术禁区。而巴教授此时就进行这样的成功手术案例令人惊叹!该则案例在国际神经外科史上都具有意义!
往后的30年,巴教授继续深耕于这些国际疑难手术区域,拯救无数挣扎在病魔之中的绝望患者。今天要交流的就是巴教授2023年中国示范教学手术中另一名丘脑海绵状血管瘤患者文文的故事。
“我恢复还是蛮好的”

在30多岁的丘脑海绵状血管瘤患者文问术后三个月发给INC的随访视频里,我们再一次看到了术前那个活力满满的她。
抬举双手、上下蹲起、和巴教授亲切打招呼,作为巴教授2023年3月中国行期间的一例成人示范手术,巴教授成功为文文顺利全切丘脑海绵状血管瘤,而此时距离文文检查出丘脑上这个“不定时炸弹”过去了整整一年。
新华网、光明网等主流媒体对文文的成功手术做出重磅报道!
“丘脑位置可不能碰,一手术那可是凶多吉少,瘫痪风险很大”
2022年3月,文文突然感到眼睛看东西会晕,持续了一周之后,文文觉得需要更进一步的检查。
于是去医院挂号问诊,头颅MRI和CT之后发现左侧基底节区有海绵状血管瘤,而且瘤内已经开始出血。

很快,症状的发展打破了原本想要保守治疗的想法,随后三次出现眩晕、站立不稳、视力明显下降的情况,复查后发现病变略有增大。
文文不愿意忍受随时都可能出现身体不适,想要完全解决这个隐患,但是此时很多专家都表示手术难度较高,术后并发症以及手术风险都很高,不建议手术。
而在查询相关资料时,文文也了解到丘脑位置的手术难度较大,因为丘脑本身就是很多关键神经功能的神经核团所在,周边也几乎都是重要功能区(如肢体运动、视神经传导通路,高级认知神经功能及脑干),术中失之毫厘,都可能伤及关键功能,给患者造成毁灭性打击(偏瘫,视野缺损,失语,昏迷)。丘脑海绵状血管瘤较其少见,出血后往往引起偏瘫等神经功能障碍,一次出血后再次出血的风险增加,临床上治疗棘手。
难道真的就不能手术了吗,文文和家人广泛的查阅资料之后,终于找到了INC巴特朗菲教授。
看了很多巴教授的案例,文文和家人决定联系INC,希望能够获得手术机会。
不负所望,巴教授在文文远程咨询的邮件中明确表示了手术是可以进行的,并且给出了手术风险的评估。
巴教授远程评估回复

“病人有完全恢复的潜力,但由于以往的病史,恢复可能需要几个月的时间。预后是好的。术后不需要任何其他的治疗。在完全切除海绵状血管瘤以后,复发率接近零,但像全部的海绵状血管瘤一样,由于遗传性的病因,不能全切的排除复发的可能性。在临床实践中,被全切以后,少的情况下才会复发。病人以后可以很容易恢复正常生活,且不需要特别注意任何事项。”
2023年3月,文文成功咨询到了巴教授春季来华示范手术名额,于苏州大学附属四医院(苏州市独墅湖医院)手术。
北京时间2023年3月23日,在苏州大学附属四医院医院(苏州市独墅湖医院)神经外科手术室,由巴教授主刀。
国内神经外科医生辅助配合,神经电生理监测下,文文的丘脑基底节海绵状血管瘤手术平稳进入到颅内切除的部分。为了准确切除病灶的同时,还进行了术中神经电生理监测,然后顺利为文文顺利全切病灶。

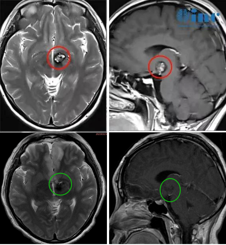
术前术后影像对比
手术方案
1、额底纵裂经终板入路丘脑占位切除术
2、电生理监测(MEP+SEP)
3、肿瘤位置深在,术中导航容易因脑脊液释放引发漂移,术中需以前联合为解剖标记,肿瘤位于前联合后方

经纵裂入路(InterhemisphericCraniotomy)处理下丘脑、中脑病变。纵裂入路开颅术是利用大脑纵裂的自然间隙,进入到大脑镰旁中线深部和脑室旁部位。通过这个自然间隙操作有诸多优点,比如较大限度的降低了对脑组织的牵拉和侵犯。但缘于此操作通道深在而狭窄,该区域的手术充满了技术挑战。这个入路居于冠状缝周围(进行前纵裂入路时)或位于中央小叶的后方(进行顶上纵裂入路时),以保护冠状缝后3-4cm处的躯体感觉运动皮质和众多矢状窦旁优势静脉。

图:经纵裂入路
术后情况
术后情况:术后两周多逐步恢复良好,顺利出院。
术后14天顺利出院前,巴教授前来查房问候,“Very good”文文开心回答道。“前几天她一口气数到了40,今天一口气数到了100”,提到文文术后暂时的记忆力下降的问题,文文妈妈也跟教授说道目前文文和教授评估的一样,相比术后初期已经恢复了很多。
出院后文文右侧肢体活动、感觉正常,有一过性记忆力减退、反应迟钝,出院后基本恢复
术后4个月:文文行走自如、运动及语言功能良好,与常人无异。
INC巴教授,用细致的术中操作,将不可能转化为可能。愿更多患者能不再为手术风险担忧,获得更好的生活。
总结
早在1991年,巴教授就已发布过相关研究,《Microsurgery of Deep-Seated Cavernous Angiomas:Report of 26 Cases》,巴教授回顾了26例经显微手术切除的深部海绵状血管瘤。10个海绵状血管瘤位于岛叶和基底节,2个位于丘脑,5个位于中脑,8个位于桥脑,1个位于桥臂。这些患者是1983年8月至1989年12月间手术的患者。11例完全切除,没有产生额外的神经功能缺损。巴教授表示:为了获得满意的手术结果,需特别注意手术入路、解剖仔细和完全切除血管畸形、穿支动脉和异常静脉引流。
巴教授证明,脑海绵状血管瘤无论位于皮层或皮层下功能区,以及其他功能重要的区域,如基底节区和丘脑,或位于三脑室、胼胝体和扣带回、脑室旁以及深部颞区等,在全部这些位置的病灶都可以顺利地尽全切除,效果良好,发病率低。

- 文章标题:手术难度堪比脑干,早在30年前巴教授已有成功案例发表!
- 更新时间:2024-03-05 09:11:36
400-029-0925




