位置在脑功能区的海绵状血管瘤,常引起癫痫、出血和局部神经功能缺失,手术切除病灶是根本的治疗方法。随着显微手术和医学影像技术及计算机技术的发展,神经导航技术在手术上的应用成为现实,在手术中既保证了准确切除病灶又避免了损伤正常脑组织,是神经外科手术的一大进步。
功能区海绵状血管瘤为何手术难度高?
大脑皮质的不同区域具有功能特异性,分别具有不同的功能,如感觉、运动等,将这些具有一定功能的脑区称为“中枢”,即大脑皮质功能定位。当病变出现在大脑功能性皮质和潜在白质束附近,以往传统全麻无神经功能定位监护下的手术模式,不仅难以达到理想切除,而且容易造成术后永久性神经功能障碍。其主要原因是术中难以把握和分辨肿瘤与脑功能结构的关系,导致大脑主要功能的手术损害。
脑功能区肿瘤的手术目标是最大限度的切除范围,最小化神经系统的发病率,并可能治疗难治性的肿瘤相关癫痫。对于神经外科医生来说,想要安全铲除这样一颗“不定时炸弹”,难度不容小觑。这些病变的治疗想要达到理想预后的话需要受到多方面因素的影响:诊断和术前功能技术、神经解剖学的清晰理解、术中监测和精尖的显微外科技术。

那脑海绵状血管瘤长在功能区能安全手术吗?早在1991年,巴教授就已发布过相关研究,《Microsurgery of Deep-Seated Cavernous Angiomas:Report of 26 Cases》,巴教授证明,脑海绵状血管瘤无论位于皮层或皮层下功能区,以及其他功能重要的区域,如基底节区和丘脑,或位于第三脑室、胼胝体和扣带回、脑室旁以及深部颞区等,在所有这些位置的病灶都可以安全地尽全切除,效果良好,发病率低。

功能区海绵状血管瘤手术真的会偏瘫吗?
嘀、嘀、嘀、嘀、嘀……看似普通的笔状神经导航棒在头上各个位置轻点,竟然能神奇的看穿颅内的一切。这名脑深部海绵状血管瘤患者的大脑完整的展现在屏幕上,红色的肿瘤跃然纸上,连肿瘤的位置、形状及和周围功能区神经纤维束的关系都可以清楚的看见。由于肿瘤位于功能区,手术采用了术中神经导航技术,为安全手术保驾护航。
▼巴教授利用术中神经功能导航精准定位肿瘤

功能区手术使用术中导航已经成为巴教授示范教学手术中的常态。导航系统犹如赐予神经外科医生一双透视眼,让医生在术中可以即时标定病变范围,实现精确定位,让肿瘤无处遁形,大大提高手术及检查的准确性、安全性。在术中开颅状态下,患者可以进行数次术中核磁检查,肿瘤切没切干净,还有多少残留,一清二楚,医生可以根据检查结果随时调整手术方案,继续切除,直至肿瘤彻底清除干净。
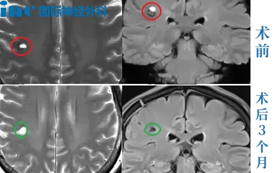
47岁女性•半卵圆中心海绵状血管瘤术后1天出ICU

简要病史:47岁的邓女士事业如日中天,对于工作,有着很强的责任心及很高的自我要求。一次定期体检却发现右脑额叶深部占位,大小约8mm,医生判断是海绵状血管瘤。咨询了上海的专家,但是医生的解释让他害怕,不建议手术,因为病灶部位太深,靠近功能区,手术风险大。而且目前病灶体积小,建议每年复查随访。查出海绵状血管瘤之后,邓女士发现有时工作太累了会头疼,最近还出现6~7次无预兆性突然出现眼前漂浮物的现象,很快自行缓解。
治疗过程:2024年3月28日,巴教授中国行期间,一场疑难功能区海绵状血管瘤示范手术,成功拯救了47岁的邓女士于病魔的阴影之中。“I believe you,it’s a very(我很信任您,这是一个非常)就是正确的选择。”术后2小时,麻醉刚清醒,47岁的邓女士激动地用英语说出自己的术后感受,重新露出了大大的笑脸。
术后情况:手术第1天,顺利出ICU,转入普通病房,交流顺畅、肢体活动正常,恢复良好。“我的手有力量,Thank you very much!”此时的邓女士回归了往日的健谈、声音洪亮、神采奕奕。术后第2天,邓女士表示已经可以自主下床活动,“已经可以走来走去”,巴教授查房用中文为邓女士点赞。
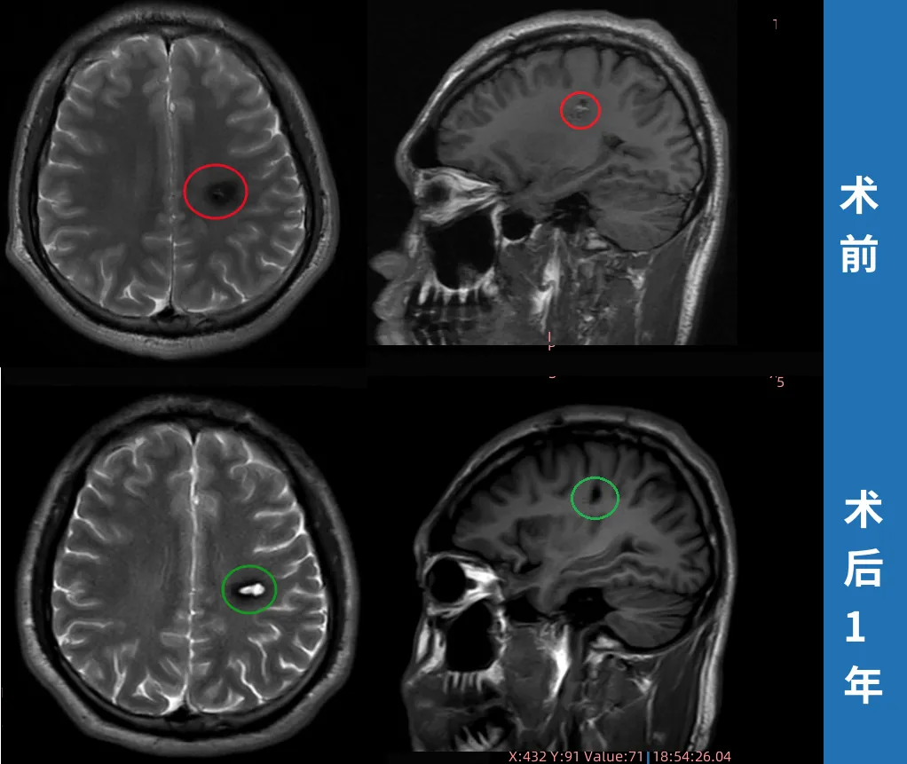
23岁男性•半卵圆中心海绵状血管瘤术后两周出院

简要病史:右手无力,写不了字,23岁的斌斌就医检查左半卵圆中心海绵状血管瘤,住院治疗一周,期间右腿、右脚无力,走路不利索,医院给予保守治疗后出院。斌斌父母一直苦苦寻求能为年轻的孩子安全手术的主刀医生。当他们看到了巴教授来华示范手术消息,于是奔赴苏州寻求教授为孩子主刀手术。
治疗过程:在苏州大学附属第四医院,巴教授已经顺利为斌斌顺利完成手术,全切左半卵圆中心海绵状血管瘤。
术后情况:术后一周,已经可以自行下床活动,术后的右手麻木等症状有所缓解,术后两周多顺利出院,现在早已恢复正常生活重回大学校园。
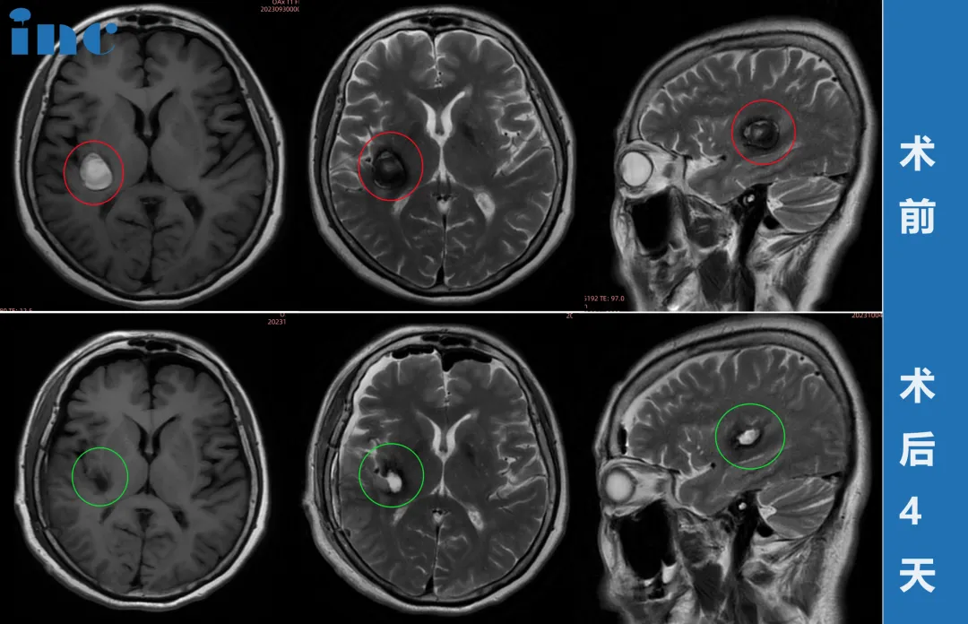
68岁女性•右侧基底节海绵状血管瘤术后8天出院

术前症状:多次出血,对于脑干海绵状血管瘤患者来说,是最不愿意看到的情况。而对于一个60多岁的基底节海绵状血管瘤患者来说,对手术这个合适的解决方式犹豫不决。68岁的柯女士,突然舌头麻木,晨起后出现眩晕,医院检查后结论为椎体骨质增生及脑供血不足。2022年再次进行手术去医院行核磁检查后发现海绵状血管瘤,医生建议定期复查MRI。然而含血病灶逐年增大,从22年的18*19mm到2023年的24*19mm,但是多名专家表示不赞成手术治疗,更是明确表示术后偏瘫失语可能性大。远程咨询INC巴特朗菲教授之后,教授给出了非常积极的评估。柯女士和家人商量后原本想要等巴教授下一次来华时再进行手术,然而谁也没想到9月底教授在华手术期间柯女士症状开始出现波动,发作频繁,当巴教授查看最新核磁图像后,发现病灶较前增大,结合患者病情有进展,告知患者随时会有出血风险,需要立即手术。柯女士和家人与巴教授紧急视频沟通之后,决定提前手术,果断买飞机票来到苏州。
治疗过程:在苏州大学附属第四医院,巴教授顺利完成手术,无任何新发神经功能损伤。
术后情况:术后第2天巴教授查房时,柯女士精神状态非常好,已经可以下地走路。看到前来查房的巴教授,柯女士非常激动,亲切拥抱感谢巴教授,终于摆脱了危险的基底节海绵状血管瘤的她满怀感激得握住巴教授的手说道,“我一定要看看巴教授这双神奇的大手,巴教授非常感谢你!”

- 文章标题:在脑功能区上手术有多难?国际神外大咖精准定位、铲除“不定时炸弹”
- 更新时间:2024-12-04 16:30:38
400-029-0925




