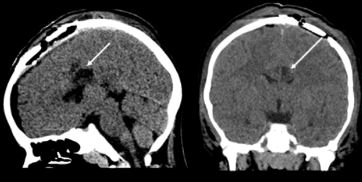
4岁的小洛深受癫痫困扰。药物不起作用、癫痫日复一日折磨着他,父母看在眼里,疼在心里,却深感无力。直至病情恶化,小洛的左腿出现感觉性癫痫发作,父母才终于找到癫痫背后潜伏多年的“大BOSS”——低级别胶质瘤。
为何胶质瘤会引发癫痫?小洛下一步该如何治疗?带着满腹的疑问,一家人来到SickKids医院,寻求国际儿童神经外科大咖James T. Rutka(鲁特卡)教授的帮助……
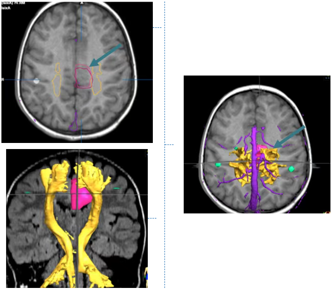
1. 一次手术,切瘤又除癫痫
STEP 01
通过MRI,特别是弥散张量成像(DTI),可以清楚地看到小洛脑袋中的致痫灶。

STEP 02
鲁特卡教授借助术前详细的影像资料,为小洛制定了个体化的手术方案,并选择合适的手术入路。

STEP 03
在细致的术中操作下,鲁特卡教授最终成功且安全地切除肿瘤。

术后2年
术后,小洛并未出现任何新发神经功能损伤,在随访的2年时间内,他的癫痫也并未发作。术后的病理结果证实,引发癫痫的正是节细胞胶质瘤。
2. 还有哪些胶质瘤也会引发癫痫?
神经元-神经胶质细胞混合性肿瘤
除了节细胞胶质瘤,这类肿瘤中的胚胎发育不良性神经上皮肿瘤也是容易导致癫痫的一种肿瘤。多见于青少年(平均15岁),大部分位于颞叶,肿瘤常伴皮质发育不良,形成异常神经网络。
低级别胶质瘤
包括少突胶质细胞瘤(额叶多见,携带 1p/19q联合缺失的患者更易表现为癫痫)、星形细胞瘤(颞叶/岛叶多见,IDH1突变是关键致痫因素)以及少突-星形混合细胞瘤。
高级别胶质瘤
包括间变性星形细胞瘤、胶质母细胞瘤等。
3. 除了开颅还有其他治疗方法吗?
激光间质热疗(LITT)
在鲁特卡教授长达30余年的儿童难治性癫痫诊疗经验中,有一项不用开颅就能“对付”胶质瘤及癫痫的新技术——激光间质热疗(LITT),而鲁特卡教授所在的SickKids医院是较早一批拥有完整LITT技术设备的儿童医院。作为该院的神经外科教授,鲁特卡教授已积累了丰富的LITT治疗经验,为众多癫痫和脑瘤患儿成功实施治疗。这些患儿术后恢复迅速,通常在二天内出院,且智力和生长发育未受影响。

LITT是一种MRI磁共振成像引导下的经皮微创手术,神经外科医生可以清晰地识别癫痫病灶或肿瘤与周围健康脑组织的位置关系,进而制定精确的手术路径。

鲁特卡教授还指出,这是一种侵入性较小的手术,这意味着康复速度更快,且有可能为更多的患者提供治疗。

往期精选
●胶质瘤术后7年又复发,这一次他不用再开颅也能“甩开”癫痫了!
●被癫痫困住的6年:LITT成功治疗后的他得到外媒报道!恶性脑瘤患儿也能获益?
INC 国际小儿神外专家团
国际儿童神外大咖 James T. Rutka教授

教授教授发表超过500多篇高影响力论文,在临床上的研究方向以颅内肿瘤为主,对胶质瘤、纤维瘤、颅咽管瘤、室管膜瘤具有多年的临床经验,擅长清醒开颅术、显微手术和被广泛用于治疗恶性脑瘤和癫痫的国际前沿技术激光间质热疗(LITT)技术经验,对于儿童胶质瘤,尤其是高级别胶质瘤开展多项临床试验,其所在的医院加拿大SickKids是国际知名的儿童医院之一。
国际脑干手术大咖 Helmut Bertalanffy教授

教授擅长颅底、脑干病变、功能区、大脑小脑、脊髓等复杂位置的肿瘤性、血管性疾病的手术治疗,尤其擅长颅底、脑干等复杂区域病变的肿瘤切除术、神经吻合术等,脑干病变成功手术病例近千台,以精湛高超的手术技术不损伤神经功能且全切病变。巴教授历经千万个小时用超精确的物理剥除诠释了医术为何为艺术。
国际儿童神外专家 Concezio Di Rocco教授

自2014年5月起,Di Rocco教授就担任了德国汉诺威国际神经科学研究所(INI)的儿科神经外科主任。从事儿童神外事业50余年,Di Rocco教授尤为擅长小儿神经纤维瘤、癫痫、脑积水、蛛网膜囊肿、颅缝早闭、脑和脊髓肿瘤、脑和脊柱畸形(半椎体畸形,皮质发育不良,脊髓脊膜膨出,脊髓内脂肪瘤,Arnold-Chiari畸形等)难治病症方面的治疗,曾进行过12000多次神经外科手术。
- 文章标题:得了胶质瘤后,我却开始“发癫”,直到他打开了我的脑子…
- 更新时间:2025-07-22 14:10:08
400-029-0925




