多形性黄质星形细胞瘤(PXA)是一种星形细胞肿瘤,被认为起源于皮下星形细胞或其前体。它很少见,占全部星形细胞瘤的1%。多形性黄体星形细胞瘤这一术语是Kepes在1979年提出的。1993年,作为WHO中枢神经系统肿瘤(CNS)二级肿瘤,正式纳入WHO中枢神经系统肿瘤分类体系。随后的描述包括间变三级变体。多形性黄体星形细胞瘤一词在描述单个组织学实体时,很可能在分子上代表不止一种瘤种。在其他神经胶质肿瘤上也可以看到类似的思想演变。关于这种疾病的自然史的各种描述似乎都支持这一假设。多形性黄体星形细胞瘤的流行病学观点是有限的。虽然在监测、流行病学和较终结果(SEER)中被列为独自的实体,但在美国中央脑瘤登记处(CBTRUS)中,多形性黄体星形细胞瘤被归类在独特星形细胞瘤变种的总称下。
脑部胶质瘤临床表现
多形性黄体星形细胞瘤常见于生命的二个十年。平均年龄在16岁到29岁。但也有2岁和68岁的病例报道。大多数大病例系列报告没有性别倾向。症状可大致分为可局部化和不可局部化。可定位的症状与肿瘤相关的神经解剖学直接相关。其中包括癫痫发作,这是常见的初始症状。无法定位的症状与颅内压升高有关,包括头痛、恶心、呕吐、复视和嗜睡。诊断前的症状平均持续时间为几个月。少见的是,当影像学检查其他适应症时偶然发现这些肿瘤。

脑部胶质瘤如何治疗?
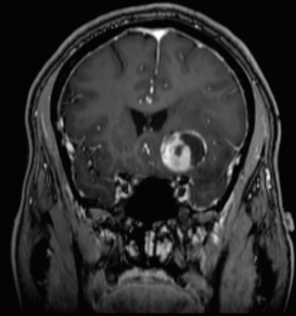
冠状面T1造影后磁共振成像显示左侧额叶囊肿性增强病灶。可见肿瘤与周围脑实质的清晰轮廓。
虽然在整个中枢神经系统中都有描述,但颞叶是多形性黄体星形细胞瘤常见的部位,即使它们以多病灶的方式出现。这些肿瘤有可能通过脑脊液(CSF)扩散。这在进展性/复发性疾病中常见。只有少数患者在较初诊断时出现脑脊液播散性疾病。肿瘤分级和扩散的可能性在各个研究中并不一致。
脑部胶质瘤治疗方式
颅咽管瘤的管理是由病例报告和病例系列指导的。我们在下面强调一些关键概念。手术切除范围(EOR)的重要性存在相互矛盾的报道。然而,多组研究报告全切除是OS和PFS的可靠预后因子,10年OS为82%。
1.手术切除。全切术(GTR),如果可行和顺利,应该是外科医生的目标。放射治疗在多形性黄体星形细胞瘤的应用方面,目前还缺乏指导放射治疗的资料。一些报道已经注意到术后RT的使用和好转PFS有关,但是没有明确的好转OS。
2.放化疗
较近对167名II级多形性黄体星形细胞瘤患者的荟萃分析没有显示辅助治疗与肿瘤预后好转之间的相关性;大部分患者(76%)在复发时采用RT作为抢救治疗。由于缺乏数据,无论是辅助治疗还是挽救治疗,使用45-54 Gy的RT剂量似乎都是合理的,同时使用或不使用替莫唑胺。考虑到与这些因素相关的较差的预后,早期采用放疗进行次全切除和/或a多形性黄体星形细胞瘤可被考虑。在复发或初诊时,颅脊髓RT可用于薄筋膜播散。
3.系统治疗
多形性黄体星形细胞瘤肿瘤的系统化疗药物数据有限。通常认为传统化疗对多形性黄体星形细胞瘤的治疗效果较低或无效。然而,对于进展性疾病,当手术或RT并非总是可行的选择时,系统治疗往往被考虑和采用。分子标记越来越多地用于辅助诊断和神经胶质肿瘤细分。在多形性黄体星形细胞瘤中,靶向性突变的发生率很高,这一点尤为重要。有许多报道使用BRAF控制剂单一治疗或BRAF+MEK控制剂。有利的反应范围从稳定的疾病到完全的反应。在一项已发表的较大的非随机试验中,超过40%的多形性黄体星形细胞瘤患者接受BRAF控制单药治疗后表现出放射反应。超过一半的患者被证实有临床疗效。在进展期增加贝伐珠单抗可延长生存期。BRAF控制剂与肿瘤治疗电场(TTFields)的联合应用也有报道。
多形性黄体星形细胞瘤是国际卫生组织II级到III级的少见肿瘤,有可能复发并扩散到整个中枢神经系统。可以看到广泛的结果,从治愈疾病的单一模式治疗(即手术),到快速进展与脑脊液扩散。这强调了在其他浸润性胶质瘤中可见的一点;虽然组织学表型可能是相同的,但分子表型可能定义不同的亚型或疾病类型。我们对该病分子特征的理解重要,因为它们不仅影响预后,而且影响我们的治疗管理。以BRAF控制剂为中心的治疗方案有明显的放射学反应。虽然这种疾病的少见性将使明确的治疗研究困难,我们预计我们的临床管理对这种疾病的患者将在不久的将来迅速发展。
INC国际神经外科医生集团旗下国际神经外科顾问团(WANG)的专家成员、国际神经外科学院前主席James T. Rutka教授较为擅长小儿脑瘤的综合治疗,对于脑胶质瘤的治疗,教授也曾发表多篇论文阐述其理念,教授所在的SickKids医院位居北美前三,国内患者可拨打400-029-0925咨询INC国际专家远程咨询,还可以去往教授所在的医院接受治疗。
参考文献:Doi:10.2217 / cns-2019-0009
- 文章标题:脑部胶质瘤如何治疗?简述多形性黄体星形细胞瘤
- 更新时间:2020-12-11 14:03:16
400-029-0925




