
脑膜瘤 是较常见的原发性脑瘤,虽然通常是良性的,但约五分之一的脑膜瘤在手术切除后仍会复发。当前脑膜瘤分类不评估肿瘤是否会复发,但研究人员发现使用分子可能更好地预...

脑膜瘤 5厘米是几级?分级是一种描述肿瘤恶性程度的办法。肿瘤大小通常和级别没有必然联系。医生使用诊断测试来确定肿瘤的分级,所以在全部的测试完成之前,分级可能还没有完...

谈瘤色变,是现代人们的普遍现状。谈起肿瘤,人们的一反应就是不治之症无可救药,可是对于 脑膜瘤 来说,它是一种颅内良性肿瘤,具有生长慢,病程长等特点,及时治疗是能得...

脑膜瘤 是成人较常见的颅内肿瘤,每年每10万人中女性和男性的发病率分别为10.26和4.55,在尸检和脑成像研究中患病率约为1.5%。多数临床无症状的偶发脑膜瘤在组织学和临床上都是...

位于颅底深部的脑膜瘤治疗难点在于难以切除干净,较易复发,其中尤以岩斜 脑膜瘤 、枕骨大孔区、桥小脑角等疑难位置的脑膜瘤切除较为困难,而在INC国际神经外科顾问团成员教授...

国际颅底主席Froelich教授一步步图解颞-顶-枕骨开颅联合岩骨切除 脑膜瘤手术 ----------------------------- INC国际神经外科顾问团成员之法国Sebastien Froelich是国际颅底手术的翘楚,也因此当仁...

岩斜区脑膜瘤是发生于上三分之二的斜坡,硬脑膜附着在岩斜交界处。它们位于内听道的内侧,加塞神经节的后方。这将它们与发生在斜坡中线附近的斜坡脑膜瘤区分开来。岩斜病变在...

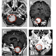
近几十年来,核磁共振成像技术(iMRI)已成功应用于 神经胶质瘤 和垂体腺瘤的根治性手术,并与计算机神经导航技术相结合。然而,只有少数研究报道了该工具用于手术治疗 鞍旁脑膜瘤...

鞍上 脑膜瘤 常发生于鞍结节、交叉沟和蝶窦平面,占全部颅内脑膜瘤的5%至10%。这些脑膜瘤通常是良性的,生长缓慢,直到肿瘤生长导致关键的神经血管结构受压,如视交叉的后移位和...

脑膜瘤 是发生在脑膜上的脑瘤,脑膜是包围和保护大脑和脊髓的组织(图1)。尽管大多数脑膜瘤不是癌性的,但当它们生长并压迫大脑或脊髓的重要部位时,会造成问题。脑膜瘤的病因尚...