
46岁湖南耒阳的刘姐,在一年前常常出现头痛,由于头痛是生活中常见的症状,刘姐当时并不在意。近来,她的头痛突然加重,伴右眼视力下降。后在医院检查,被诊断为脑膜瘤。 如何...

提及肿瘤,想必大家都不陌生,在许多人眼中是不治之症,也没有人会喜欢它。但是你承认的,有时候它确实离我们很远,但有时候,却离我们很近。 常年遭受颈痛折磨,查出脑...

2015年德国雷根斯堡大学的研究人员发表在《神经学》Neurology杂志上的一份研究报告指出,肥胖或超重可能会导致某种类型脑肿瘤的发展。在研究中,专家将注意力集中在成人常见的原发...

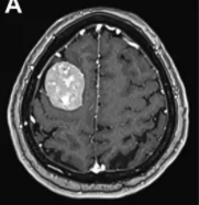
近些年来中枢神经系统肿瘤发病率不断升高,而脑膜瘤是中枢神经系统常见的原发性肿瘤,占颅内肿瘤的13%-26%。脑膜瘤高发于女性,主要集中在中老年群体。脑膜路由肿瘤性脑膜上皮细...

53岁的李阿姨一直有慢性头痛的病史,刚开始一家人都以为这只是个头疼脑热的小毛病,直到有一天,李阿姨因突发癫痫送医,结果被查出大脑左额凸面及前段大脑镰旁有肿瘤占位,于...